Comparison

Anti-ITPR3 Antibody Picoband® European Partner

Item no. BOS-PB9428-carrier-free
Manufacturer Boster
Amount 100 ug/vial
Quantity options 100 ug/vial 10 ug 100 ug/vial 100 ug/vial 100 ug/vial 100 ug 100 ug 100 ug 100 ug/vial 100 ug/vial 100 ug/vial 100 ug/vial 100 ug
Category
Type Antibody Polyclonal
Format Lyophilized
Applications WB, IHC
Specific against Human (Homo sapiens), Mouse (Murine, Mus musculus), Rat (Rattus norvegicus)
Host Rabbit
Isotype IgG
Sensitivity >5000 cells
Sequence Belongs to the InsP3 receptor family.
Citations 1. Entrez Gene: inositol 1.
2. Chaudhari N, Roper SD (August 2010).The cell biology of taste. J. Cell Biol.190 (3): 285–96.
3. Yamamoto-Hino M, Sugiyama T, Hikichi K et al. (1994). Cloning and characterization of human type 2 and type 3 inositol 1,4,5-trisphosphate receptors.Recept. Channels 2 (1): 9–22.
ECLASS 10.1 32160702
ECLASS 11.0 32160702
UNSPSC 12352203
Alias Inositol 1,4,5-trisphosphate receptor type 3,IP3 receptor isoform 3,IP3R 3,InsP3R3,Type 3 inositol 1,4,5-trisphosphate receptor,Type 3 InsP3 receptor,ITPR3
Available
Manufacturer - Category
Primary Antibodies
Manufacturer - Conjugate / Tag
carrier-free
Storage Conditions
Store at -20°C for one year from date of receipt. After reconstitution, at 4°C for one month. It can also be aliquotted and stored frozen at -20°C for six months. Avoid repeated freeze-thaw cycles.
Observed Molecular weight
270-300 kDa
Calculated Molecular weight
304106 MW
Clonality
Polyclonal
Application Details
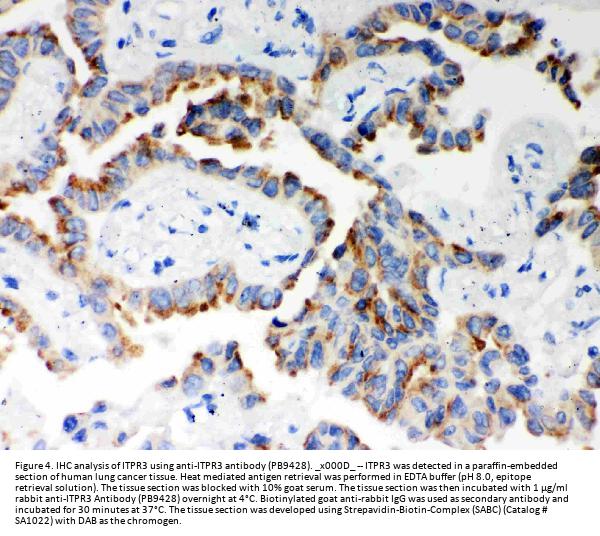
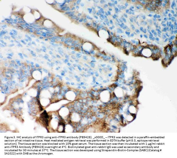
Immunohistochemistry (Paraffin-embedded Section), 0.5-1μg/ml, Human, Mouse, Rat
Western blot, 0.1-0.5μg/ml, Human
Gene Name
ITPR3
Gene Full Name
Inositol 1, 4, 5-trisphosphate receptor type 3
Manufacturer - Specificity
No cross reactivity with other proteins.
Background
ITPR3 encodes a receptor for inositol 1, 4, 5-trisphosphate, a second messenger that mediates the release of intracellular calcium. The receptor contains a calcium channel at the C-terminus and the ligand-binding site at the N-terminus. Knockout studies in mice suggest that type 2 and type 3 inositol 1, 4, 5-trisphosphate receptors play a key role in exocrine secretion underlying energy metabolism and growth. ITP3 channels serve an important role in the taste transduction pathway of sweet, bitter and umami tastes the gustatory system. ITP3 channels allow the flow of Calcium out of the endoplasmic reticulum in response to IP3. Calcium cations result in the activation of TRPM5 which leads to a depolarisation generating potential and an action potential.
Immunogen
A synthetic peptide corresponding to a sequence at the N-terminus of human ITPR3, identical to the related mouse and rat sequences.
Contents
Each vial contains 4 mg Trehalose, 0.9 mg NaCl, 0.2mg Na2HPO4, 0.05 mg NaN3.
Purification
Immunogen affinity purified.
Reconstitution
Add 0.2ml of distilled water will yield a concentration of 500ug/ml.
Concentration
Adding 0.2 ml of distilled water will yield a concentration of 500 μg/ml.
Manufacturer - Research Category
Calcium Channels, Calcium Signaling, Neuroscience, Neurotransmission, Signal Transduction, Signaling Pathway
Protein Name
Inositol 1, 4, 5-trisphosphate receptor type 3
Protein Function
Receptor for inositol 1, 4, 5-trisphosphate, a second messenger that mediates the release of intracellular calcium.
Subcellular Localization
Endoplasmic reticulum membrane; Multi-pass membrane protein.
Description
Boster Bio Anti-ITPR3 Antibody Picoband® catalog # PB9428. Tested in IHC, WB applications. This antibody reacts with Human, Mouse, Rat. The brand Picoband indicates this is a premium antibody that guarantees superior quality, high affinity, and strong signals with minimal background in Western blot applications. Only our best-performing antibodies are designated as Picoband, ensuring unmatched performance.
Tissue Specificity
Expressed in intestinal crypt and villus epithelial cells.
Sequence Similarities
Belongs to the InsP3 receptor family.
Manufacturer - Cross Reactivity
No cross-reactivity with other proteins

Note: The presented information and documents (Manual, Product Datasheet, Safety Datasheet and Certificate of Analysis) correspond to our latest update and should serve for orientational purpose only. We do not guarantee the topicality. We would kindly ask you to make a request for specific requirements, if necessary.

All products are intended for research use only (RUO). Not for human, veterinary or therapeutic use.

Amount: 100 ug/vial
Available: In stock
available

Compare

Add to wishlist

Get an offer

Request delivery time

Ask a technical question

Submit a bulk request

Questions about this Product?