Comparison

Anti-SLC4A1/CD233/Band 3 Antibody Picoband® European Partner

Item no. BOS-PB9437-Biotin
Manufacturer Boster
Amount 100 ug
Quantity options 100 ug/vial 10 ug 100 ug 100 ug 100 ug 100 ug 100 ug 100 ug 100 ug 100 ug 100 ug 100 ug 100 ug
Category
Type Antibody Polyclonal
Format Lyophilized
Applications WB, FC, IF, IHC, IHC-F
Specific against Human (Homo sapiens), Mouse (Murine, Mus musculus), Rat (Rattus norvegicus)
Host Rabbit
Isotype IgG
Conjugate/Tag Biotin
Sensitivity >5000 cells
Sequence Belongs to the anion exchanger (TC 2.A.31) family.
Citations 1. Jarolim P, Palek J, Amato D, Hassan K, Sapak P, Nurse GT et al. (1991). Deletion in erythrocyte band 3 gene in malaria-resistant Southeast Asian ovalocytosis.Proc. Natl. Acad. Sci. U.S.A. 88 (24): 11022–6.
2. Schlüter K, Drenckhahn D (August 1986).Co-clustering of denatured hemoglobin with band 3: its role in binding of autoantibodies against band 3 to abnormal and aged erythrocytes. Proc. Natl. Acad. Sci. U.S.A. 83 (16): 6137–41.
ECLASS 10.1 32160702
ECLASS 11.0 32160702
UNSPSC 12352203
Alias Band 3 anion transport protein,Anion exchange protein 1,AE 1,Anion exchanger 1,Solute carrier family 4 member 1,CD233,SLC4A1,AE1,DI,EPB3
Available
Manufacturer - Category
Primary Antibodies
Storage Conditions
Store at -20°C for one year from date of receipt. After reconstitution, at 4°C for one month. It can also be aliquotted and stored frozen at -20°C for six months. Avoid repeated freeze-thaw cycles.
Observed Molecular weight
102 kDa
Calculated Molecular weight
101792 MW
Clonality
Polyclonal
Application Details
Western blot, 0.1-0.5μg/ml, Human
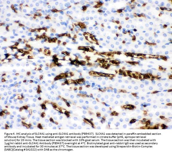
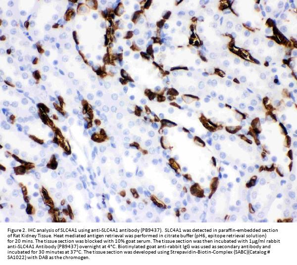
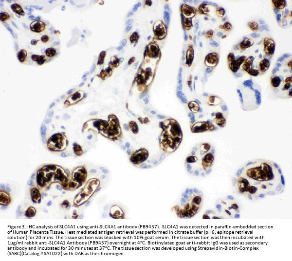
Immunohistochemistry (Paraffin-embedded Section), 0.5-1μg/ml, Human, Mouse, Rat
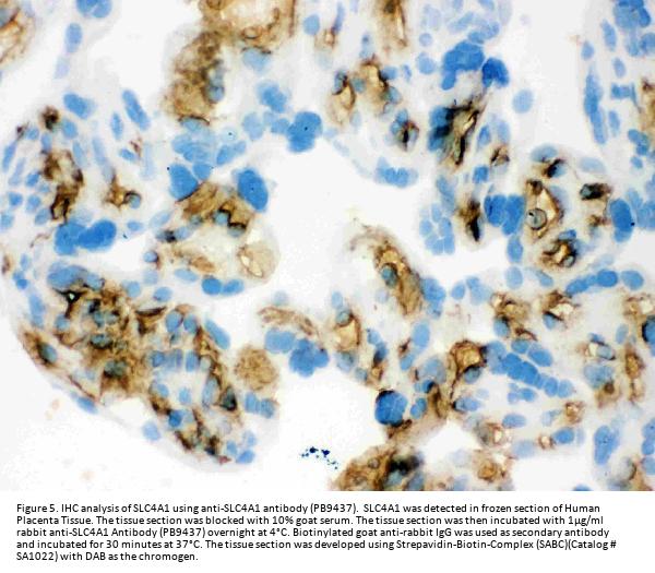
Immunohistochemistry (Frozen Section), 0.5-1μg/ml, Human, -
Immunofluorescence, 2μg/ml, Human, Rat
Flow Cytometry (Fixed), 1-3 μg/1x106 cells, Human
Gene Name
SLC4A1
Gene Full Name
Band 3 anion transport protein
Manufacturer - Specificity
No cross reactivity with other proteins.
Background
Band 3 is also known as SLC4A1. The protein encoded by this gene is part of the anion exchanger (AE) family and is expressed in the erythrocyte plasma membrane, where it functions as a chloride/bicarbonate exchanger involved in carbon dioxide transport from tissues to lungs. The protein comprises two domains that are structurally and functionally distinct. The N-terminal 40kDa domain is located in the cytoplasm and acts as an attachment site for the red cell skeleton by binding ankyrin. The glycosylated C-terminal membrane-associated domain contains 12-14 membrane spanning segments and carries out the stilbene disulphonate-sensitive exchange transport of anions. The cytoplasmic tail at the extreme C-terminus of the membrane domain binds carbonic anhydrase II. The encoded protein associates with the red cell membrane protein glycophorin A and this association promotes the correct folding and translocation of the exchanger. This protein is predominantly dimeric but forms tetramers in the presence of ankyrin. Many mutations in this gene are known in man, and these mutations can lead to two types of disease: destabilization of red cell membrane leading to hereditary spherocytosis, and defective kidney acid secretion leading to distal renal tubular acidosis. Other mutations that do not give rise to disease result in novel blood group antigens, which form the Diego blood group system.
Immunogen
E. coli-derived human SLC4A1 (Position: E28-N365). Human SLC4A1 shares 75.7% and 74.5% amino acid (aa) sequence identity with mouse and rat SLC4A1, respectively.
Contents
Each vial contains 4 mg Trehalose, 0.9 mg NaCl and 0.2 mg Na2HPO4.
Purification
Immunogen affinity purified.
Reconstitution
Add 0.2ml of distilled water will yield a concentration of 500ug/ml.
Concentration
Adding 0.2 ml of distilled water will yield a concentration of 500 μg/ml.
Manufacturer - Research Category
Cancer, Cancer Metabolism, Carbohydrate Metabolism, Developmental Biology, Energy Metabolism, Energy Transfer Pathways, Lineage Markers, Lineage Specification, Lipid and Lipoprotein Metabolism, Lipid Metabolism, Metabolic Signaling Pathway, Metabolic Signaling Pathways, Metabolism, Metabolism Of Carbohydrates, Metabolism of Lipids and Lipoproteins, Pathways and Processes, Signal Transduction, Stem Cells
Protein Name
Band 3 anion transport protein
Protein Function
Functions both as a transporter that mediates electroneutral anion exchange across the cell membrane and as a structural protein. Major integral membrane glycoprotein of the erythrocyte membrane; required for normal flexibility and stability of the erythrocyte membrane and for normal erythrocyte shape via the interactions of its cytoplasmic domain with cytoskeletal proteins, glycolytic enzymes, and hemoglobin. Functions as a transporter that mediates the 1:1 exchange of inorganic anions across the erythrocyte membrane. Mediates chloride-bicarbonate exchange in the kidney, and is required for normal acidification of the urine.
Subcellular Localization
Cell membrane; Multi-pass membrane protein. Basolateral cell membrane; Multi-pass membrane protein. Detected in the erythrocyte cell membrane and on the basolateral membrane of alpha-intercalated cells in the collecting duct in the kidney.
Description
Boster Bio Anti-SLC4A1 Antibody Picoband® catalog # PB9437. Tested in Flow Cytometry, IF, IHC, IHC-F, WB applications. This antibody reacts with Human, Mouse, Rat. The brand Picoband indicates this is a premium antibody that guarantees superior quality, high affinity, and strong signals with minimal background in Western blot applications. Only our best-performing antibodies are designated as Picoband, ensuring unmatched performance.
Tissue Specificity
Detected in erythrocytes (at protein level). Erythrocytes.
Sequence Similarities
Belongs to the anion exchanger (TC 2.A.31) family.
Manufacturer - Cross Reactivity
No cross-reactivity with other proteins

Note: The presented information and documents (Manual, Product Datasheet, Safety Datasheet and Certificate of Analysis) correspond to our latest update and should serve for orientational purpose only. We do not guarantee the topicality. We would kindly ask you to make a request for specific requirements, if necessary.

All products are intended for research use only (RUO). Not for human, veterinary or therapeutic use.

Amount: 100 ug
Available: In stock
available

Compare

Add to wishlist

Get an offer

Request delivery time

Ask a technical question

Submit a bulk request

Questions about this Product?