Comparison

Anti-Serotonin transporter/SLC6A4 Antibody Picoband® European Partner

Item no. BOS-PB9438-APC
Manufacturer Boster
Amount 100 ug/vial
Quantity options 100 ug/vial 10 ug 100 ug/vial 100 ug/vial 100 ug/vial 100 ug 100 ug 100 ug 100 ug/vial 100 ug/vial 100 ug/vial 100 ug/vial 100 ug
Category
Type Antibody Polyclonal
Format Lyophilized
Applications WB, IF, IHC
Specific against Human (Homo sapiens), Mouse (Murine, Mus musculus), Rat (Rattus norvegicus)
Host Rabbit
Isotype IgG
Conjugate/Tag APC
Sensitivity >5000 cells
Sequence Belongs to the sodium:neurotransmitter symporter (SNF) (TC 2.A.22) family. SLC6A4 subfamily.
Citations 1. Kim, S.-J., Cox, N., Courchesne, R., Lord, C., Corsello, C., Akshoomoff, N., Guter, S., Leventhal, B. L., Courchesne, E., Cook, E. H., Jr.Transmission disequilibrium mapping at the serotonin transporter gene (SLC6A4) region in autistic disorder.Molec. Psychiat. 7: 278-288, 2002.
2. Lesch, K.-P., Bengel, D., Heils, A., Sabol, S. Z., Greenberg, B. D., Petri, S., Benjamin, J., Muller, C. R., Hamer, D. H., Murphy, D. L.Association of anxiety-related traits with a polymorphism in the serotonin transporter gene regulatory region.Science 274: 1527-1530, 1996.
3. Shen, S., Battersby, S., Weaver, M., Clark, E., Stephens, K., Harmar, A. J.Refined mapping of the human serotonin transporter (SLC6A4) gene within 17q11 adjacent to the CPD and NF1 genes.Europ. J. Hum. Genet. 8: 75-78, 2000.
ECLASS 10.1 32160702
ECLASS 11.0 32160702
UNSPSC 12352203
Alias Sodium-dependent serotonin transporter,5HT transporter,5HTT,Solute carrier family 6 member 4,SLC6A4,HTT,SERT
Available
Manufacturer - Category
Primary Antibodies
Storage Conditions
Store at -20°C for one year from date of receipt. After reconstitution, at 4°C for one month. It can also be aliquotted and stored frozen at -20°C for six months. Avoid repeated freeze-thaw cycles.
Observed Molecular weight
70-90 kDa
Calculated Molecular weight
70325 MW
Clonality
Polyclonal
Application Details
Western blot, 0.1-0.5μg/ml, Human, Mouse, Rat
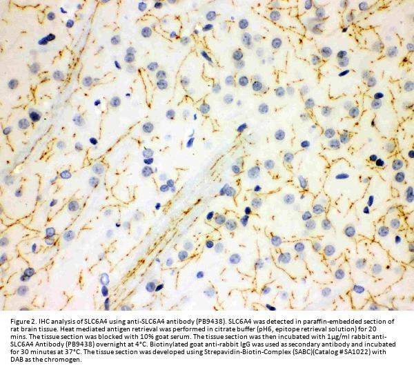
Immunohistochemistry (Paraffin-embedded Section), 2-5μg/ml, Mouse, Rat
Immunofluorescence, 5 μg/ml, Mouse, Rat
Gene Name
SLC6A4
Gene Full Name
Sodium-dependent serotonin transporter
Manufacturer - Specificity
No cross reactivity with other proteins.
Background
SLC6A4 (Solute carrier family 6, member 4), also known as SERT (serotonin transporter), is a monoamine transporter protein. The SLC6A4 gene spans 31 kb and contains 14 exons. This protein integral membrane protein transports the neurotransmitter serotonin from synaptic spaces into presynaptic neurons. This transport of serotonin by the SERT protein terminates the action of serotonin and recycles it in a sodium-dependent manner. This protein is the target of many antidepressant medications, including those of the SSRI class. It is a member of the sodium: neurotransmitter symporter family. A repeat length polymorphism in the promoter of this gene has been shown to affect the rate of serotonin uptake and may play a role in sudden infant death syndrome, aggressive behavior in Alzheimer disease patients, post-traumatic stress disorder and depression-susceptibility in people experiencing emotional trauma.
Immunogen
A synthetic peptide corresponding to a sequence at the N-terminus of human SLC6A4, different from the related mouse and rat sequences by six amino acids.
Contents
Each vial contains 4mg Trehalose, 0.9mg NaCl, 0.2mg Na2HPO4, 0.01mg NaN3.
Purification
Immunogen affinity purified.
Reconstitution
Add 0.2ml of distilled water will yield a concentration of 500ug/ml.
Concentration
Adding 0.2 ml of distilled water will yield a concentration of 500 μg/ml.
Manufacturer - Research Category
Drug Metabolism, Metabolic Signaling Pathways, Metabolism, Neuroscience, Neurotransmission, Neurotransmitter, Pathways and Processes, Receptors / Channels, Signal Transduction, Transporters
Protein Name
Sodium-dependent serotonin transporter
Protein Function
Serotonin transporter whose primary function in the central nervous system involves the regulation of serotonergic signaling via transport of serotonin molecules from the synaptic cleft back into the pre-synaptic terminal for re-utilization. Plays a key role in mediating regulation of the availability of serotonin to other receptors of serotonergic systems. Terminates the action of serotonin and recycles it in a sodium-dependent manner.
Subcellular Localization
Cell membrane; Multi-pass membrane protein. Endomembrane system; Multi-pass membrane protein. Endosome membrane; Multi-pass membrane protein. Translocates from intracellular locations to the plasma membrane. Density of transporter molecules on the plasma membrane is itself regulated by serotonin.
Description
Boster Bio Anti-Serotonin transporter/SLC6A4 Antibody Picoband® catalog # PB9438. Tested in IF, IHC, WB applications. This antibody reacts with Human, Mouse, Rat. The brand Picoband indicates this is a premium antibody that guarantees superior quality, high affinity, and strong signals with minimal background in Western blot applications. Only our best-performing antibodies are designated as Picoband, ensuring unmatched performance.
Tissue Specificity
Expressed in platelets (at protein level).
Sequence Similarities
Belongs to the sodium:neurotransmitter symporter (SNF) (TC 2.A.22) family. SLC6A4 subfamily.

Note: The presented information and documents (Manual, Product Datasheet, Safety Datasheet and Certificate of Analysis) correspond to our latest update and should serve for orientational purpose only. We do not guarantee the topicality. We would kindly ask you to make a request for specific requirements, if necessary.

All products are intended for research use only (RUO). Not for human, veterinary or therapeutic use.

Amount: 100 ug/vial
Available: In stock
available

Delivery expected until 2/24/2026 

Compare

Add to wishlist

Get an offer

Request delivery time

Ask a technical question

Submit a bulk request

Questions about this Product?