Comparison

Anti-SQSTM1/p62 Antibody Picoband® European Partner

Item no. BOS-PB9444-FITC
Manufacturer Boster
Amount 100 ug/vial
Quantity options 100 ug/vial 10 ug 100 ug/vial 100 ug/vial 100 ug/vial 100 ug 100 ug 100 ug 100 ug/vial 100 ug/vial 100 ug/vial 100 ug/vial 100 ug
Category
Type Antibody Primary
Format Lyophilized
Applications WB, IF, IHC, ICC
Specific against Human (Homo sapiens), Mouse (Murine, Mus musculus), Rat (Rattus norvegicus)
Host Rabbit
Isotype IgG
Conjugate/Tag FITC
Sensitivity >5000 cells
Sequence Contains 1 PB1 domain.
Citations 1. Hocking, L. J., Lucas, G. J. A., Daroszewska, A., Mangion, J., Olavesen, M., Cundy, T., Nicholson, G. C., Ward, L., Bennett, S. T., Wuyts, W., Van Hul, W., Ralston, S. H. Domain-specific mutations in sequestosome 1 (SQSTM1) cause familial and sporadic Paget's disease. Hum. Molec. Genet. 11: 2735-2739, 2002.
2. Joung, I., Strominger, J. L., Shin, J. Molecular cloning of a phosphotyrosine-independent ligand of the p56-lck SH2 domain. Proc. Nat. Acad. Sci. 93: 5991-5995, 1996.
3. Park, I., Chung, J., Walsh, C. T., Yun, Y., Strominger, J. L., Shin, J. Phosphotyrosine-independent binding of a 62-kDa protein to the src homology 2 (SH2) domain of p56-lck and its regulation by phosphorylation of ser-59 in the lck unique N-terminal region. Proc. Nat. Acad. Sci. 92: 12338-12342, 1995.
ECLASS 10.1 32160702
ECLASS 11.0 32160702
UNSPSC 12352203
Alias Sequestosome-1,EBI3-associated protein of 60 kDa,EBIAP,p60,Phosphotyrosine-independent ligand for the Lck SH2 domain of 62 kDa,Ubiquitin-binding protein p62,SQSTM1,ORCA,OSIL
Available
Manufacturer - Category
Primary Antibodies
Storage Conditions
Store at -20°C for one year from date of receipt. After reconstitution, at 4°C for one month. It can also be aliquotted and stored frozen at -20°C for six months. Avoid repeated freeze-thaw cycles.
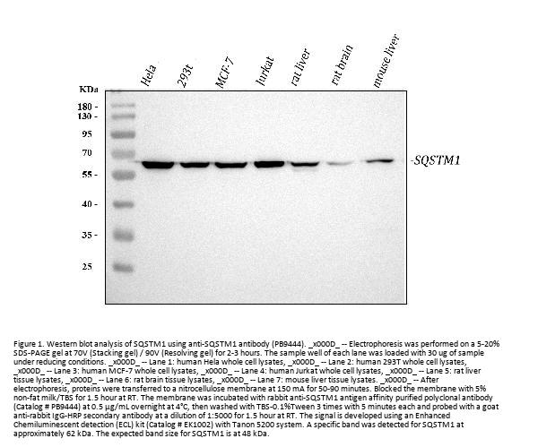
Observed Molecular weight
62 kDa
Calculated Molecular weight
47687 MW
Clonality
Polyclonal
Application Details
Western blot, 0.1-0.5μg/ml, Human, Mouse, Rat
Immunohistochemistry (Paraffin-embedded Section), 0.5-1μg/ml, Human, Mouse, Rat
Immunofluorescence, 2μg/ml, Human
Immunohistochemistry (Frozen Section), 0.5-1μg/ml, Mouse, Rat
Immunocytochemistry, 0.5-1μg/ml, Human
Gene Name
SQSTM1
Gene Full Name
Sequestosome-1
Manufacturer - Specificity
No cross reactivity with other proteins.
Background
SQSTM1 (Sequestosome-1), also known as Ubiquitin-Binding Protein P62 or P62, is a protein that in humans is encoded by the SQSTM1 gene. The Src homology type 2 (SH2) domain is a highly conserved motif of about 100 amino acids which mediates protein-protein interactions by binding to phosphotyrosine.p56-lck, a T-cell-specific src family tyrosine kinase with an SH2 domain, is involved in T-cell signal transduction. The International Radiation Hybrid Mapping Consortium mapped the p62 gene to chromosome 5q35. Park et al. (1995) found that the p56-lck SH2 domain binds to p62 at the ser59 of p62 only when that serine is phosphorylated. Joung et al. (1996) expressed epitope-tagged p62 in Hela cells and showed that the expressed protein bound to the lck SH2 domain and that this binding was dependent on the N-terminal 50 amino acids of p62 but not on the tyrosine residue in this region.
Immunogen
A synthetic peptide corresponding to a sequence at the N-terminus of human SQSTM1/p62, identical to the related mouse and rat sequences.
Contents
Each vial contains 4 mg Trehalose, 0.9 mg NaCl, 0.2mg Na2HPO4, 0.05 mg NaN3.
Purification
Immunogen affinity purified.
Reconstitution
Add 0.2ml of distilled water will yield a concentration of 500ug/ml.
Concentration
Adding 0.2 ml of distilled water will yield a concentration of 500 μg/ml.
Manufacturer - Research Category
Cancer, Cardiovascular, Cell Death, Epigenetics and Nuclear Signaling, Metabolism, Metabolism Processes, NFKB Pathway, Nuclear Signaling, Pathways and Processes, Pol II Transcription, Polymerase Associated Factors, Protein Trafficking, Signal Transduction, Signaling Pathway, Transcription, Vesicle Transport
Protein Name
Sequestosome-1
Protein Function
Autophagy receptor that interacts ly with both the cargo to become degraded and an autophagy modifier of the MAP1 LC3 family. Required both for the formation and autophagic degradation of polyubiquitin-containing bodies, called ALIS (aggresome-like induced structures) and links ALIS to the autophagic machinery. Involved in midbody ring degradation. May regulate the activation of NFKB1 by TNF-alpha, nerve growth factor (NGF) and interleukin- 1. May play a role in titin/TTN downstream signaling in muscle cells. May regulate signaling cascades through ubiquitination. Adapter that mediates the interaction between TRAF6 and CYLD (By similarity). May be involved in cell differentiation, apoptosis, immune response and regulation of K (+) channels.
Subcellular Localization
Cytoplasm. Late endosome. Lysosome. Cytoplasmic vesicle, autophagosome. Nucleus. Endoplasmic reticulum. Cytoplasm, P-body. Sarcomere (By similarity). In cardiac muscles localizes to the sarcomeric band (By similarity). Commonly found in inclusion bodies containing polyubiquitinated protein aggregates. In neurodegenerative diseases, detected in Lewy bodies in Parkinson disease, neurofibrillary tangles in Alzheimer disease, and HTT aggregates in Huntington disease. In protein aggregate diseases of the liver, found in large amounts in Mallory bodies of alcoholic and nonalcoholic steatohepatitis, hyaline bodies in hepatocellular carcinoma, and in SERPINA1 aggregates. Enriched in Rosenthal fibers of pilocytic astrocytoma. In the cytoplasm, observed in both membrane-free ubiquitin- containing protein aggregates (sequestosomes) and membrane- surrounded autophagosomes. Colocalizes with TRIM13 in the perinuclear endoplasmic reticulum. Co-localizes with TRIM5 in the cytoplasmic bodies.
Description
Boster Bio Anti-SQSTM1/p62 Antibody Picoband® catalog # PB9444. Tested in IF, IHC, ICC, WB applications. This antibody reacts with Human, Mouse, Rat. The brand Picoband indicates this is a premium antibody that guarantees superior quality, high affinity, and strong signals with minimal background in Western blot applications. Only our best-performing antibodies are designated as Picoband, ensuring unmatched performance.
Tissue Specificity
Ubiquitously expressed.
Sequence Similarities
Contains 1 PB1 domain.
Manufacturer - Cross Reactivity
No cross-reactivity with other proteins

Note: The presented information and documents (Manual, Product Datasheet, Safety Datasheet and Certificate of Analysis) correspond to our latest update and should serve for orientational purpose only. We do not guarantee the topicality. We would kindly ask you to make a request for specific requirements, if necessary.

All products are intended for research use only (RUO). Not for human, veterinary or therapeutic use.

Amount: 100 ug/vial
Available: In stock
available

Compare

Add to wishlist

Get an offer

Request delivery time

Ask a technical question

Submit a bulk request

Questions about this Product?