Comparison

Anti-XBP1 Antibody Picoband® European Partner

Item no. BOS-PB9463-APC
Manufacturer Boster
Amount 100 ug
Quantity options 100 ug/vial 10 ug 100 ug 100 ug 100 ug 100 ug 100 ug 100 ug 100 ug 100 ug 100 ug 100 ug 100 ug
Category
Type Antibody Polyclonal
Format Lyophilized
Applications WB, FC, IF, IHC, ICC
Specific against Human (Homo sapiens), Mouse (Murine, Mus musculus), Rat (Rattus norvegicus)
Host Rabbit
Isotype IgG
Conjugate/Tag APC
Sensitivity >5000 cells
Sequence Belongs to the bZIP family.
Citations 1. Entrez Gene: XBP1 X-box binding protein 1.
2. Ono SJ, Liou HC, Davidon R, Strominger JL, Glimcher LH (May 1991). Human X-box-binding protein 1 is required for the transcription of a subset of human class II major histocompatibility genes and forms a heterodimer with c-fos. Proc. Natl. Acad. Sci. U.S.A. 88 (10): 4309–12.
3. Yoshida H, Nadanaka S, Sato R, Mori K (2006). XBP1 is critical to protect cells from endoplasmic reticulum stress: evidence from Site-2 protease-deficient Chinese hamster ovary cells. Cell Structure and Function 31 (2): 117–25.
ECLASS 10.1 32160702
ECLASS 11.0 32160702
UNSPSC 12352203
Alias X-box-binding protein 1,XBP-1,Tax-responsive element-binding protein 5,TREB-5,X-box-binding protein 1,cytoplasmic form,X-box-binding protein 1,luminal form,XBP1,TREB5,XBP2
Available
Manufacturer - Category
Primary Antibodies
Storage Conditions
Store at -20°C for one year from date of receipt. After reconstitution, at 4°C for one month. It can also be aliquotted and stored frozen at -20°C for six months. Avoid repeated freeze-thaw cycles.
Observed Molecular weight
29 kDa
Calculated Molecular weight
28695 MW
Clonality
Polyclonal
Application Details
Western blot, 0.1-0.5μg/ml, Human
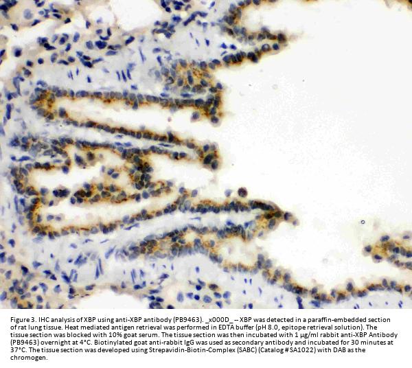
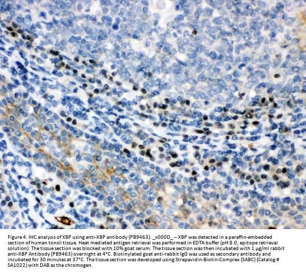
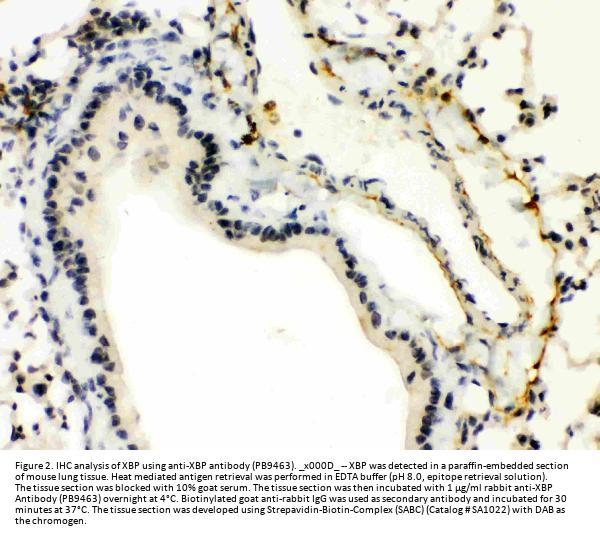
Immunohistochemistry (Paraffin-embedded Section), 0.5-1μg/ml, Human, Mouse, Rat
Immunocytochemistry/Immunofluorescence, 2μg/ml, Human
Flow Cytometry (Fixed), 1-3μg/1x106 cells, Human
Gene Name
XBP1
Gene Full Name
X-box-binding protein 1
Manufacturer - Specificity
No cross reactivity with other proteins.
Background
XBP1, also known as X-box binding protein 1, is a protein which in humans is encoded by the XBP1 gene. It encodes a transcription factor that regulates MHC class II genes by binding to a promoter element referred to as an X box. This gene product is a bZIP protein, which was also identified as a cellular transcription factor that binds to an enhancer in the promoter of the T cell leukemia virus type 1 promoter. It may increase expression of viral proteins by acting as the DNA binding partner of a viral transactivator. It has been found that upon accumulation of unfolded proteins in the endoplasmic reticulum (ER), the mRNA of this gene is processed to an active form by an unconventional splicing mechanism that is mediated by the endonuclease inositol-requiring enzyme 1 (IRE1). The resulting loss of 26 nt from the spliced mRNA causes a frame-shift and an isoform XBP1 (S), which is the functionally active transcription factor. The isoform encoded by the unspliced mRNA, XBP1 (U), is constitutively expressed, and thought to function as a negative feedback regulator of XBP1 (S), which shuts off transcription of target genes during the recovery phase of ER stress. A pseudogene of XBP1 has been identified and localized to chromosome 5.
Immunogen
A synthetic peptide corresponding to a sequence at the N-terminus of human XBP1, identical to the related mouse and rat sequences.
Contents
Each vial contains 5mg BSA, 0.9mg NaCl, 0.2mg Na2HPO4, 0.05mg NaN3.
Purification
Immunogen affinity purified.
Reconstitution
Add 0.2ml of distilled water will yield a concentration of 500ug/ml.
Concentration
Adding 0.2 ml of distilled water will yield a concentration of 500 μg/ml.
Manufacturer - Research Category
Epigenetics and Nuclear Signaling, Transcription, Transcription Factors
Protein Name
X-box-binding protein 1
Protein Function
Functions as a transcription factor during endoplasmic reticulum (ER) stress by regulating the unfolded protein response (UPR). Required for cardiac myogenesis and hepatogenesis during embryonic development, and the development of secretory tissues such as exocrine pancreas and salivary gland (By similarity). Involved in terminal differentiation of B lymphocytes to plasma cells and production of immunoglobulins (PubMed:11460154). Modulates the cellular response to ER stress in a PIK3R-dependent manner (PubMed:20348923). Binds to the cis-acting X box present in the promoter regions of major histocompatibility complex class II genes (PubMed:8349596). Involved in VEGF-induced endothelial cell (EC) proliferation and retinal blood vessel formation during embryonic development but also for angiogenesis in adult tissues under ischemic conditions. Functions also as a major regulator of the UPR in obesity-induced insulin resistance and type 2 diabetes for the management of obesity and diabetes prevention (By similarity).
Subcellular Localization
Endoplasmic reticulum. Colocalizes with ERN1 and KDR in the endoplasmic reticulum in endothelial cells in a vascular endothelial growth factor (VEGF)-dependent manner (PubMed:23529610).
Description
Boster Bio Anti-XBP1 Antibody Picoband® catalog # PB9463. Tested in Flow Cytometry, IF, IHC, ICC, WB applications. This antibody reacts with Human, Mouse, Rat. The brand Picoband indicates this is a premium antibody that guarantees superior quality, high affinity, and strong signals with minimal background in Western blot applications. Only our best-performing antibodies are designated as Picoband, ensuring unmatched performance.
Tissue Specificity
Expressed in plasma cells in rheumatoid synovium (PubMed:11460154). Over-expressed in primary breast cancer and metastatic breast cancer cells (PubMed:25280941). Isoform 1 and isoform 2 are expressed at higher level in proliferating as compared to confluent quiescent endothelial cells (PubMed:19416856).
Sequence Similarities
Belongs to the bZIP family.

Note: The presented information and documents (Manual, Product Datasheet, Safety Datasheet and Certificate of Analysis) correspond to our latest update and should serve for orientational purpose only. We do not guarantee the topicality. We would kindly ask you to make a request for specific requirements, if necessary.

All products are intended for research use only (RUO). Not for human, veterinary or therapeutic use.

Amount: 100 ug
Available: In stock
available

Compare

Add to wishlist

Get an offer

Request delivery time

Ask a technical question

Submit a bulk request

Questions about this Product?