Comparison

Anti-Aquaporin 1/AQP1 Antibody Picoband® European Partner

Item no. BOS-PB9473-Dylight550
Manufacturer Boster
Amount 100 ug
Quantity options 100 ug/vial 10 ug 100 ug 100 ug 100 ug 100 ug 100 ug 100 ug 100 ug 100 ug 100 ug 100 ug 100 ug
Category
Type Antibody Polyclonal
Format Lyophilized
Applications WB, FC, IF, IHC
Specific against Human (Homo sapiens), Mouse (Murine, Mus musculus), Rat (Rattus norvegicus)
Host Rabbit
Isotype IgG
Conjugate/Tag Dylight 550
Sensitivity >5000 cells
Sequence Belongs to the MIP/aquaporin (TC 1.A.8) family.
Citations 1. Denker, B. M.; Smith, B. L.; Kuhajda, F. P.; Agre, P. : Identification, purification, and partial characterization of a novel M(r) 28,000 integral membrane protein from erythrocytes and renal tubules. J. Biol. Chem. 263: 15634-15642, 1988.
2. Thiagarajah, J. R.; Verkman, A. S. : Aquaporin deletion in mice reduces corneal water permeability and delays restoration of transparency after swelling. J. Biol. Chem. 277: 19139-19144, 2002.
ECLASS 10.1 32160702
ECLASS 11.0 32160702
UNSPSC 12352203
Alias Aquaporin-1,AQP-1,Aquaporin-CHIP,Urine water channel,Water channel protein for red blood cells and kidney proximal tubule,AQP1,CHIP28
Available
Manufacturer - Category
Primary Antibodies
Storage Conditions
Store at -20°C for one year from date of receipt. After reconstitution, at 4°C for one month. It can also be aliquotted and stored frozen at -20°C for six months. Avoid repeated freeze-thaw cycles.
Observed Molecular weight
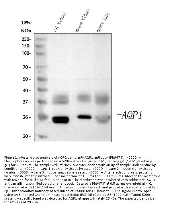
25, 35-38 kDa
Calculated Molecular weight
28 kDa
Clonality
Polyclonal
Application Details
Western blot, 0.1-0.5μg/ml, Mouse, Rat
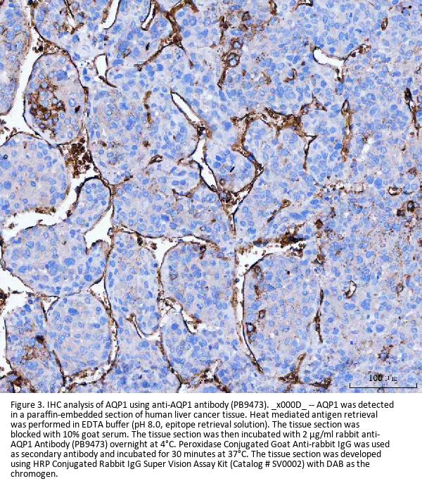
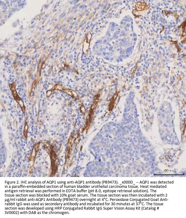
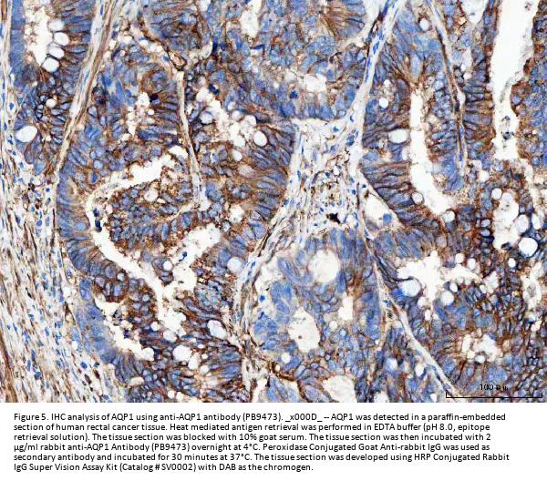
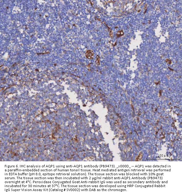
Immunohistochemistry (Paraffin-embedded Section), 2-5μg/ml, Human, Mouse, Rat
Immunofluorescence, 5μg/ml, Rat
Flow Cytometry(Fixed), 1-3μg/1x106 cells, Human
Gene Name
AQP1
Gene Full Name
Aquaporin-1
Manufacturer - Specificity
No cross reactivity with other proteins.
Background
Aquaporin 1 is a 28-kD integral protein thought at first to be a breakdown product of the Rh polypeptide but was later shown to be a unique molecule that is abundant in erythrocytes and renal tubules. AQP1 is also expressed by the choroid plexus and various other tissues. It forms a water-specific channel that provides the plasma membranes of red cells and kidney proximal tubules with high permeability to water, thereby permitting water to move in the ion of an osmotic gradient.
Immunogen
A synthetic peptide corresponding to a sequence at the C-terminus of human Aquaporin 1, different from the related mouse and rat sequences by one amino acid.
Contents
Each vial contains 4 mg Trehalose, 0.9 mg NaCl and 0.2 mg Na2HPO4.
Purification
Immunogen affinity purified.
Reconstitution
Add 0.2ml of distilled water will yield a concentration of 500ug/ml.
Concentration
Adding 0.2 ml of distilled water will yield a concentration of 500 μg/ml.
Manufacturer - Research Category
Channels, Metabolism, Plasma Membrane, Signal Transduction, Vitamins/Minerals
Protein Name
Aquaporin-1
Protein Function
Forms a water-specific channel that provides the plasma membranes of red cells and kidney proximal tubules with high permeability to water, thereby permitting water to move in the ion of an osmotic gradient.
Subcellular Localization
Cell membrane; Multi-pass membrane protein.
Description
Boster Bio Anti-Aquaporin 1/AQP1 Antibody Picoband® catalog # PB9473. Tested in Flow Cytometry, IF, IHC, WB applications. This antibody reacts with Human, Mouse, Rat. The brand Picoband indicates this is a premium antibody that guarantees superior quality, high affinity, and strong signals with minimal background in Western blot applications. Only our best-performing antibodies are designated as Picoband, ensuring unmatched performance.
Tissue Specificity
Detected in erythrocytes (at protein level). Expressed in a number of tissues including erythrocytes, renal tubules, retinal pigment epithelium, heart, lung, skeletal muscle, kidney and pancreas. Weakly expressed in brain, placenta and liver.
Sequence Similarities
Belongs to the MIP/aquaporin (TC 1.A.8) family.
Manufacturer - Cross Reactivity
No cross-reactivity with other proteins

Note: The presented information and documents (Manual, Product Datasheet, Safety Datasheet and Certificate of Analysis) correspond to our latest update and should serve for orientational purpose only. We do not guarantee the topicality. We would kindly ask you to make a request for specific requirements, if necessary.

All products are intended for research use only (RUO). Not for human, veterinary or therapeutic use.

Amount: 100 ug
Available: In stock
available

Compare

Add to wishlist

Get an offer

Request delivery time

Ask a technical question

Submit a bulk request

Questions about this Product?