Comparison

Anti-Aspartate beta hydroxylase/ASPH Antibody Picoband® European Partner

Item no. BOS-PB9478-carrier-free
Manufacturer Boster
Amount 100 ug/vial
Quantity options 100 ug/vial 10 ug 100 ug/vial 100 ug/vial 100 ug/vial 100 ug 100 ug 100 ug 100 ug/vial 100 ug/vial 100 ug/vial 100 ug/vial 100 ug
Category
Type Antibody Polyclonal
Format Lyophilized
Applications WB, FC, IHC, ICC
Specific against Human (Homo sapiens), Mouse (Murine, Mus musculus), Rat (Rattus norvegicus)
Host Rabbit
Isotype IgG
Sensitivity >5000 cells
Sequence Belongs to the aspartyl/asparaginyl beta-hydroxylase family.
Citations 1. Entrez Gene: ASPH aspartate beta-hydroxylase.
2. Korioth F, Gieffers C, Frey J (Feb 1995). Cloning and characterization of the human gene encoding aspartyl beta-hydroxylase. Gene 150 (2): 395–9.
3. Lim KY, Hong CS, Kim DH (Nov 2000). cDNA cloning and characterization of human cardiac junctin. Gene 255 (1): 35–42.
ECLASS 10.1 32160702
ECLASS 11.0 32160702
UNSPSC 12352203
Alias Aspartyl/asparaginyl beta-hydroxylase,1.14.11.16,Aspartate beta-hydroxylase,ASP beta-hydroxylase,Peptide-aspartate beta-dioxygenase,ASPH,BAH
Available
Manufacturer - Category
Primary Antibodies
Manufacturer - Conjugate / Tag
carrier-free
Storage Conditions
Store at -20°C for one year from date of receipt. After reconstitution, at 4°C for one month. It can also be aliquotted and stored frozen at -20°C for six months. Avoid repeated freeze-thaw cycles.
Observed Molecular weight
100 kDa
Calculated Molecular weight
85863 MW
Clonality
Polyclonal
Application Details
Western blot, 0.1-0.5μg/ml, Human, Mouse, Rat
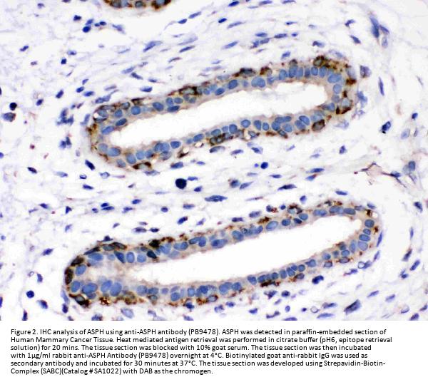
Immunohistochemistry (Paraffin-embedded Section), 0.5-1μg/ml, Human
Immunocytochemistry, 0.5-1μg/ml, Human
Flow Cytometry (Fixed), 1-3μg/1x106 cells, Human
Gene Name
ASPH
Gene Full Name
Aspartyl/asparaginyl beta-hydroxylase
Manufacturer - Specificity
No cross reactivity with other proteins.
Background
ASPH is also known as Aspartyl/asparaginyl beta-hydroxylase. This gene is thought to play an important role in calcium homeostasis. And the gene is expressed from two promoters and undergoes extensive alternative splicing. The encoded set of proteins share varying amounts of overlap near their N-termini but have substantial variations in their C-terminal domains resulting in distinct functional properties. The longest isoforms (a and f) include a C-terminal Aspartyl/Asparaginyl beta-hydroxylase domain that hydroxylates aspartic acid or asparagine residues in the epidermal growth factor (EGF)-like domains of some proteins, including protein C, coagulation factors VII, IX, and X, and the complement factors C1R and C1S. Other isoforms differ primarily in the C-terminal sequence and lack the hydroxylase domain, and some have been localized to the endoplasmic and sarcoplasmic reticulum. Some of these isoforms are found in complexes with calsequestrin, triadin, and the ryanodine receptor, and have been shown to regulate calcium release from the sarcoplasmic reticulum. Some isoforms have been implicated in metastasis.
Immunogen
A synthetic peptide corresponding to a sequence at the C-terminus of human ASPH, identical to the related mouse sequence.
Contents
Each vial contains 5mg BSA, 0.9mg NaCl, 0.2mg Na2HPO4, 0.05mg NaN3.
Purification
Immunogen affinity purified.
Reconstitution
Add 0.2ml of distilled water will yield a concentration of 500ug/ml.
Concentration
Adding 0.2 ml of distilled water will yield a concentration of 500 μg/ml.
Manufacturer - Research Category
Cell Biology
Protein Name
Aspartyl/asparaginyl beta-hydroxylase
Protein Function
Isoform 1: specifically hydroxylates an Asp or Asn residue in certain epidermal growth factor-like (EGF) domains of a number of proteins.
Subcellular Localization
Isoform 1: Endoplasmic reticulum membrane; Single-pass type II membrane protein.
Description
Boster Bio Anti-Aspartate beta hydroxylase/ASPH Antibody Picoband® catalog # PB9478. Tested in Flow Cytometry, IHC, ICC, WB applications. This antibody reacts with Human, Mouse, Rat. The brand Picoband indicates this is a premium antibody that guarantees superior quality, high affinity, and strong signals with minimal background in Western blot applications. Only our best-performing antibodies are designated as Picoband, ensuring unmatched performance.
Tissue Specificity
Isoform 1 is detected in all tissues tested. Isoform 8 is mainly expressed in pancreas, heart, brain, kidney and liver. Isoform 8 is expressed in kidney (at protein level).
Sequence Similarities
Belongs to the aspartyl/asparaginyl beta-hydroxylase family.
Manufacturer - Cross Reactivity
No cross-reactivity with other proteins

Note: The presented information and documents (Manual, Product Datasheet, Safety Datasheet and Certificate of Analysis) correspond to our latest update and should serve for orientational purpose only. We do not guarantee the topicality. We would kindly ask you to make a request for specific requirements, if necessary.

All products are intended for research use only (RUO). Not for human, veterinary or therapeutic use.

Amount: 100 ug/vial
Available: In stock
available

Delivery expected until 2/3/2026 

Compare

Add to wishlist

Get an offer

Request delivery time

Ask a technical question

Submit a bulk request

Questions about this Product?