Comparison

Anti-GLP1/GCG Antibody European Partner

Item no. BOS-PB9705-HRP
Manufacturer Boster
Amount 100 ug
Quantity options 100 ug/vial 10 ug 100 ug 100 ug 100 ug 100 ug 100 ug 100 ug 100 ug 100 ug 100 ug 100 ug 100 ug
Category
Type Antibody Polyclonal
Format Lyophilized
Applications IF, IHC
Specific against Human (Homo sapiens), Mouse (Murine, Mus musculus), Rat (Rattus norvegicus)
Host Rabbit
Isotype IgG
Conjugate/Tag HRP
Sensitivity >5000 cells
Citations 1. Arora S, Galich P (Mar 2009). Myth: glucagon is an effective first-line therapy for esophageal foreign body impaction. Cjem 11 (2): 169–71.
2. Holz, G. G., IV, Kuhtreiber, W. M., Habener, J. F. Pancreatic beta-cells are rendered glucose-competent by the insulinotropic hormone glucagon-like peptide-1 (7-37). Nature 361: 362-365, 1993.
3. Liljenquist JE, Bomboy JD, Lewis SB, Sinclair-Smith BC, Felts PW, Lacy WW, Crofford OB, Liddle GW (Jan 1974). Effects of glucagon on lipolysis and ketogenesis in normal and diabetic men (PDF). The Journal of Clinical Investigation 53 (1): 190–7.
ECLASS 10.1 32160702
ECLASS 11.0 32160702
UNSPSC 12352203
Alias Glucagon,Glicentin,Glicentin-related polypeptide,GRPP,Oxyntomodulin,OXM,OXY,Glucagon,Glucagon-like peptide 1,GLP-1,Incretin hormone,Glucagon-like peptide 1 (7-37),GLP-1 (7-37),Glucagon-like peptide 1 (7-36),GLP-1 (7-36),Glucagon-like peptide 2,GLP-2,GCG
Available
Manufacturer - Category
Primary Antibodies
Storage Conditions
Store at -20°C for one year from date of receipt. After reconstitution, at 4°C for one month. It can also be aliquotted and stored frozen at -20°C for six months. Avoid repeated freeze-thaw cycles.
Observed Molecular weight
10 kDa
Calculated Molecular weight
20909 MW
Clonality
Polyclonal
Application Details
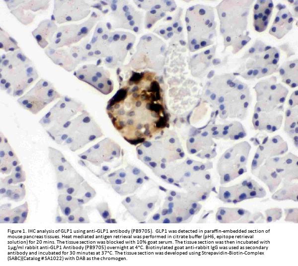
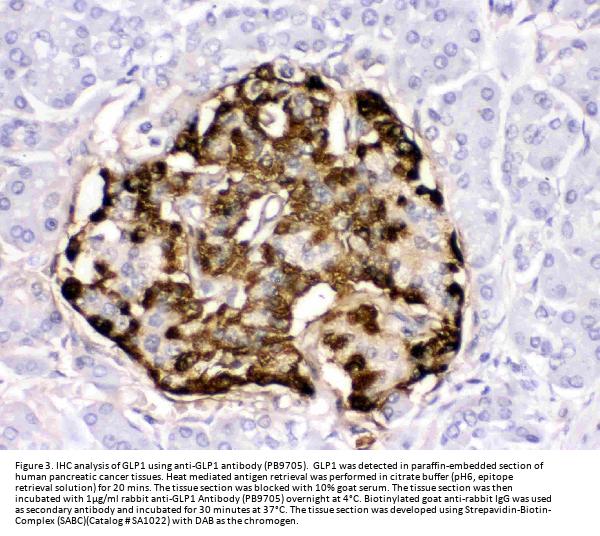
Immunohistochemistry (Paraffin-embedded Section), 0.5-1μg/ml, Human, Mouse, Rat
Immunofluorescence, 2μg/ml, Rat
Gene Name
GCG
Gene Full Name
Glucagon
Manufacturer - Specificity
No cross reactivity with other proteins.
Background
GCG is also known as GLP1, or Glucagon. Glucagon is a 29-amino acid pancreatic hormone that counteracts the glucose-lowering action of insulin by stimulating glycogenolysis and gluconeogenesis.?It is mapped to 2q36-2q37. GLP1, also known as 7-37 for the codons of the preproglucagon molecule which encode it, renders pancreatic beta-cells 'glucose-competent' and may be useful in the treatment of noninsulin-dependent diabetes mellitus. Also, GLP1 is a potent insulin secretagogue.?It plays a major role in the enteroinsular axis, accounting, for example, for the finding that plasma insulin levels accompanying oral intake of glucose are greater than those observed when glucose is given intravenously.
Immunogen
A synthetic peptide corresponding to a sequence at the N-terminus of human GLP1, identical to the related mouse and rat sequences.
Contents
Each vial contains 5mg BSA, 0.9mg NaCl, 0.2mg Na2HPO4, 0.05mg NaN3.
Purification
Immunogen affinity purified.
Reconstitution
Add 0.2ml of distilled water will yield a concentration of 500ug/ml.
Concentration
Adding 0.2 ml of distilled water will yield a concentration of 500 μg/ml.
Manufacturer - Research Category
Cancer, Cancer Metabolism, Developmental Biology, Energy Transfer Pathways, Growth Factors/Hormones, Integration Of Energy, Integration Of Energy Metabolism, Lineage Markers, Lineage Specification, Metabolic Signaling Pathway, Metabolic Signaling Pathways, Metabolism, Pathways and Processes, Signal Transduction, Stem Cells, Tumor Biomarkers
Protein Name
Glucagon
Protein Function
Glucagon plays a key role in glucose metabolism and homeostasis. Regulates blood glucose by increasing gluconeogenesis and decreasing glycolysis. A counterregulatory hormone of insulin, raises plasma glucose levels in response to insulin-induced hypoglycemia. Plays an important role in initiating and maintaining hyperglycemic conditions in diabetes.
Subcellular Localization
Secreted.
Description
Boster Bio Anti-GLP1/GCG Antibody Picoband® catalog # PB9705. Tested in IF, IHC applications. This antibody reacts with Human, Mouse, Rat.
Tissue Specificity
Glucagon is secreted in the A cells of the islets of Langerhans. GLP-1, GLP-2, oxyntomodulin and glicentin are secreted from enteroendocrine cells throughout the gastrointestinal tract. GLP-1 and GLP-2 are also secreted in selected neurons in the brain.
Manufacturer - Alias
Glucagon, Glicentin, Glicentin-related polypeptide, GRPP, Oxyntomodulin, OXM, OXY, Glucagon, Glucagon-like peptide 1, GLP-1, Incretin hormone, Glucagon-like peptide 1 (7-37), GLP-1 (7-37), Glucagon-like peptide 1 (7-36), GLP-1 (7-36), Glucagon-like peptide 2, GLP-2, GCG
Manufacturer - Cross Reactivity
No cross-reactivity with other proteins

Note: The presented information and documents (Manual, Product Datasheet, Safety Datasheet and Certificate of Analysis) correspond to our latest update and should serve for orientational purpose only. We do not guarantee the topicality. We would kindly ask you to make a request for specific requirements, if necessary.

All products are intended for research use only (RUO). Not for human, veterinary or therapeutic use.

Amount: 100 ug
Available: In stock
available

Compare

Add to wishlist

Get an offer

Request delivery time

Ask a technical question

Submit a bulk request

Questions about this Product?