Comparison

Anti-NIRF/UHRF2 Antibody Picoband® European Partner

Item no. BOS-PB9906-Biotin
Manufacturer Boster
Amount 100 ug
Quantity options 100 ug/vial 10 ug 100 ug 100 ug 100 ug 100 ug 100 ug 100 ug 100 ug 100 ug 100 ug 100 ug 100 ug
Category
Type Antibody Polyclonal
Format Lyophilized
Applications WB, IHC
Specific against Human (Homo sapiens), Mouse (Murine, Mus musculus), Rat (Rattus norvegicus)
Host Rabbit
Isotype IgG
Conjugate/Tag Biotin
Sensitivity <20 pg/ml
Citations 1. Entrez Gene: UHRF2 ubiquitin-like, containing PHD and RING finger domains, 2.
2. Mori T, Li Y, Hata H, Ono K, Kochi H (Aug 2002). NIRF, a novel RING finger protein, is involved in cell-cycle regulation. Biochem Biophys Res Commun 296 (3): 530–6.
ECLASS 10.1 32160702
ECLASS 11.0 32160702
UNSPSC 12352203
Alias E3 ubiquitin-protein ligase UHRF2,6.3.2.-,Np95/ICBP90-like RING finger protein,Np95-like RING finger protein,Nuclear protein 97,Nuclear zinc finger protein Np97,RING finger protein 107,Ubiquitin-like PHD and RING finger domain-containing protein 2,Ubiquitin-like-containing PHD and RING finger domains protein 2,UHRF2,NIRF,RNF107
Available
Manufacturer - Category
Primary Antibodies
Storage Conditions
Store at -20°C for one year from date of receipt. After reconstitution, at 4°C for one month. It can also be aliquotted and stored frozen at -20°C for six months. Avoid repeated freeze-thaw cycles.
Observed Molecular weight
90 kDa
Calculated Molecular weight
89985 MW
Clonality
Polyclonal
Application Details
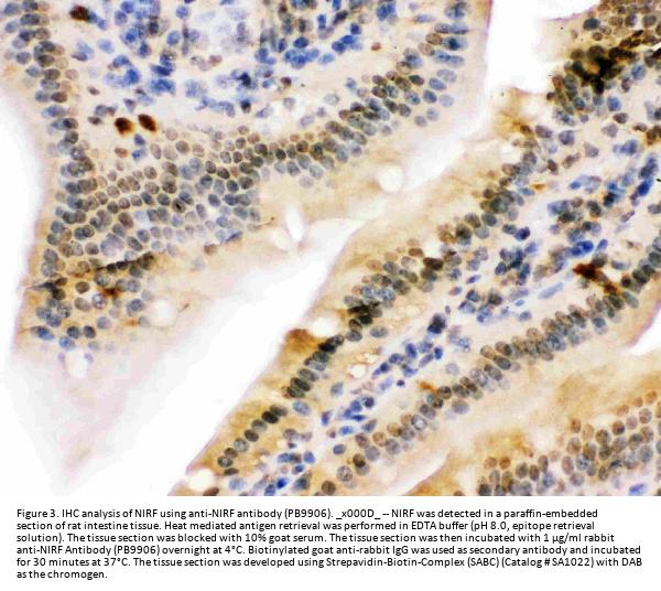
Immunohistochemistry (Paraffin-embedded Section), 0.5-1μg/ml, Human, Mouse, Rat
Western blot, 0.1-0.5μg/ml, Human, Rat
Gene Name
UHRF2
Gene Full Name
E3 ubiquitin-protein ligase UHRF2
Manufacturer - Specificity
No cross reactivity with other proteins.
Background
E3 ubiquitin-protein ligase UHRF2 is an enzyme that in humans is encoded by the UHRF2 gene. This gene encodes a nuclear protein which is involved in cell-cycle regulation. The encoded protein is a ubiquitin-ligase capable of ubiquinating PCNP (PEST-containing nuclear protein), and together they may play a role in tumorigenesis. The encoded protein contains an NIRF_N domain, a PHD finger, a set- and ring-associated (SRA) domain, and a RING finger domain and several of these domains have been shown to be essential for the regulation of cell proliferation. This protein may also have a role in intranuclear degradation of polyglutamine aggregates. Alternative splicing results in multiple transcript variants some of which are non-protein coding.
Immunogen
A synthetic peptide corresponding to a sequence at the N-terminus of human NIRF, identical to the related mouse and rat sequences.
Contents
Each vial contains 5mg BSA, 0.9mg NaCl, 0.2mg Na2HPO4, 0.05mg NaN3.
Purification
Immunogen affinity purified.
Reconstitution
Add 0.2ml of distilled water will yield a concentration of 500ug/ml.
Concentration
Adding 0.2 ml of distilled water will yield a concentration of 500 μg/ml.
Manufacturer - Research Category
Cell Biology, Cell Cycle, Cell Cycle Inhibitors, Proteasome / Ubiquitin, Proteolysis/Ubiquitin, Ring Finger E3 Ligase, Ubiquitin E3 Enzymes
Protein Name
E3 ubiquitin-protein ligase UHRF2
Protein Function
E3 ubiquitin-protein ligase that is an intermolecular hub protein in the cell cycle network. Through cooperative DNA and histone binding, may contribute to a tighter epigenetic control of gene expression in differentiated cells. Ubiquitinates cyclins, CCND1 and CCNE1, in an apparently phosphorylation-independent manner and induces G1 arrest. Also ubiquitinates PCNP leading to its degradation by the proteasome. E3 SUMO-, but not ubiquitin-, protein ligase for ZNF131.
Subcellular Localization
Nucleus. Enriched at pericentric heterochromatin (PH). This localization is dependent on the interaction with H3K9me3 (By similarity).
Description
Boster Bio Anti-NIRF/UHRF2 Antibody Picoband® catalog # PB9906. Tested in IHC, WB applications. This antibody reacts with Human, Mouse, Rat. The brand Picoband indicates this is a premium antibody that guarantees superior quality, high affinity, and strong signals with minimal background in Western blot applications. Only our best-performing antibodies are designated as Picoband, ensuring unmatched performance.
Tissue Specificity
Expressed in thymus, bone marrow, testis, lung and heart. Overexpressed in breast cancer.
Manufacturer - Alias
E3 ubiquitin-protein ligase UHRF2, 6.3.2.-, Np95/ICBP90-like RING finger protein, Np95-like RING finger protein, Nuclear protein 97, Nuclear zinc finger protein Np97, RING finger protein 107, Ubiquitin-like PHD and RING finger domain-containing protein 2, Ubiquitin-like-containing PHD and RING finger domains protein 2, UHRF2, NIRF, RNF107
Manufacturer - Cross Reactivity
No cross-reactivity with other proteins.

Note: The presented information and documents (Manual, Product Datasheet, Safety Datasheet and Certificate of Analysis) correspond to our latest update and should serve for orientational purpose only. We do not guarantee the topicality. We would kindly ask you to make a request for specific requirements, if necessary.

All products are intended for research use only (RUO). Not for human, veterinary or therapeutic use.

Amount: 100 ug
Available: In stock
available

Compare

Add to wishlist

Get an offer

Request delivery time

Ask a technical question

Submit a bulk request

Questions about this Product?