Comparison

Anti-Osteocalcin/BGLAP Antibody European Partner

Item no. BOS-PB9918-Dylight594
Manufacturer Boster
Amount 100 ug
Quantity options 100 ug/vial 10 ug 100 ug 100 ug 100 ug 100 ug 100 ug 100 ug 100 ug 100 ug 100 ug 100 ug 100 ug
Category
Type Antibody Polyclonal
Format Lyophilized
Applications IHC
Specific against Human (Homo sapiens)
Host Rabbit
Isotype IgG
Conjugate/Tag DyLight 594
Sensitivity >5000 cells
Citations 1. Cancela L, Hsieh CL, Francke U, Price PA (September 1990). Molecular structure, chromosome assignment, and promoter organization of the human matrix Gla protein gene. J. Biol. Chem. 265 (25): 15040–8.
2. Lee NK, Sowa H, Hinoi E, Ferron M, Ahn JD, Confavreux C, Dacquin R, Mee PJ, McKee MD, Jung DY, Zhang Z, Kim JK, Mauvais-Jarvis F, Ducy P, Karsenty G (August 2007). Endocrine regulation of energy metabolism by the skeleton. Cell 130 (3): 456–69.
3. Puchacz E, Lian JB, Stein GS, Wozney J, Huebner K, Croce C (May 1989). Chromosomal localization of the human osteocalcin gene. Endocrinology 124 (5): 2648–50.
ECLASS 10.1 32160702
ECLASS 11.0 32160702
UNSPSC 12352203
Alias Osteocalcin,Bone Gla protein,BGP,Gamma-carboxyglutamic acid-containing protein,BGLAP
Available
Manufacturer - Category
Primary Antibodies
Storage Conditions
Store at -20°C for one year from date of receipt. After reconstitution, at 4°C for one month. It can also be aliquotted and stored frozen at -20°C for six months. Avoid repeated freeze-thaw cycles.
Observed Molecular weight
29 kDa, 60 kDa
Calculated Molecular weight
10963 MW
Clonality
Polyclonal
Application Details
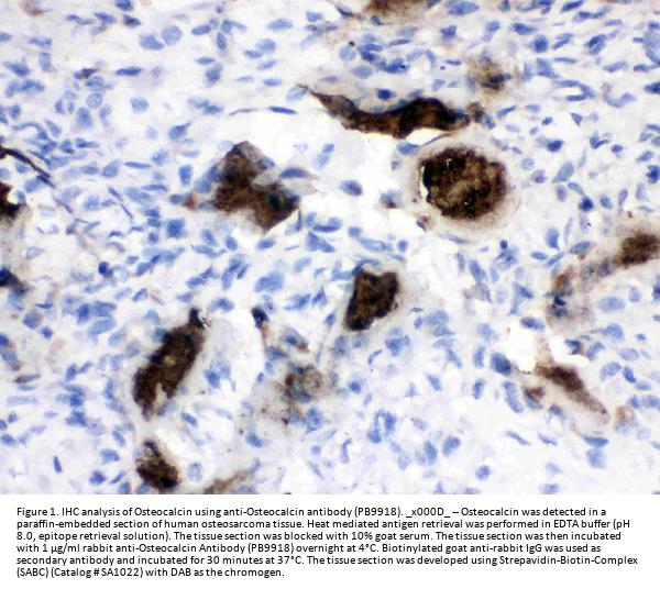
Immunohistochemistry (Paraffin-embedded Section), 0.5-1μg/ml, Human
Gene Name
BGLAP
Gene Full Name
Osteocalcin
Manufacturer - Specificity
No cross reactivity with other proteins.
Background
Osteocalcin, also known as bone gamma-carboxyglutamic acid-containing protein (BGLAP), is a noncollagenous protein found in bone and dentin. In humans, the osteocalcin is encoded by the BGLAP gene. Its receptor is GPRC6A. It is mapped to 1q22. Osteocalcin may play a role in the body's metabolic regulation and is pro-osteoblastic, or bone-building. It acts as a hormone in the body, causing beta cellsin the pancreas to release more insulin, and at the same time ing fat cells to release the hormone adiponectin, which increases sensitivity to insulin. Also, it may play a role in male fertility. And it is found that picomolar amounts of osteocalcin affected insulin secretion and beta-cell proliferation.
Immunogen
E. coli-derived human Osteocalcin recombinant protein (Position: Y52-V100). Human Osteocalcin shares 69% and 80.9% amino acid (aa) sequence identity with mouse and rat Osteocalcin, respectively.
Contents
Each vial contains 5mg BSA, 0.9mg NaCl, 0.2mg Na2HPO4, 0.05mg NaN3.
Purification
Immunogen affinity purified.
Reconstitution
Add 0.2ml of distilled water will yield a concentration of 500ug/ml.
Concentration
Adding 0.2 ml of distilled water will yield a concentration of 500 μg/ml.
Manufacturer - Research Category
Cytoskeleton/ECM, Extracellular Matrix, Mesenchymal Stem Cells, Signal Transduction, Stem Cells, Structures
Protein Name
Osteocalcin
Protein Function
Constitutes 1-2% of the total bone protein. It binds strongly to apatite and calcium.
Subcellular Localization
Secreted.
Description
Boster Bio Anti-Osteocalcin/BGLAP Antibody Picoband® catalog # PB9918. Tested in IHC applications. This antibody reacts with Human.
Tissue Specificity
Bcl-X (S) is expressed at high levels in cells that undergo a high rate of turnover, such as developing lymphocytes. In contrast, Bcl-X (L) is found in tissues containing long-lived postmitotic cells, such as adult brain.
Manufacturer - Cross Reactivity
No cross-reactivity with other proteins

Note: The presented information and documents (Manual, Product Datasheet, Safety Datasheet and Certificate of Analysis) correspond to our latest update and should serve for orientational purpose only. We do not guarantee the topicality. We would kindly ask you to make a request for specific requirements, if necessary.

All products are intended for research use only (RUO). Not for human, veterinary or therapeutic use.

Amount: 100 ug
Available: In stock
available

Compare

Add to wishlist

Get an offer

Request delivery time

Ask a technical question

Submit a bulk request

Questions about this Product?