Comparison

Anti-SFRP4 Antibody Picoband® European Partner

Item no. BOS-PB9888
Manufacturer Boster
Amount 100 ug/vial
Quantity options 100 ug/vial 10 ug 100 ug 100 ug 100 ug 100 ug 100 ug 100 ug 100 ug 100 ug 100 ug 100 ug 100 ug
Category
Type Antibody Polyclonal
Format Lyophilized
Applications WB, IHC, ELISA
Specific against Human (Homo sapiens)
Host Rabbit
Isotype IgG
Sensitivity <20 pg/ml
Citations 1. Entrez Gene: SFRP4 secreted frizzled-related protein 4.
2. Horvath LG, Lelliott JE, Kench JG et al. (2007). Secreted frizzled-related protein 4 inhibits proliferation and metastatic potential in prostate cancer. Prostate 67 (10): 1081–90.
ECLASS 10.1 32160702
ECLASS 11.0 32160702
UNSPSC 12352203
Alias Secreted frizzled-related protein 4,sFRP-4,Frizzled protein,human endometrium,FrpHE,SFRP4,FRPHE
Available
Manufacturer - Category
Primary Antibodies
Storage Conditions
Store at -20°C for one year from date of receipt. After reconstitution, at 4°C for one month. It can also be aliquotted and stored frozen at -20°C for six months. Avoid repeated freeze-thaw cycles.
Observed Molecular weight
49 kDa
Calculated Molecular weight
39827 MW
Clonality
Polyclonal
Application Details
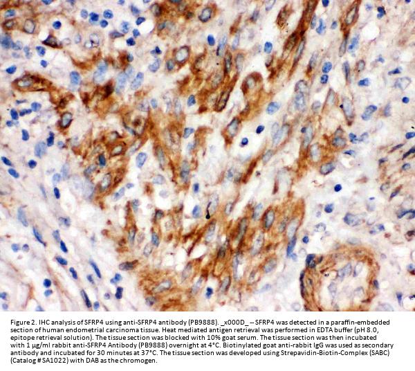
Immunohistochemistry (Paraffin-embedded Section), 0.5-1μg/ml, Human
ELISA, 0.1-0.5μg/ml, -
Western blot, 0.1-0.5μg/ml, Human
Gene Name
SFRP4
Gene Full Name
Secreted frizzled-related protein 4
Manufacturer - Specificity
No cross reactivity with other proteins.
Background
Secreted frizzled-related protein 4 (SFRP4) is a member of the SFRP family that contains a cysteine-rich domain homologous to the putative Wnt-binding site of Frizzled proteins. It is mapped to 7p14.1. The expression of SFRP4 in ventricular myocardium correlates with apoptosis related gene expression. And SFRP4 is a hub gene in a Type 2 Diabetes-associated gene coexpression module in human islets, and reduces glucose-induced insulin secretion through decreased β-cell exocytosis.
Immunogen
E. coli-derived human SFRP4 recombinant protein (Position: A22-K303). Human SFRP4 shares 96.8% and 96.1% amino acid (aa) sequence identity with mouse and rat SFRP4, respectively.
Contents
Each vial contains 5mg BSA, 0.9mg NaCl, 0.2mg Na2HPO4, 0.05mg NaN3.
Purification
Immunogen affinity purified.
Reconstitution
Add 0.2ml of distilled water will yield a concentration of 500ug/ml.
Concentration
Adding 0.2 ml of distilled water will yield a concentration of 500 μg/ml.
Manufacturer - Research Category
Secreted, Signaling Pathways, Stem Cells
Protein Name
Secreted frizzled-related protein 4
Protein Function
Soluble frizzled-related proteins (sFRPS) function as modulators of Wnt signaling through interaction with Wnts. They have a role in regulating cell growth and differentiation in specific cell types. SFRP4 may act as a regulator of adult uterine morphology and function. Increases apoptosis during ovulation possibly through modulation of FZ1/FZ4/WNT4 signaling (By similarity). Has phosphaturic effects by specifically inhibiting sodium-dependent phosphate uptake.
Subcellular Localization
Secreted. Cytoplasmic in ovarian tumor cells.
Description
Boster Bio Anti-SFRP4 Antibody Picoband® catalog # PB9888. Tested in ELISA, IHC, WB applications. This antibody reacts with Human. The brand Picoband indicates this is a premium antibody that guarantees superior quality, high affinity, and strong signals with minimal background in Western blot applications. Only our best-performing antibodies are designated as Picoband, ensuring unmatched performance.
Tissue Specificity
Expressed in mesenchymal cells. Highly expressed in the stroma of proliferative endometrium. Expressed in cardiomyocytes. Shows moderate to strong expression in ovarian tumors with expression increasing as the tumor stage increases. In ovarian tumors, expression levels are inversely correlated with expression of CTNNB1 (at protein level).
Manufacturer - Cross Reactivity
No cross-reactivity with other proteins.

Note: The presented information and documents (Manual, Product Datasheet, Safety Datasheet and Certificate of Analysis) correspond to our latest update and should serve for orientational purpose only. We do not guarantee the topicality. We would kindly ask you to make a request for specific requirements, if necessary.

All products are intended for research use only (RUO). Not for human, veterinary or therapeutic use.

Amount: 100 ug/vial
Available: In stock
available

Compare

Add to wishlist

Get an offer

Request delivery time

Ask a technical question

Submit a bulk request

Questions about this Product?