Comparison

Anti-EPO Receptor/EPOR Antibody Picoband® European Partner

Item no. BOS-A00427-1
Manufacturer Boster
Amount 100 ug/vial
Quantity options 100 ug/vial 10 ug 100 ug 100 ug 100 ug 100 ug 100 ug 100 ug 100 ug 100 ug 100 ug 100 ug
Category
Type Antibody Polyclonal
Format Lyophilized
Applications WB, ELISA
Specific against Human (Homo sapiens), Mouse (Murine, Mus musculus), Rat (Rattus norvegicus)
Host Rabbit
Isotype IgG
Citations 1. Akashi, K., Traver, D., Miyamoto, T., Weissman, I. L. A clonogenic common myeloid progenitor that gives rise to all myeloid lineages. Nature 404: 193-197, 2000.
2. Becker, V., Schilling, M., Bachmann, J., Baumann, U., Raue, A., Maiwald, T., Timmer, J., Klingmuller, U. Covering a broad dynamic range: information processing at the erythropoietin receptor. Science 328: 1404-1408, 2010.
3. Budarf, M., Huebner, K., Emanuel, B., Croce, C. M., Copeland, N. G., Jenkins, N. A., D'Andrea, A. D. Assignment of the erythropoietin receptor (EPOR) gene to mouse chromosome 9 and human chromosome 19. Genomics 8: 575-578, 1990.
4. Jones, S. S., D'Andrea, A. D., Haines, L. L., Wong, G. G. Human erythropoietin receptor: cloning, expression, and biologic characterization. Blood 76: 31-35, 1990.
ECLASS 10.1 32160702
ECLASS 11.0 32160702
UNSPSC 12352203
Alias Erythropoietin receptor,EPO-R,EPOR
Available
Manufacturer - Category
Primary Antibodies
Storage Conditions
Store at -20°C for one year from date of receipt. After reconstitution, at 4°C for one month. It can also be aliquotted and stored frozen at -20°C for six months. Avoid repeated freeze-thaw cycles.
Observed Molecular weight
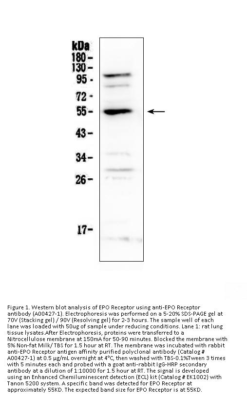
55 kDa
Clonality
Polyclonal
Application Details
Western blot, 0.1-0.5μg/ml
ELISA, 0.1-0.5μg/ml
Gene Name
EPOR
Gene Full Name
erythropoietin receptor
Manufacturer - Specificity
No cross reactivity with other proteins.
Background
The erythropoietin receptor (EpoR) is a protein that in humans is encoded by the EPOR gene. This gene encodes the erythropoietin receptor which is a member of the cytokine receptor family. Upon erythropoietin binding, this receptor activates Jak2 tyrosine kinase which activates different intracellular pathways including: Ras/MAP kinase, phosphatidylinositol 3-kinase and STAT transcription factors. The stimulated erythropoietin receptor appears to have a role in erythroid cell survival. Defects in the erythropoietin receptor may produce erythroleukemia and familial erythrocytosis. Dysregulation of this gene may affect the growth of certain tumors. Alternate splicing results in multiple transcript variants.
Immunogen
E. coli-derived human EPO Receptor recombinant protein (Position: E48-E226).
Contents
Each vial contains 4mg Trehalose, 0.9mg NaCl, 0.2mg Na2HPO4, 0.05mg NaN3.
Reconstitution
Add 0.2ml of distilled water will yield a concentration of 500ug/ml.
Concentration
Adding 0.2 ml of distilled water will yield a concentration of 500 μg/ml.
Manufacturer - Research Category
Apoptosis, Cancer, Cell Death, Cytokines, Growth Factors, Growth Factors/Hormones, Immunology, Innate Immunity, Invasion/Microenvironment, Receptors, Signal Transduction, TNF Superfamily
Protein Function
Receptor for erythropoietin. Mediates erythropoietin- induced erythroblast proliferation and differentiation. Upon EPO stimulation, EPOR dimerizes triggering the JAK2/STAT5 signaling cascade. In some cell types, can also activate STAT1 and STAT3. May also activate the LYN tyrosine kinase.
Subcellular Localization
Cell membrane; Single-pass type I membrane protein.
Description
Boster Bio Anti-EPO Receptor/EPOR Antibody Picoband® catalog # A00427-1. Tested in ELISA, WB applications. This antibody reacts with Human, Mouse, Rat. The brand Picoband indicates this is a premium antibody that guarantees superior quality, high affinity, and strong signals with minimal background in Western blot applications. Only our best-performing antibodies are designated as Picoband, ensuring unmatched performance.
Tissue Specificity
Erythroid cells and erythroid progenitor cells. Isoform EPOR-F is the most abundant form in EPO-dependent erythroleukemia cells and in late-stage erythroid progenitors. Isoform EPOR-S and isoform EPOR-T are the predominant forms in bone marrow. Isoform EPOR-T is the most abundant from in early- stage erythroid progenitor cells.
Manufacturer - Cross Reactivity
No cross-reactivity with other proteins.

Note: The presented information and documents (Manual, Product Datasheet, Safety Datasheet and Certificate of Analysis) correspond to our latest update and should serve for orientational purpose only. We do not guarantee the topicality. We would kindly ask you to make a request for specific requirements, if necessary.

All products are intended for research use only (RUO). Not for human, veterinary or therapeutic use.

Amount: 100 ug/vial
Available: In stock
available

Compare

Add to wishlist

Get an offer

Request delivery time

Ask a technical question

Submit a bulk request

Questions about this Product?