Comparison

Anti-PPID Antibody Picoband® European Partner

Item no. BOS-A02424
Manufacturer Boster
Amount 100 ug/vial
Quantity options 100 ug/vial 10 ug 100 ug/vial 100 ug/vial 100 ug/vial 100 ug 100 ug 100 ug 100 ug/vial 100 ug/vial 100 ug/vial 100 ug/vial 100 ug
Category
Type Antibody Polyclonal
Format Lyophilized
Applications WB, FC, IF, IHC, ICC, ELISA
Specific against Human (Homo sapiens), Mouse (Murine, Mus musculus), Rat (Rattus norvegicus)
Host Rabbit
Isotype IgG
Citations 1. Kieffer, L. J., Thalhammer, T., Handschumacher, R. E.Isolation and characterization of a 40-kDa cyclophilin-related protein.J. Biol. Chem. 267: 5503-5507, 1992.
2. Ratajczak, T., Woollatt, E., Kumar, P., Ward, B. K., Minchin, R. F., Baker, E.Cyclophilin 40 (PPID) gene map position 4q31.3.Chromosome Res. 5: 151 only, 1997.
3. Yokoi, H., Shimizu, Y., Anazawa, H., Lefebvre, C. A., Korneluk, R. G., Ikeda, J.-E.The structure and complete nucleotide sequence of the human cyclophilin 40 (PPID) gene.Genomics 35: 448-455, 1996.
ECLASS 10.1 32160702
ECLASS 11.0 32160702
UNSPSC 12352203
Alias Peptidyl-prolyl cis-trans isomerase D,PPIase D
Available
Manufacturer - Category
Primary Antibodies
Storage Conditions
Store at -20°C for one year from date of receipt. After reconstitution, at 4°C for one month. It can also be aliquotted and stored frozen at -20°C for six months. Avoid repeated freeze-thaw cycles.
Observed Molecular weight
38 kDa
Calculated Molecular weight
38779 MW
Clonality
Polyclonal
Application Details
Western blot, 0.1-0.5μg/ml
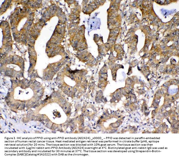
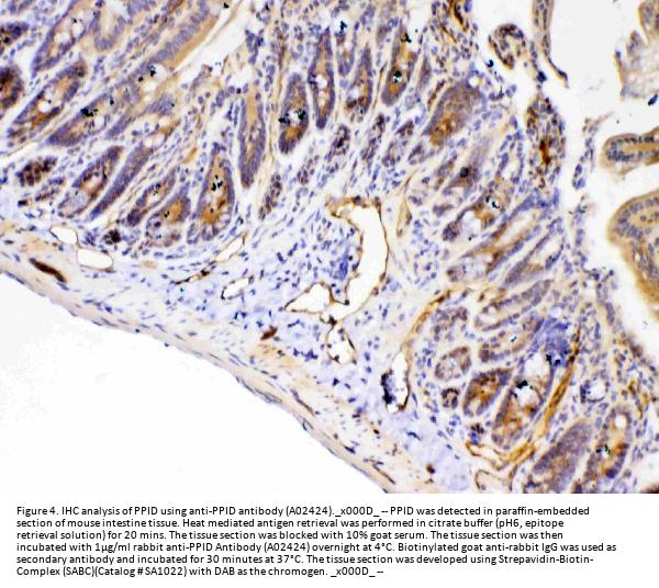
Immunohistochemistry (Paraffin-embedded Section), 0.5-1μg/ml
Immunocytochemistry/Immunofluorescence, 5μg/ml
Flow Cytometry (Fixed), 1-3μg/1x106 cells
ELISA, 0.1-0.5μg/ml
Gene Name
PPID
Gene Full Name
peptidylprolyl isomerase D
Manufacturer - Specificity
No cross reactivity with other proteins.
Background
Cyclophilin D, Peptidylprolyl isomerase D, also known as PPID, is an enzyme which in humans is encoded by the PPID gene. The protein encoded by this gene is a member of the peptidyl-prolyl cis-trans isomerase (PPIase) family. The Cyclophilin D (PPID) gene contains 10 exons and spans 14.2 kb of genomic DNA. By fluorescence in situ hybridization, the PPID gene is mapped to chromosome 4q31.3. PPIases catalyze the cis-trans isomerization of proline imidic peptide bonds in oligopeptides and accelerate the folding of proteins. This protein has been shown to possess PPIase activity and, similar to other family members, can bind to the immunosuppressant ciclosporin.
Immunogen
E. coli-derived human PPID recombinant protein (Position: N306-A370).
Contents
Each vial contains 4mg Trehalose, 0.9mg NaCl, 0.2mg Na2HPO4, 0.05mg NaN3.
Purification
Immunogen affinity purified.
Reconstitution
Add 0.2ml of distilled water will yield a concentration of 500ug/ml.
Concentration
Adding 0.2 ml of distilled water will yield a concentration of 500 μg/ml.
Manufacturer - Research Category
Cardiovascular, Immunology
Protein Name
BAG family molecular chaperone regulator 1
Protein Function
PPIases accelerate the folding of proteins. It catalyzes the cis-trans isomerization of proline imidic peptide bonds in oligopeptides. Proposed to act as a co-chaperone in HSP90 complexes such as in unligated steroid receptors heterocomplexes. Different co-chaperones seem to compete for association with HSP90 thus establishing distinct HSP90-co-chaperone-receptor complexes with the potential to exert tissue-specific receptor activity control. May have a preference for estrogen receptor complexes and is not found in glucocorticoid receptor complexes. May be involved in cytoplasmic dynein-dependent movement of the receptor from the cytoplasm to the nucleus. May regulate MYB by inhibiting its DNA- binding activity. Involved in regulation of AHR signaling by promoting the formation of the AHR:ARNT dimer; the function is independent of HSP90 but requires the chaperone activity. Involved in regulation of UV radiation-induced apoptosis. Promotes cell viability in anaplastic lymphoma kinase-positive anaplastic large- cell lymphoma (ALK+ ALCL) cell lines. May be involved in hepatitis C virus (HCV) replication and release.
Subcellular Localization
Cytoplasm.
Description
Boster Bio Anti-PPID Antibody Picoband® catalog # A02424. Tested in ELISA, Flow Cytometry, IF, IHC, ICC, WB applications. This antibody reacts with Human, Mouse, Rat. The brand Picoband indicates this is a premium antibody that guarantees superior quality, high affinity, and strong signals with minimal background in Western blot applications. Only our best-performing antibodies are designated as Picoband, ensuring unmatched performance.
Tissue Specificity
Widely expressed.
Manufacturer - Cross Reactivity
No cross-reactivity with other proteins.

Note: The presented information and documents (Manual, Product Datasheet, Safety Datasheet and Certificate of Analysis) correspond to our latest update and should serve for orientational purpose only. We do not guarantee the topicality. We would kindly ask you to make a request for specific requirements, if necessary.

All products are intended for research use only (RUO). Not for human, veterinary or therapeutic use.

Amount: 100 ug/vial
Available: In stock
available

Compare

Add to wishlist

Get an offer

Request delivery time

Ask a technical question

Submit a bulk request

Questions about this Product?