Comparison

Anti-PDGF Receptor alpha/PDGFRA Antibody Picoband® European Partner

Item no. BOS-PB9771
Manufacturer Boster
Amount 100 ug/vial
Quantity options 100 ug/vial 10 ug 100 ug 100 ug 100 ug 100 ug 100 ug 100 ug 100 ug 100 ug 100 ug 100 ug 100 ug
Category
Type Antibody Polyclonal
Format Lyophilized
Applications WB, IHC
Specific against Human (Homo sapiens), Mouse (Murine, Mus musculus), Rat (Rattus norvegicus)
Host Rabbit
Isotype IgG
Sensitivity >5000 cells
Citations 1. Baxter, E. J., Hochhaus, A., Bolufer, P., Reiter, A., Fernandez, J. M., Senent, L., Cervera, J., Moscardo, F., Sanz, M. A., Cross, N. C. P. The t(4;22)(q12;q11) in atypical chronic myeloid leukaemia fuses BCR to PDGFRA. Hum. Molec. Genet. 11: 1391-1397, 2002.
2. Chen, H., Gu, X., Liu, Y., Wang, J., Wirt, S. E., Bottino, R., Schorle, H., Sage, J., Kim, S, K. PDGF signalling controls age-dependent proliferation in pancreatic beta-cells. Nature 478: 349-355, 2011.
3. Chompret, A., Kannengiesser, C., Barrois, M., Terrier, P., Dahan, P., Tursz, T., Lenoir, G. M., Bressac-De Paillerets, B. PDGFRA germline mutation in a family with multiple cases of gastrointestinal stromal tumor. Gastroenterology 126: 318-321, 2004.
ECLASS 10.1 32160702
ECLASS 11.0 32160702
UNSPSC 12352203
Alias Platelet-derived growth factor receptor alpha,PDGF-R-alpha,PDGFR-alpha,2.7.10.1,Alpha platelet-derived growth factor receptor,Alpha-type platelet-derived growth factor receptor,CD140 antigen-like family member A,CD140a antigen,Platelet-derived growth factor alpha receptor,Platelet-derived growth factor receptor 2,PDGFR-2,CD140a,PDGFRA,PDGFR2,RHEPDGFRA
Available
Manufacturer - Category
Primary Antibodies
Storage Conditions
Store at -20°C for one year from date of receipt. After reconstitution, at 4°C for one month. It can also be aliquotted and stored frozen at -20°C for six months. Avoid repeated freeze-thaw cycles.
Observed Molecular weight
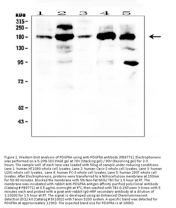
123 kDa
Calculated Molecular weight
122670 MW
Clonality
Polyclonal
Application Details
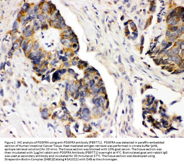
Immunohistochemistry (Paraffin-embedded Section), 0.5-1μg/ml, Human
Western blot, 0.1-0.5μg/ml, Human, Mouse, Rat
Gene Name
PDGFRA
Gene Full Name
Platelet-derived growth factor receptor alpha
Manufacturer - Specificity
No cross reactivity with other proteins.
Background
PDGFRA (Platelet-derived growth factor receptor, alpha), also called PDGFR2, encodes a cell surface tyrosine kinase receptor for members of the platelet-derived growth factor family. The PDGFA gene is mapped on 4q12. The PDGFRA-FIP1L1 gene is a constitutively activated tyrosine kinase that transforms hematopoietic cells and is a therapeutic target of imatinib. And the PDGFRA gene contains 23 exons spanning about 65 kb. Using the human PDGFRA promoter linked to a luciferase reporter, Joosten et al. showed that PAX1 acts as a transcriptional activator of the PDGFRA gene in differentiated human embryonal carcinoma cells. PDGFRA is responsible for mediating cellular contraction of multiple growth factors: TGFB1 and members of the PDGF family. Lei et al. noted that in the rabbit model of the disease, PDGFRA is dramatically more capable of promoting PVR than is the closely related PDGFRB. PDGFRA is a critical receptor required for human CMV infection, and thus a target for novel antiviral therapies.
Immunogen
A synthetic peptide corresponding to a sequence at the C-terminus of human PDGFRA, identical to the related mouse sequence, and different from the related rat sequence by one amino acid.
Contents
Each vial contains 5mg BSA, 0.9mg NaCl, 0.2mg Na2HPO4, 0.05mg NaN3.
Purification
Immunogen affinity purified.
Reconstitution
Add 0.2ml of distilled water will yield a concentration of 500ug/ml.
Concentration
Adding 0.2 ml of distilled water will yield a concentration of 500 μg/ml.
Manufacturer - Research Category
Angiogenesis, Atherosclerosis, Cancer, Cardiovascular, Growth Factors, Growth Factors/Hormones, Oncoproteins, Oncoproteins/Suppressors, Protein Phosphorylation, Receptor Tyrosine Kinases, Signal Transduction, Tyrosine Kinases, Vascular Inflammation
Protein Name
Platelet-derived growth factor receptor alpha
Protein Function
Tyrosine-protein kinase that acts as a cell-surface receptor for PDGFA, PDGFB and PDGFC and plays an essential role in the regulation of embryonic development, cell proliferation, survival and chemotaxis. Depending on the context, promotes or inhibits cell proliferation and cell migration. Plays an important role in the differentiation of bone marrow-derived mesenchymal stem cells. Required for normal skeleton development and cephalic closure during embryonic development. Required for normal development of the mucosa lining the gastrointestinal tract, and for recruitment of mesenchymal cells and normal development of intestinal villi. Plays a role in cell migration and chemotaxis in wound healing. Plays a role in platelet activation, secretion of agonists from platelet granules, and in thrombin-induced platelet aggregation. Binding of its cognate ligands - homodimeric PDGFA, homodimeric PDGFB, heterodimers formed by PDGFA and PDGFB or homodimeric PDGFC -leads to the activation of several signaling cascades; the response depends on the nature of the bound ligand and is modulated by the formation of heterodimers between PDGFRA and PDGFRB. Phosphorylates PIK3R1, PLCG1, and PTPN11. Activation of PLCG1 leads to the production of the cellular signaling molecules diacylglycerol and inositol 1, 4, 5-trisphosphate, mobilization of cytosolic Ca (2+) and the activation of protein kinase C. Phosphorylates PIK3R1, the regulatory subunit of phosphatidylinositol 3-kinase, and thereby mediates activation of the AKT1 signaling pathway. Mediates activation of HRAS and of the MAP kinases MAPK1/ERK2 and/or MAPK3/ERK1. Promotes activation of STAT family members STAT1, STAT3 and STAT5A and/or STAT5B. Receptor signaling is down-regulated by protein phosphatases that dephosphorylate the receptor and its down-stream effectors, and by rapid internalization of the activated receptor.
Subcellular Localization
Cell membrane; Single- pass type I membrane protein. The activated receptor is rapidly internalized and degraded.
Description
Boster Bio Anti-PDGF Receptor alpha/PDGFRA Antibody Picoband® catalog # PB9771. Tested in IHC, WB applications. This antibody reacts with Human, Mouse, Rat. The brand Picoband indicates this is a premium antibody that guarantees superior quality, high affinity, and strong signals with minimal background in Western blot applications. Only our best-performing antibodies are designated as Picoband, ensuring unmatched performance.
Tissue Specificity
Detected in platelets (at protein level). Widely expressed. Detected in brain, fibroblasts, smooth muscle, heart, and embryo. Expressed in primary and metastatic colon tumors and in normal colon tissue.
Manufacturer - Alias
Platelet-derived growth factor receptor alpha, PDGF-R-alpha, PDGFR-alpha, 2.7.10.1, Alpha platelet-derived growth factor receptor, Alpha-type platelet-derived growth factor receptor, CD140 antigen-like family member A, CD140a antigen, Platelet-derived growth factor alpha receptor, Platelet-derived growth factor receptor 2, PDGFR-2, CD140a, PDGFRA, PDGFR2, RHEPDGFRA
Manufacturer - Cross Reactivity
No cross-reactivity with other proteins.

Note: The presented information and documents (Manual, Product Datasheet, Safety Datasheet and Certificate of Analysis) correspond to our latest update and should serve for orientational purpose only. We do not guarantee the topicality. We would kindly ask you to make a request for specific requirements, if necessary.

All products are intended for research use only (RUO). Not for human, veterinary or therapeutic use.

Amount: 100 ug/vial
Available: In stock
available

Compare

Add to wishlist

Get an offer

Request delivery time

Ask a technical question

Submit a bulk request

Questions about this Product?