Comparison

Anti-Atg7 (Apg7) Monoclonal Antibody European Partner

Item no. BOS-M00346-1
Manufacturer Boster
Amount 100 ul
Quantity options 100 ul 30 ul
Category
Type Antibody Monoclonal
Format Liquid
Applications WB, IF, ICC
Clone ACHA-1
Specific against Human (Homo sapiens), Mouse (Murine, Mus musculus), Rat (Rattus norvegicus)
Host Rabbit
Isotype IgG
Sensitivity <10 pg/ml
ECLASS 10.1 42030590
ECLASS 11.0 42030590
UNSPSC 12352203
Alias Ubiquitin-like modifier-activating enzyme ATG7,ATG12-activating enzyme E1 ATG7,Autophagy-related protein 7,APG7-like,hAGP7,Ubiquitin-activating enzyme E1-like protein,ATG7,APG7L
Available
Manufacturer - Category
Primary Antibodies, Rabbit Monoclonal Antibodies
Storage Conditions
Store at -20°C for one year. For short term storage and frequent use, store at 4°C for up to one month. Avoid repeated freeze-thaw cycles.
Observed Molecular weight
35 kDa
Calculated Molecular weight
77960 MW
Clonality
Monoclonal
Application Details
WB 1:500-2000
ICC/IF 1:50-200
Gene Name
ATG7
Gene Full Name
Ubiquitin-like modifier-activating enzyme ATG7
Immunogen
A synthesized peptide derived from human Atg7 (Apg7) Formation of the autophagosome involves a ubiquitin-like conjugation system in which Atg12 is covalently bound to Atg5 and targeted to autophagosome vesicles. This conjugation reaction is mediated by the ubiquitin E1-like enzyme Atg7 and the E2-like enzyme Atg10.
Contents
Rabbit IgG in phosphate buffered saline, pH 7.4, 150mM NaCl, 0.02% sodium azide and 50% glycerol, 0.4-0.5mg/ml BSA.
Purification
Affinity-chromatography
Reconstitution
Restore with deionized water (or equivalent) for reconstitution volume of 1.0 mL
Concentration
0.5mg/ml
Manufacturer - Research Category
Metabolic Signaling Pathways, Metabolism, Pathways and Processes, Signal Transduction, Apoptosis, Associated Proteins, Cancer, Cell Biology, Intracellular, Cardiovascular, Cell Death, Metabolism Processes, Energy Metabolism, Energy Transfer Pathways, Proteasome / Ubiquitin, Proteolysis/Ubiquitin, Ub-Like Proteins, Mitochondrial Metabolism
Protein Name
T-cell surface glycoprotein CD4
Protein Function
E1-like activating enzyme involved in the 2 ubiquitin- like systems required for cytoplasm to vacuole transport (Cvt) and autophagy. Activates ATG12 for its conjugation with ATG5 as well as the ATG8 family proteins for their conjugation with phosphatidylethanolamine. Both systems are needed for the ATG8 association to Cvt vesicles and autophagosomes membranes. Required for autophagic death induced by caspase-8 inhibition. Required for mitophagy which contributes to regulate mitochondrial quantity and quality by eliminating the mitochondria to a basal level to fulfill cellular energy requirements and preventing excess ROS production. Modulates p53/TP53 activity to regulate cell cycle and survival during metabolic stress. Plays also a key role in the maintenance of axonal homeostasis, the prevention of axonal degeneration, the maintenance of hematopoietic stem cells, the formation of Paneth cell granules, as well as in adipose differentiation.
Subcellular Localization
Cytoplasm. Preautophagosomal structure. Localizes also to discrete punctae along the ciliary axoneme and to the base of the ciliary axoneme.
Description
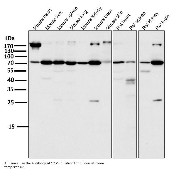
Boster Bio Anti-Atg7 (Apg7) Monoclonal Antibody catalog # M00346-1. Tested in WB, ICC/IF applications. This antibody reacts with Human, Mouse, Rat.
Tissue Specificity
Widely expressed, especially in kidney, liver, lymph nodes and bone marrow.

Note: The presented information and documents (Manual, Product Datasheet, Safety Datasheet and Certificate of Analysis) correspond to our latest update and should serve for orientational purpose only. We do not guarantee the topicality. We would kindly ask you to make a request for specific requirements, if necessary.

All products are intended for research use only (RUO). Not for human, veterinary or therapeutic use.

Amount: 100 ul
Available: In stock
available

Compare

Add to wishlist

Get an offer

Request delivery time

Ask a technical question

Submit a bulk request

Questions about this Product?