Comparison

Anti-Islet 1 Rabbit Monoclonal Antibody European Partner

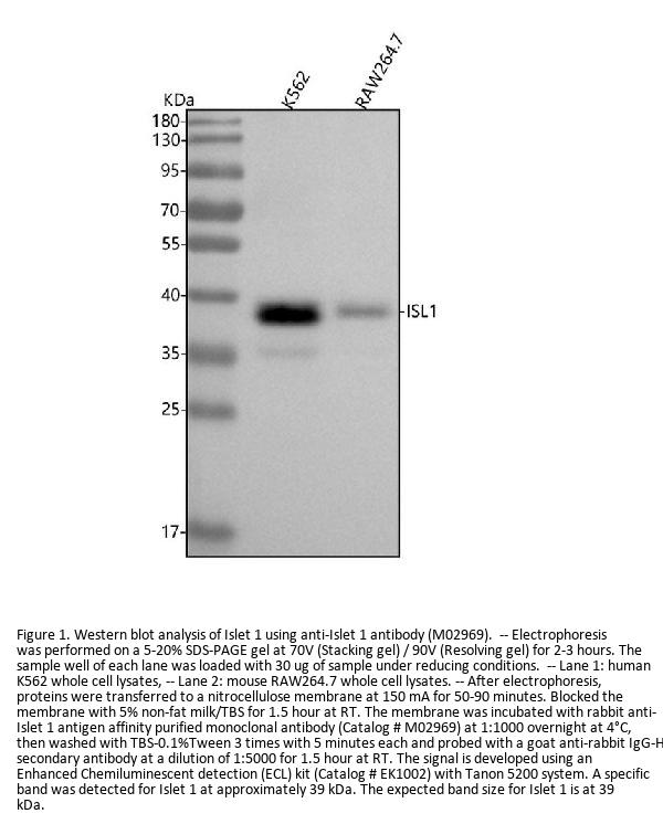
Item no. BOS-M02969
Manufacturer Boster
Amount 100 ul
Quantity options 100 ul 30 ul
Category
Type Antibody Monoclonal
Format Liquid
Applications WB, IF, IP, IHC, ICC
Clone EHO-9
Specific against Human (Homo sapiens), Mouse (Murine, Mus musculus), Rat (Rattus norvegicus)
Host Rabbit
Isotype IgG
Sensitivity <10 pg/ml
ECLASS 10.1 42030590
ECLASS 11.0 42030590
UNSPSC 12352203
Alias Insulin gene enhancer protein ISL-1,Islet-1,ISL1
Available
Manufacturer - Category
Primary Antibodies, Rabbit Monoclonal Antibodies
Storage Conditions
Store at -20°C for one year. For short term storage and frequent use, store at 4°C for up to one month. Avoid repeated freeze-thaw cycles.
Observed Molecular weight
39 kDa
Calculated Molecular weight
39036 MW
Clonality
Monoclonal
Application Details
WB 1:500-2000
IHC 1:50-200
ICC/IF 1:50-200
IP 1:20
Gene Name
ISL1
Gene Full Name
Insulin gene enhancer protein ISL-1
Immunogen
A synthesized peptide derived from human Islet 1
Contents
Rabbit IgG in phosphate buffered saline, pH 7.4, 150mM NaCl, 0.02% sodium azide and 50% glycerol, 0.4-0.5mg/ml BSA.
Purification
Affinity-chromatography
Reconstitution
Restore with deionized water (or equivalent) for reconstitution volume of 1.0 mL
Concentration
0.5mg/ml
Manufacturer - Research Category
Atherosclerosis, Cardiogenesis, Cardiovascular, Cell Type Marker, Developmental Biology, Diabetes-associated, Intracellular, Lineage Markers, Lineage Specification, Neural Stem Cells, Neurogenesis, Neurology Process, Neuron Marker, Neuroscience, Organogenesis, Stem Cells, Transcription Factors/Regulators
Protein Name
T-cell surface glycoprotein CD3 zeta chain
Protein Function
Binds and regulates the promoters of the insulin, glucagon and somatostatin genes. Involved in the specificarion of motor neurons in cooperation with LHX3 and LDB1 (By similarity).
Subcellular Localization
Nucleus.
Description
Boster Bio Anti-Islet 1 Rabbit Monoclonal Antibody catalog # M02969. Tested in WB, IHC, ICC/IF, IP applications. This antibody reacts with Human, Mouse, Rat.
Tissue Specificity
Expressed in subsets of neurons of the adrenal medulla and dorsal root ganglion, inner nuclear and ganglion cell layers in the retina, the pineal and some regions of the brain.

Note: The presented information and documents (Manual, Product Datasheet, Safety Datasheet and Certificate of Analysis) correspond to our latest update and should serve for orientational purpose only. We do not guarantee the topicality. We would kindly ask you to make a request for specific requirements, if necessary.

All products are intended for research use only (RUO). Not for human, veterinary or therapeutic use.

Amount: 100 ul
Available: In stock
available

Compare

Add to wishlist

Get an offer

Request delivery time

Ask a technical question

Submit a bulk request

Questions about this Product?