Comparison

Anti-SMN1/2 Antibody Picoband® (monoclonal, 2B10) European Partner

Item no. BOS-M03420-1
Manufacturer Boster
Amount 100 ug/vial
Quantity options 100 ug/vial 10 ug 100 ug 100 ug 100 ug 100 ug 100 ug 100 ug 100 ug 100 ug 100 ug 100 ug
Category
Type Antibody Monoclonal
Format Lyophilized
Applications WB, IHC, ICC
Clone 2B10
Specific against Human (Homo sapiens), Mouse (Murine, Mus musculus), Rat (Rattus norvegicus)
Host Mouse
Isotype IgG1
Sensitivity <5 pg/ml
Citations 1. Blauw, H. M., Barnes, C. P., van Vught, P. W. J., van Rheenen, W., Verheul, M., Cuppen, E., Veldink, J. H., van den Berg, L. H. SMN1 gene duplications are associated with sporadic ALS. Neurology 78: 776-780, 2012.
2. Boda, B., Mas, C., Giudicelli, C., Nepote, V., Guimiot, F., Levacher, B., Zvara, A., Santha, M., LeGall, I., Simonneau, M. Survival motor neuron SMN1 and SMN2 gene promoters: identical sequences and differential expression in neurons and non-neuronal cells. Europ. J. Hum. Genet. 12: 729-737, 2004.
ECLASS 10.1 42030590
ECLASS 11.0 42030590
UNSPSC 12352203
Alias Survival motor neuron protein,Component of gems 1,Gemin-1,SMN1,SMN,SMNT,SMN2,SMNC
Available
Manufacturer - Category
Primary Antibodies
Storage Conditions
Store at -20°C for one year from date of receipt. After reconstitution, at 4°C for one month. It can also be aliquotted and stored frozen at -20°C for six months. Avoid repeated freeze-thaw cycles.
Observed Molecular weight
39 kDa
Calculated Molecular weight
32 kDa
Clonality
Monoclonal
Application Details
Western blot, 0.1-0.5μg/ml
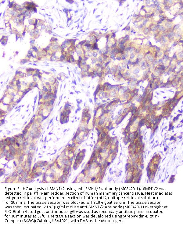
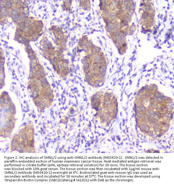
Immunohistochemistry (Paraffin-embedded Section), 0.5-1μg/ml
Immunocytochemistry, 0.5-1μg/ml
Gene Name
SMN1
Gene Full Name
survival of motor neuron 1, telomeric/survival of motor neuron 2, centromeric
Manufacturer - Specificity
No cross reactivity with other proteins.
Background
This gene is part of a 500 kb inverted duplication on chromosome 5q13. This duplicated region contains at least four genes and repetitive elements which make it prone to rearrangements and deletions. The repetitiveness and complexity of the sequence have also caused difficulty in determining the organization of this genomic region. The telomeric and centromeric copies of this gene are nearly identical and encode the same protein. However, mutations in this gene, the telomeric copy, are associated with spinal muscular atrophy; mutations in the centromeric copy do not lead to disease. The centromeric copy may be a modifier of disease caused by mutation in the telomeric copy. The critical sequence difference between the two genes is a single nucleotide in exon 7, which is thought to be an exon splice enhancer. Note that the nine exons of both the telomeric and centromeric copies are designated historically as exon 1, 2a, 2b, and 3-8. It is thought that gene conversion events may involve the two genes, leading to varying copy numbers of each gene. The protein encoded by this gene localizes to both the cytoplasm and the nucleus. Within the nucleus, the protein localizes to subnuclear bodies called gems which are found near coiled bodies containing high concentrations of small ribonucleoproteins (snRNPs). This protein forms heteromeric complexes with proteins such as SIP1 and GEMIN4, and also interacts with several proteins known to be involved in the biogenesis of snRNPs, such as hnRNP U protein and the small nucleolar RNA binding protein. Multiple transcript variants encoding distinct isoforms have been described.
Immunogen
A synthetic peptide corresponding to a sequence at the N-terminus of human SMN1/2, identical to the related mouse and rat sequences.
Contents
Each vial contains 4mg Trehalose, 0.9mg NaCl, 0.2mg Na2HPO4, 0.05mg NaN3.
Purification
Immunogen affinity purified.
Reconstitution
Add 0.2ml of distilled water will yield a concentration of 500ug/ml.
Concentration
Adding 0.2 ml of distilled water will yield a concentration of 500 μg/ml.
Manufacturer - Research Category
DNA/RNA, Epigenetics and Nuclear Signaling, Neural Signal Transduction, Neurology Process, Neuroscience, RNA Processing, Splicing
Protein Name
High mobility group protein B3
Protein Function
The SMN complex plays a catalyst role in the assembly of small nuclear ribonucleoproteins (snRNPs), the building blocks of the spliceosome. Thereby, plays an important role in the splicing of cellular pre-mRNAs. Most spliceosomal snRNPs contain a common set of Sm proteins SNRPB, SNRPD1, SNRPD2, SNRPD3, SNRPE, SNRPF and SNRPG that assemble in a heptameric protein ring on the Sm site of the small nuclear RNA to form the core snRNP. In the cytosol, the Sm proteins SNRPD1, SNRPD2, SNRPE, SNRPF and SNRPG are trapped in an inactive 6S pICln-Sm complex by the chaperone CLNS1A that controls the assembly of the core snRNP. Dissociation by the SMN complex of CLNS1A from the trapped Sm proteins and their transfer to an SMN-Sm complex triggers the assembly of core snRNPs and their transport to the nucleus. Ensures the correct splicing of U12 intron-containing genes that may be important for normal motor and proprioceptive neurons development. Also required for resolving RNA-DNA hybrids created by RNA polymerase II, that form R-loop in transcription terminal regions, an important step in proper transcription termination. May also play a role in the metabolism of small nucleolar ribonucleoprotein (snoRNPs).
Subcellular Localization
Nucleus, gem
Description
Boster Bio Anti-SMN1/2 Antibody Picoband® (monoclonal, 2B10) catalog # M03420-1. Tested in IHC, ICC, WB applications. This antibody reacts with Human, Mouse, Rat. The brand Picoband indicates this is a premium antibody that guarantees superior quality, high affinity, and strong signals with minimal background in Western blot applications. Only our best-performing antibodies are designated as Picoband, ensuring unmatched performance.
Tissue Specificity
Expressed in a wide variety of tissues. Expressed at high levels in brain, kidney and liver, moderate levels in skeletal and cardiac muscle, and low levels in fibroblasts and lymphocytes. Also seen at high levels in spinal cord. Present in osteoclasts and mononuclear cells (at protein level).
Manufacturer - Cross Reactivity
No cross-reactivity with other proteins.

Note: The presented information and documents (Manual, Product Datasheet, Safety Datasheet and Certificate of Analysis) correspond to our latest update and should serve for orientational purpose only. We do not guarantee the topicality. We would kindly ask you to make a request for specific requirements, if necessary.

All products are intended for research use only (RUO). Not for human, veterinary or therapeutic use.

Amount: 100 ug/vial
Available: In stock
available

Compare

Add to wishlist

Get an offer

Request delivery time

Ask a technical question

Submit a bulk request

Questions about this Product?