Comparison

Anti-Thymidylate Synthase TYMS Monoclonal Antibody European Partner

Item no. BOS-M04320-1
Manufacturer Boster
Amount 100 ul
Quantity options 100 ul 30 ul
Category
Type Antibody Monoclonal
Format Liquid
Applications WB, FC, IF, IP, IHC, ICC
Clone ADAA-20
Specific against Human (Homo sapiens), Mouse (Murine, Mus musculus), Rat (Rattus norvegicus), Monkey (Cynomolgus, Simian)
Host Rabbit
Isotype IgG
Sensitivity <10 pg/ml
ECLASS 10.1 42030590
ECLASS 11.0 42030590
UNSPSC 12352203
Alias Keratin,type I cytoskeletal 13,Cytokeratin-13,CK-13,Keratin-13,K13,KRT13
Available
Manufacturer - Category
Primary Antibodies, Rabbit Monoclonal Antibodies
Storage Conditions
Store at -20°C for one year. For short term storage and frequent use, store at 4°C for up to one month. Avoid repeated freeze-thaw cycles.
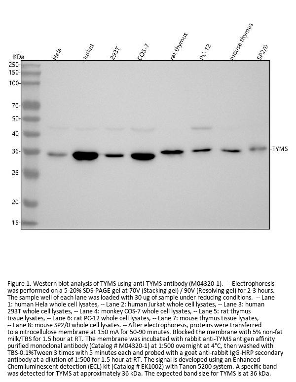
Observed Molecular weight
36 kDa
Calculated Molecular weight
49588 MW
Clonality
Monoclonal
Application Details
WB 1:500-2000
IHC 1:50-200
ICC/IF 1:50-200
IP 1:20
FC 1:20
Gene Name
TYMS
Gene Full Name
Keratin, type I cytoskeletal 13
Immunogen
A synthesized peptide derived from human Thymidylate Synthase Contributes to the de novo mitochondrial thymidylate biosynthesis pathway.
Contents
Rabbit IgG in phosphate buffered saline, pH 7.4, 150mM NaCl, 0.02% sodium azide and 50% glycerol, 0.4-0.5mg/ml BSA.
Purification
Affinity-chromatography
Reconstitution
Restore with deionized water (or equivalent) for reconstitution volume of 1.0 mL
Concentration
0.5mg/ml
Manufacturer - Research Category
DNA/RNA, DNA Synthesis, Epigenetics and Nuclear Signaling, Metabolic Signaling Pathways, Metabolism, Nucleotide Metabolism, Pathways and Processes
Protein Name
T-cell surface glycoprotein CD3 zeta chain
Protein Function
Serine/threonine-protein kinase involved in various processes such as neuronal proliferation, differentiation, migration and programmed cell death. Extracellular stimuli such as proinflammatory cytokines or physical stress stimulate the stress- activated protein kinase/c-Jun N-terminal kinase (SAP/JNK) signaling pathway. In this cascade, two dual specificity kinases MAP2K4/MKK4 and MAP2K7/MKK7 phosphorylate and activate MAPK10/JNK3. In turn, MAPK10/JNK3 phosphorylates a number of transcription factors, primarily components of AP-1 such as JUN and ATF2 and thus regulates AP-1 transcriptional activity. Plays regulatory roles in the signaling pathways during neuronal apoptosis. Phosphorylates the neuronal microtubule regulator STMN2. Acts in the regulation of the beta-amyloid precursor protein/APP signaling during neuronal differentiation by phosphorylating APP. Participates also in neurite growth in spiral ganglion neurons. Phosphorylates the CLOCK-ARNTL/BMAL1 heterodimer and plays a role in the photic regulation of the circadian clock (PubMed:22441692).
Subcellular Localization
Cytoplasm. Membrane; Lipid-anchor. Nucleus. Mitochondrion. Palmitoylation regulates MAPK10 trafficking to cytoskeleton. Recruited to the mitochondria in the presence of SARM1 (By similarity).
Description
Boster Bio Anti-Thymidylate Synthase TYMS Monoclonal Antibody catalog # M04320-1. Tested in WB, IHC, ICC/IF, IP, Flow Cytometry applications. This antibody reacts with Human, Monkey, Mouse, Rat.
Tissue Specificity
Expressed in some epidermal sweat gland ducts (at protein level) and in exocervix, esophagus and placenta.

Note: The presented information and documents (Manual, Product Datasheet, Safety Datasheet and Certificate of Analysis) correspond to our latest update and should serve for orientational purpose only. We do not guarantee the topicality. We would kindly ask you to make a request for specific requirements, if necessary.

All products are intended for research use only (RUO). Not for human, veterinary or therapeutic use.

Amount: 100 ul
Available: In stock
available

Compare

Add to wishlist

Get an offer

Request delivery time

Ask a technical question

Submit a bulk request

Questions about this Product?