Comparison

Anti-Phospho-MSK1 (S376) RPS6KA5 Monoclonal Antibody European Partner

Item no. BOS-MP04922
Manufacturer Boster
Amount 100 ul
Quantity options 100 ul 30 ul
Category
Type Antibody Monoclonal
Format Liquid
Applications WB, IF, IP, IHC, ICC
Clone FCF-18
Specific against Human (Homo sapiens), Rat (Rattus norvegicus)
Host Rabbit
Isotype IgG
Sensitivity <50 pg/ml
ECLASS 10.1 42030590
ECLASS 11.0 42030590
UNSPSC 12352203
Alias Red fluorescent protein eqFP611,GFP-like chromoprotein
Available
Manufacturer - Category
Primary Antibodies, Rabbit Monoclonal Antibodies
Storage Conditions
Store at -20°C for one year. For short term storage and frequent use, store at 4°C for up to one month. Avoid repeated freeze-thaw cycles.
Observed Molecular weight
15 kDa
Calculated Molecular weight
26053 MW
Clonality
Monoclonal
Application Details
WB 1:500-2000
IHC 1:50-200
ICC/IF 1:50-200
IP 1:20
Gene Name
RPS6KA5
Gene Full Name
Red fluorescent protein eqFP611
Immunogen
A synthesized peptide derived from human Phospho-MSK1 (S376)
Contents
Rabbit IgG in phosphate buffered saline, pH 7.4, 150mM NaCl, 0.02% sodium azide and 50% glycerol, 0.4-0.5mg/ml BSA.
Purification
Affinity-chromatography
Concentration
0.5mg/ml
Manufacturer - Research Category
Epigenetics and Nuclear Signaling, Metabolism, Pathways and Processes, Signal Transduction, Transcription, Cell Biology, Protein Phosphorylation, Ser/Thr Kinases, Tyrosine Kinases, Receptor Tyrosine Kinases, Oxidative Stress, Redox Metabolism
Protein Function
Pigment protein.
Subcellular Localization
Lateral cell membrane; Single-pass type I membrane protein. Cell junction, tight junction. Colocalizes with CLDN7 at the lateral cell membrane and tight junction.
Description
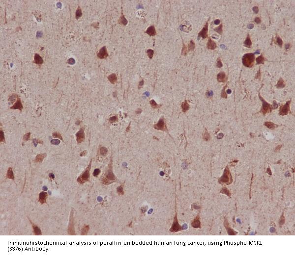
Boster Bio Anti-Phospho-MSK1 (S376) RPS6KA5 Monoclonal Antibody catalog # MP04922. Tested in WB, IHC, ICC/IF, IP applications. This antibody reacts with Human, Rat.
Tissue Specificity
Highly and selectively expressed by undifferentiated rather than differentiated embryonic stem cells (ESC). Levels rapidly diminish as soon as ESC's differentiate (at protein levels). Expressed in almost all epithelial cell membranes but not on mesodermal or neural cell membranes. Found on the surface of adenocarcinoma.
Phospho Site
S376

Note: The presented information and documents (Manual, Product Datasheet, Safety Datasheet and Certificate of Analysis) correspond to our latest update and should serve for orientational purpose only. We do not guarantee the topicality. We would kindly ask you to make a request for specific requirements, if necessary.

All products are intended for research use only (RUO). Not for human, veterinary or therapeutic use.

Amount: 100 ul
Available: In stock
available

Compare

Add to wishlist

Get an offer

Request delivery time

Ask a technical question

Submit a bulk request

Questions about this Product?