Comparison

Rabbit anti-human TRIM49 polyclonal antibody

Item no. CSB-PA080676
Manufacturer Cusabio
Amount 100ul
Category
Type Antibody Polyclonal
Format liquid
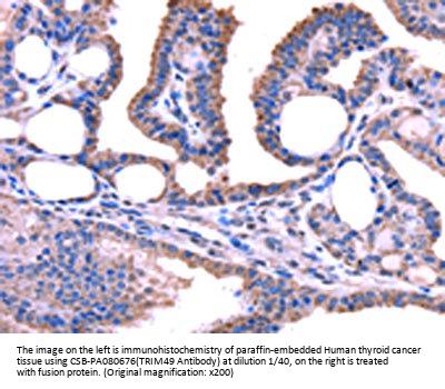
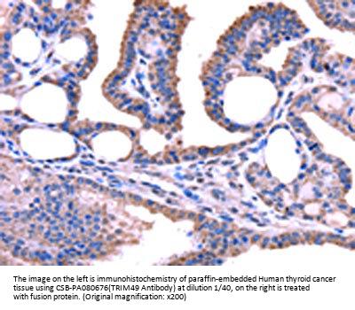
Applications IHC, ELISA
Specific against Human (Homo sapiens)
Host Rabbit
Isotype IgG
ECLASS 10.1 32160702
ECLASS 11.0 32160702
UNSPSC 12352203
Alias tripartite motif containing 49
Available
Alias
tripartite motif containing 49
Uniprot ID
P0CI25
Immunogen
Fusion protein of human TRIM49
Tested applications
ELISA: 1:2000-1:10000; IHC: 1:30-1:150
Background
The protein encoded by this gene contains a RING zinc finger, a motif known to be involved in protein-protein interactions. This gene has been found to be preferentially expressed in testis. Related pseudogenes and gene duplicates have also been identified on chromosome 11.
Conjugate
Non-conjugated
Stroage Buffer
-20C, pH7.4 PBS, 0.05% NaN3, 40% Glycerol
Stroage
Shipped at 4C. Upon delivery aliquot and store at -20C or -80C. Avoid repeated freeze.
Purity
Antigen affinity purification

Note: The presented information and documents (Manual, Product Datasheet, Safety Datasheet and Certificate of Analysis) correspond to our latest update and should serve for orientational purpose only. We do not guarantee the topicality. We would kindly ask you to make a request for specific requirements, if necessary.

All products are intended for research use only (RUO). Not for human, veterinary or therapeutic use.

Amount: 100ul
Available: In stock
available

Compare

Add to wishlist

Get an offer

Request delivery time

Ask a technical question

Submit a bulk request

Questions about this Product?
 
Close