Comparison

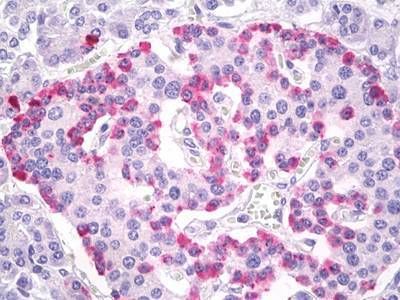
Anti-Glucagon (N-term) Antibody

Item no. 119-16949
Manufacturer Raybiotech
Amount 200 ul
Category
Type Antibody Polyclonal
Applications WB, IHC-P
Specific against Human (Homo sapiens), Mouse (Murine, Mus musculus)
Host Rabbit
Purity Ammonium Sulfate Precipitation
ECLASS 10.1 32160702
ECLASS 11.0 32160702
UNSPSC 12352203
Alias GCG,GLP2,Glucagon,Glucagon-like peptide 2,GRPP,Glicentin-related polypeptide,GLP1,Glucagon-like peptide 1
Similar products Glucagon
Shipping Condition Cool pack
Available
Manufacturer - Applications
Flo (1:10 - 1:50), IHC-P (10 µ, g/ml), Western Blotting (1:50 - 1:100)
Manufacturer - Category
Antibodies|Primary Antibodies
Shipping Temperature
Blue ice
Storage Conditions
-20°C
Description
Glucagon Rabbit anti-Human Polyclonal (N-Terminus) (Unconjugated) Antibody, (200ul)
Gene Symbols
GCG
UNSPSC Code
12352203
Formulation
PBS, 0.09% sodium azide
Protein Name & Synonyms
Glucagon (N-Terminus)
Format
PBS, 0.09% sodium azide
Purification
Ammonium Sulfate Precipitation
Expiration
12 months from the date of shipment when stored properly.
Immunogen
KLH conjugated synthetic peptide between amino acids 32 and 63 of human GCG.
Gene Family
Hormone
Domain/Region/Terminus
N-Terminus

Note: The presented information and documents (Manual, Product Datasheet, Safety Datasheet and Certificate of Analysis) correspond to our latest update and should serve for orientational purpose only. We do not guarantee the topicality. We would kindly ask you to make a request for specific requirements, if necessary.

All products are intended for research use only (RUO). Not for human, veterinary or therapeutic use.

Amount: 200 ul
Available: In stock
available

Compare

Add to wishlist

Get an offer

Request delivery time

Ask a technical question

Submit a bulk request

Questions about this Product?
 
Close