Comparison

Anti-Mouse RIF1 (aa2406-2419) Antibody

Item no. 119-12182
Manufacturer Raybiotech
Amount 50 ug
Category
Type Antibody Polyclonal
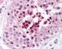
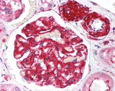
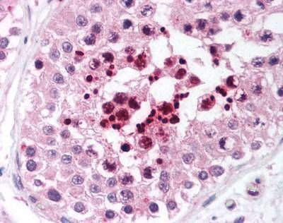
Applications WB, IF, ELISA, IHC-P
Specific against Mouse (Murine, Mus musculus)
Host Rabbit
Purity Immunoaffinity Chromatography
ECLASS 10.1 32160702
ECLASS 11.0 32160702
UNSPSC 12352203
Alias RIF1
Similar products RIF1
Shipping Condition Cool pack
Available
Manufacturer - Applications
ELISA (1:5000 - 1:40000), IF, IHC-P (5 µ, g/ml), Western Blotting (1:500 - 1:3000)
Manufacturer - Category
Antibodies|Primary Antibodies
Shipping Temperature
Blue ice
Storage Conditions
-20°C
Description
RIF1 Rabbit anti-Mouse Polyclonal (aa2406-2419) (Unconjugated) Antibody, (50 ug)
Gene Symbols
RIF1
UNSPSC Code
12352203
Formulation
0.02 M potassium phosphate, 0.15 M sodium chloride, pH 7.2, 0.01% sodium azide.
Protein Name & Synonyms
RIF1 (aa2406-2419)
Format
0.02 M potassium phosphate, 0.15 M sodium chloride, pH 7.2, 0.01% sodium azide.
Purification
Immunoaffinity Chromatography
Concentration
1 mg/ml
Expiration
12 months from the date of shipment when stored properly.
Immunogen
Synthetic peptide from mouse RIF1.
Domain/Region/Terminus
aa2406-2419

Note: The presented information and documents (Manual, Product Datasheet, Safety Datasheet and Certificate of Analysis) correspond to our latest update and should serve for orientational purpose only. We do not guarantee the topicality. We would kindly ask you to make a request for specific requirements, if necessary.

All products are intended for research use only (RUO). Not for human, veterinary or therapeutic use.

Amount: 50 ug
Available: In stock
available

Compare

Add to wishlist

Get an offer

Request delivery time

Ask a technical question

Submit a bulk request

Questions about this Product?
 
Close