Comparison

Anti-Pig/Mouse/Rat Insulin Antibody

Item no. 188-10485-IHC
Manufacturer Raybiotech
Amount 7 ml
Category
Type Antibody
Specific against Human (Homo sapiens), Mouse (Murine, Mus musculus), Rat (Rattus norvegicus)
Host Mouse
Isotype IgG1 Kappa
Purity Protein G affinity chromatography
ECLASS 10.1 32160702
ECLASS 11.0 32160702
UNSPSC 12352203
Shipping Condition Cool pack
Available
Manufacturer - Applications
Prediluted format : incubate for 30 min at RT (2)
Manufacturer - Category
Antibodies|Primary Antibodies
Shipping Temperature
Blue ice
Storage Conditions
≤-20°C
Description
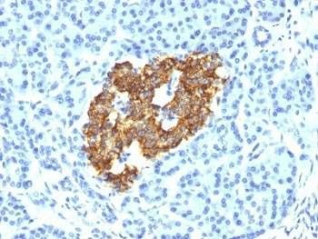
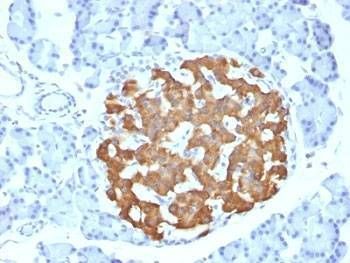
Mouse anti-Human/Cow Pig/Mouse/Rat Insulin Antibody [IHC only]
Gene Symbols
INS
UNSPSC Code
12352203
Protein Name & Synonyms
Insulin [Cleaved into: Insulin B chain, Insulin A chain]
Concentration
Prediluted in 1X PBS with 0.1 mg/ml BSA (US sourced) and 0.05% sodium azide, *For IHC use only*
Manufacturer - Specificity
Other species not tested.
Species Detected
Human, Cow Pig, Mouse and Rat. Other species not tested.
Expiration
12 months from the date of shipment when stored properly.
Preparation
Recombinant INS protein was used as the immunogen for the Insulin antibody.
Immunogen
Recombinant INS protein was used as the immunogen for the Insulin antibody.
Domain/Region/Terminus
Cytoplasmic

Note: The presented information and documents (Manual, Product Datasheet, Safety Datasheet and Certificate of Analysis) correspond to our latest update and should serve for orientational purpose only. We do not guarantee the topicality. We would kindly ask you to make a request for specific requirements, if necessary.

All products are intended for research use only (RUO). Not for human, veterinary or therapeutic use.

Amount: 7 ml
Available: In stock
available

Compare

Add to wishlist

Get an offer

Request delivery time

Ask a technical question

Submit a bulk request

Questions about this Product?
 
Close