Comparison

Anti-TNFa Antibody, Sodium Azide Free

Item no. 188-10721-SAF
Manufacturer Raybiotech
Amount 100 ug
Category
Type Antibody
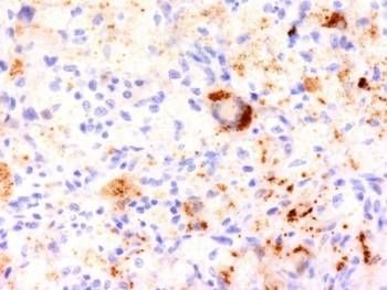
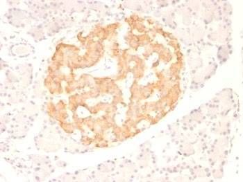
Applications FC, IHC
Specific against Human (Homo sapiens)
Host Mouse
Isotype IgM Kappa
Purity PEG precipitation
ECLASS 10.1 32160702
ECLASS 11.0 32160702
UNSPSC 12352203
Shipping Condition Cool pack
Available
Manufacturer - Applications
Flow Cytometry: 0.5-1ug/million cells in 0.1ml Immunohistochemistry (FFPE): 2-4ug/ml for 30 min at RT (1)
Manufacturer - Category
Antibodies|Primary Antibodies
Shipping Temperature
Blue ice
Storage Conditions
≤-20°C
Research Area
Cardiovascular Disease
Description
Mouse anti-Human/Mouse/Rat/Rabbit/Cat/Dog/Zebrafish TNFa Antibody [Sodium Azide Free]
Gene Symbols
TNF, TNFA, TNFSF2
UNSPSC Code
12352203
Protein Name & Synonyms
Tumor necrosis factor (Cachectin) (TNF-alpha) (Tumor necrosis factor ligand superfamily member 2) (TNF-a) [Cleaved into: Tumor necrosis factor, membrane form (N-terminal fragment) (NTF), Intracellular domain 1 (ICD1), Intracellular domain 2 (ICD2), C-domain 1, C-domain 2, Tumor necrosis factor, soluble form]
Concentration
1 mg/ml in 1X PBS, BSA free, sodium azide free
Manufacturer - Specificity
Other species not tested.
Species Detected
Human, Mouse, Rat, Rabbit, Cat, Dog and Zebrafish. Other species not tested.
Expiration
12 months from the date of shipment when stored properly.
Preparation
An N-terminal recombinant protein fragment was used as the immunogen for the TNFa antibody.
Immunogen
An N-terminal recombinant protein fragment was used as the immunogen for the TNFa antibody.
Domain/Region/Terminus
Cytoplasmic and extracellular (secreted)

Note: The presented information and documents (Manual, Product Datasheet, Safety Datasheet and Certificate of Analysis) correspond to our latest update and should serve for orientational purpose only. We do not guarantee the topicality. We would kindly ask you to make a request for specific requirements, if necessary.

All products are intended for research use only (RUO). Not for human, veterinary or therapeutic use.

Amount: 100 ug
Available: In stock
available

Compare

Add to wishlist

Get an offer

Request delivery time

Ask a technical question

Submit a bulk request

Questions about this Product?
 
Close