Comparison

Anti-TNF-alpha Antibody Cocktail

Item no. 188-10722-IHC
Manufacturer Raybiotech
Amount 7 ml
Category
Type Antibody
Specific against Human (Homo sapiens)
Host Mouse
Isotype IgM
Purity PEG precipitation
ECLASS 10.1 32160702
ECLASS 11.0 32160702
UNSPSC 12352203
Shipping Condition Cool pack
Available
Manufacturer - Applications
Prediluted format : incubate for 30 min at RT (2)
Manufacturer - Category
Antibodies|Primary Antibodies
Shipping Temperature
Blue ice
Storage Conditions
≤-20°C
Research Area
Cardiovascular Disease
Description
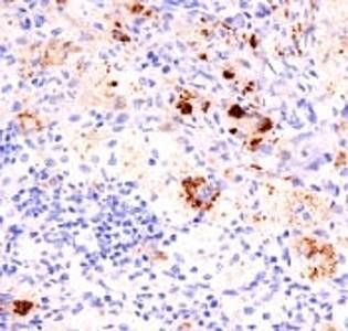
Mouse anti-Human/Mouse/Rat/Rabbit/Cat/Dog/Zebrafish TNF-alpha Antibody Cocktail [IHC only]
Gene Symbols
TNF, TNFA, TNFSF2
UNSPSC Code
12352203
Protein Name & Synonyms
Tumor necrosis factor (Cachectin) (TNF-alpha) (Tumor necrosis factor ligand superfamily member 2) (TNF-a) [Cleaved into: Tumor necrosis factor, membrane form (N-terminal fragment) (NTF), Intracellular domain 1 (ICD1), Intracellular domain 2 (ICD2), C-domain 1, C-domain 2, Tumor necrosis factor, soluble form]
Concentration
Prediluted in 1X PBS with 0.1 mg/ml BSA (US sourced) and 0.05% sodium azide, *For IHC use only*
Manufacturer - Specificity
Other species not tested.
Species Detected
Human, Mouse, Rat, Rabbit, Cat, Dog and Zebrafish. Other species not tested.
Expiration
12 months from the date of shipment when stored properly.
Preparation
An N-terminal recombinant protein fragment (TNF706) and amino acids 115-130 (NGVELRDNQLVVPSEG) were used as the immunogen for the TNF-alpha antibody cocktail.
Immunogen
An N-terminal recombinant protein fragment (TNF706) and amino acids 115-130 (NGVELRDNQLVVPSEG) were used as the immunogen for the TNF-alpha antibody cocktail.
Domain/Region/Terminus
Cytoplasmic and extracellular (secreted)

Note: The presented information and documents (Manual, Product Datasheet, Safety Datasheet and Certificate of Analysis) correspond to our latest update and should serve for orientational purpose only. We do not guarantee the topicality. We would kindly ask you to make a request for specific requirements, if necessary.

All products are intended for research use only (RUO). Not for human, veterinary or therapeutic use.

Amount: 7 ml
Available: In stock
available

Compare

Add to wishlist

Get an offer

Request delivery time

Ask a technical question

Submit a bulk request

Questions about this Product?
 
Close