Comparison

Human CST6 HEK293 Overexpression Lysate European Partner

Item no. 10438-H08HL-300
Manufacturer Sino Biological
Amount 300 ug
Category
Type Cell Lysate
Specific against Human (Homo sapiens)
Host Human
ECLASS 10.1 32160890
ECLASS 11.0 32160890
UNSPSC 41105330
Alias 10438-H08HL
Similar products CST6
Available
Manufacturer - Type
Lysate
Storage Conditions
Store at -80C. Aliquot to avoid repeated freezing and thawing
Antigen molecule name
CST6
Preparation
Cell lysate was prepared by homogenization in ice-cold modified RIPA Lysis Buffer with cocktail of protease inhibitors (Sigma). Cell debris was removed by centrifugation. Protein concentration was determined with Bradford assay (Bio-Rad protein assay, Microplate Standard assay). The cell lysate was boiled for 5 minutes in 1 x SDS sample buffer (50 mM Tris-HCl pH 6.8, 12.5% glycerol, 1% sodium dodecylsulfate, 0.01% bromophenol blue) containing 5% b-mercaptoethanol, and lyophilized.
Expressed Host
Human Cells
Description
Human Cells transfected lysate in which Human CystatinE / CST6 / CystatinM has been over-expressed. The whole cell lysate is provided in 1X Sample Buffer.
Quality control
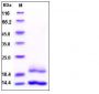
12.5% SDS-PAGE Stained with Coomassie Blue
Lysis Buffer
Modified RIPA Lysis Buffer: 50 mM Tris-HCl pH 7.4, 150 mM NaCl, 1mM EDTA, 1% Triton X-100, 0.1% SDS, 1% Sodium deoxycholate, 1mM PMSF
Recommend Usage
1. Centrifuge the tube for a few seconds and ensure the pellet at the bottom of the tube. 2. Re-dissolve the pellet using 200uL pure water and boiled for 2-5 min. 3. Store it at -80C. Recommend to aliquot the cell lysate into smaller quantities for optimal storage. Avoid repeated freeze-thaw cycles. Notes: The lysate is ready to load on SDS-PAGE for Western blot application. If dissociating conditions are required, add reducing agent prior to heating.
Storage Buffer
In modified RIPA Lysis Buffer
Stability
Samples are stable for up to twelve months from date of receipt at -80C
Application notes
WB: Use at an assay dependent dilution. Not yet tested in other applications. Optimal dilutions/concentrations should be determined by the end user.

Note: The presented information and documents (Manual, Product Datasheet, Safety Datasheet and Certificate of Analysis) correspond to our latest update and should serve for orientational purpose only. We do not guarantee the topicality. We would kindly ask you to make a request for specific requirements, if necessary.

All products are intended for research use only (RUO). Not for human, veterinary or therapeutic use.

Amount: 300 ug
Available: In stock
available

Compare

Add to wishlist

Get an offer

Request delivery time

Ask a technical question

Submit a bulk request

Questions about this Product?
 
Close