Comparison

B-Cell Lymphoma/Leukaemia 11A (BCL11A) Antibody European Partner

Item no. abx004168-100
Manufacturer Abbexa
Amount 100 ul
Quantity options 100 ul 20 ul 2 x 100 ul 50 ul
Category
Type Antibody Primary
Format Liquid
Applications WB, ELISA
Specific against Human (Homo sapiens), Mouse (Murine, Mus musculus)
Host Rabbit
Isotype IgG
Conjugate/Tag Unconjugated
ECLASS 10.1 32160702
ECLASS 11.0 32160702
UNSPSC 12352203
Similar products BCL11A
Available
Manufacturer - Category
Primary Antibodies
Manufacturer - Targets
B-Cell Lymphoma/Leukaemia 11A (BCL11A)
Storage Conditions
Aliquot and store at -20°C. Avoid repeated freeze/thaw cycles.
Molecular Weight
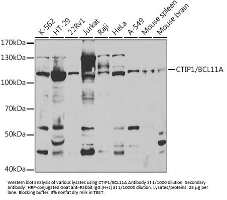
Calculated MW: 91 kDa
Observed MW: 113 kDa
Description
BCL11A Antibody is a Rabbit Polyclonal antibody against BCL11A. This gene encodes a C2H2 type zinc-finger protein by its similarity to the mouse Bcl11a/Evi9 protein. The corresponding mouse gene is a common site of retroviral integration in myeloid leukemia, and may function as a leukemia disease gene, in part, through its interaction with BCL6. During hematopoietic cell differentiation, this gene is down-regulated. It is possibly involved in lymphoma pathogenesis since translocations associated with B-cell malignancies also deregulates its expression. Multiple transcript variants encoding several different isoforms have been found for this gene.
Dry Ice
No
Buffer
PBS, pH 7.3, containing 0.02% sodium azide, 50% glycerol.
Clonality
Polyclonal
Gene Symbol
BCL11A
Note
This product is for research use only.
Purification
Purified by affinity chromatography.
UniProt Entry Name
BC11A_HUMAN

Note: The presented information and documents (Manual, Product Datasheet, Safety Datasheet and Certificate of Analysis) correspond to our latest update and should serve for orientational purpose only. We do not guarantee the topicality. We would kindly ask you to make a request for specific requirements, if necessary.

All products are intended for research use only (RUO). Not for human, veterinary or therapeutic use.

Amount: 100 ul
Available: In stock
available

Compare

Add to wishlist

Get an offer

Request delivery time

Ask a technical question

Submit a bulk request

Questions about this Product?
 
Close