Comparison

Anti-FATP4/SLC27A4 Antibody Picoband® European Partner

Item no. BOS-A05299-2-carrier-free
Manufacturer Boster
Amount 100 ug
Quantity options 100 ug/vial 10 ug 100 ug 100 ug 100 ug 100 ug 100 ug 100 ug 100 ug 100 ug 100 ug 100 ug
Category
Type Antibody
Format Lyophilized
Applications WB, IHC, ELISA
Specific against Human (Homo sapiens), Mouse (Murine, Mus musculus), Rat (Rattus norvegicus)
Host Rabbit
Isotype IgG
Citations 1. Esperon-Moldes, U. S., Ginarte, M., Santamarina, M., Rodriguez-Lage, B., Rodriguez-Pazos, L., Vega, A. Novel compound heterozygous FATP4 mutations caused ichthyosis prematurity syndrome in Spanish sisters. Acta Paediat. 108: 763-765, 2019.
2. Gertow, K., Bellanda, M., Eriksson, P., Boquist, S., Hamsten, A., Sunnerhagen, M., Fisher, R. M. Genetic and structural evaluation of fatty acid transport protein-4 in relation to markers of the insulin resistance syndrome. J. Clin. Endocr. Metab. 89: 392-399, 2004.
3. Hirsch, D., Stahl, A., Lodish, H. F. A family of fatty acid transporters conserved from mycobacterium to man. Proc. Nat. Acad. Sci. 95: 8625-8629, 1998.
ECLASS 10.1 32160702
ECLASS 11.0 32160702
UNSPSC 12352203
Alias Loricrin,LOR,LRN
Available
Manufacturer - Category
Primary Antibodies
Manufacturer - Conjugate / Tag
carrier-free
Storage Conditions
At -20°C for one year from date of receipt.
After reconstitution, at 4°C for one month. It can also be aliquotted and stored frozen at -20°C for six months.
Avoid repeated freezing and thawing.
Observed Molecular weight
70 kDa
Calculated Molecular weight
39411 MW
Clonality
Polyclonal
Application Details
Western blot, 0.25-0.5 μg/ml, Human, Mouse, Rat
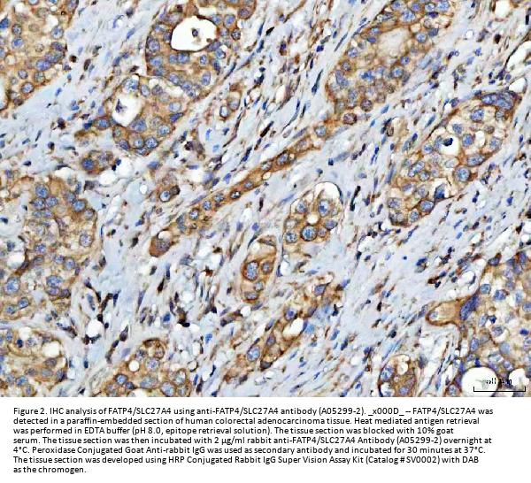
Immunohistochemistry(Paraffin-embedded Section), 2-5 μg/ml, Human
ELISA, 0.1-0.5 μg/ml
Gene Name
SLC27A4
Gene Full Name
loricrin
Background
Long-chain fatty acid transport protein 4 is a protein that in humans is encoded by the SLC27A4 gene. This gene encodes a member of a family of fatty acid transport proteins, which are involved in translocation of long-chain fatty acids cross the plasma membrane. This protein is expressed at high levels on the apical side of mature enterocytes in the small intestine, and appears to be the principal fatty acid transporter in enterocytes. Clinical studies suggest this gene as a candidate gene for the insulin resistance syndrome. Mutations in this gene have been associated with ichthyosis prematurity syndrome.
Immunogen
E.coli-derived human FATP4/SLC27A4 recombinant protein (Position: K15-L643).
Contents
Each vial contains 4 mg Trehalose, 0.9 mg NaCl, 0.2 mg Na2HPO4.
Purification
Immunogen affinity purified.
Reconstitution
Adding 0.2 ml of distilled water will yield a concentration of 500 μg/ml.
Concentration
Adding 0.2 ml of distilled water will yield a concentration of 500 μg/ml.
Manufacturer - Research Category
Cell Biology, Cytokines, Epigenetics and Nuclear Signaling, Immunology, Innate Immunity, Interferons, Proteasome / Ubiquitin, Proteolysis/Ubiquitin, Ubiquitin & Ubiquitin Like Modifiers, Ubiquitin E3 Enzymes
Protein Name
Zinc finger protein Helios
Protein Function
Major keratinocyte cell envelope protein.
Subcellular Localization
Nucleoplasm. Cytoplasm.
Description
Boster Bio Anti-FATP4/SLC27A4 Antibody Picoband® catalog # A05299-2. Tested in ELISA, IHC, WB applications. This antibody reacts with Human, Mouse, Rat. The brand Picoband indicates this is a premium antibody that guarantees superior quality, high affinity, and strong signals with minimal background in Western blot applications. Only our best-performing antibodies are designated as Picoband, ensuring unmatched performance.
Tissue Specificity
Expressed in testis and to a lesser degree in brain, ovary and placenta. Found in most tissues at low levels.
Manufacturer - Cross Reactivity
No cross-reactivity with other proteins.

Note: The presented information and documents (Manual, Product Datasheet, Safety Datasheet and Certificate of Analysis) correspond to our latest update and should serve for orientational purpose only. We do not guarantee the topicality. We would kindly ask you to make a request for specific requirements, if necessary.

All products are intended for research use only (RUO). Not for human, veterinary or therapeutic use.

Amount: 100 ug
Available: In stock
available

Compare

Add to wishlist

Get an offer

Request delivery time

Ask a technical question

Submit a bulk request

Questions about this Product?