Comparison

COX6A1 Antibody

Item no. PRS-19-164-100uL
Manufacturer ProSci
Amount 100 uL
Quantity options 100 uL
Category
Type Antibody Primary
Format Liquid
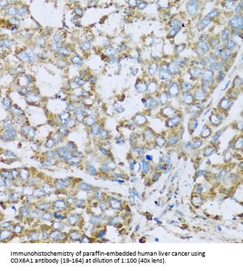
Applications WB, IF, IHC
Specific against Human (Homo sapiens), Mouse (Murine, Mus musculus), Rat (Rattus norvegicus)
Host Rabbit
Isotype IgG
Conjugate/Tag Unconjugated
NCBI COX6A1
ECLASS 10.1 32160702
ECLASS 11.0 32160702
UNSPSC 12352203
Alias Cytochrome c oxidase subunit 6A1,mitochondrial,Cytochrome c oxidase polypeptide VIa-liver,Cytochrome c oxidase subunit VIA-liver,COX VIa-L,COX6A1,COX6AL
Shipping Condition Cool pack
Available
Specificity Human,Mouse,Rat
Manufacturer - Type
Primary Antibodies
Shipping Temperature
Blue Ice
Storage Conditions
Store at -20˚ C. Avoid freeze / thaw cycles.
Molecular Weight
Observed: 12kDa
Manufacturer - Research Area
Neuroscience
Background
Cytochrome c oxidase (COX), the terminal enzyme of the mitochondrial respiratory chain, catalyzes the electron transfer from reduced cytochrome c to oxygen. It is a heteromeric complex consisting of 3 catalytic subunits encoded by mitochondrial genes and multiple structural subunits encoded by nuclear genes. The mitochondrially-encoded subunits function in the electron transfer and the nuclear-encoded subunits may function in the regulation and assembly of the complex. This nuclear gene encodes polypeptide 1 (liver isoform) of subunit VIa, and polypeptide 1 is found in all non-muscle tissues. Polypeptide 2 (heart/muscle isoform) of subunit VIa is encoded by a different gene, and is present only in striated muscles. These two polypeptides share 66% amino acid sequence identity. It has been reported that there may be several pseudogenes on chromosomes 1, 6, 7q21, 7q31-32 and 12. However, only one pseudogene (COX6A1P) on chromosome 1p31.1 has been documented.
By Type
Neuroscience
Modifications
None
Purification
Affinity purification
Positive Control 1
A-549
Positive Control 2
MCF7
Positive Control 3
Mouse kidney
Positive Control 4
Mouse heart
Positive Control 5
Mouse liver
Positive Control 6
Rat liver
Concentration
batch dependent
Buffer
PBS with 0.02% sodium azide, 50% glycerol, pH7.3.
Application Note
WB: 1:200 - 1:2000
IHC: 1:20 - 1:200
IF: 1:50 - 1:200
Immunogen
Recombinant fusion protein containing a sequence corresponding to amino acids 25-109 of human COX6A1 (NP_004364.2).
Clonality
Polyclonal
NCBI Official Name
Cytochrome c oxidase subunit 6A1, mitochondrial
NCBI Organism
Homo sapiens
User Note
Optimal dilutions for each application to be determined by the researcher.

Note: The presented information and documents (Manual, Product Datasheet, Safety Datasheet and Certificate of Analysis) correspond to our latest update and should serve for orientational purpose only. We do not guarantee the topicality. We would kindly ask you to make a request for specific requirements, if necessary.

All products are intended for research use only (RUO). Not for human, veterinary or therapeutic use.

Amount: 100 uL
Available: In stock
available

Compare

Add to wishlist

Get an offer

Request delivery time

Ask a technical question

Submit a bulk request

Questions about this Product?
 
Close