Comparison

GLUL Antibody, KO Validated

Item no. PRS-19-660-100uL
Manufacturer ProSci
Amount 100 uL
Quantity options 100 uL
Category
Type Antibody Primary
Format Liquid
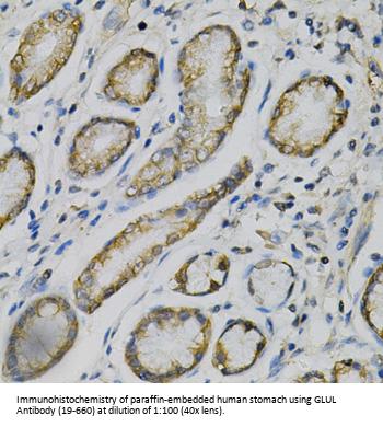
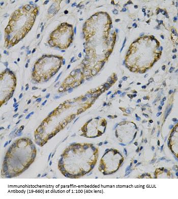
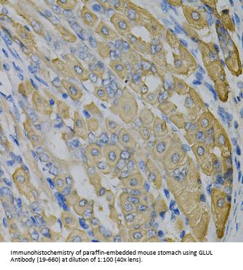
Applications WB, IF, IHC
Specific against Human (Homo sapiens), Mouse (Murine, Mus musculus)
Host Rabbit
Isotype IgG
Conjugate/Tag Unconjugated
NCBI GLUL
ECLASS 10.1 32160702
ECLASS 11.0 32160702
UNSPSC 12352203
Alias GS,GLNS,PIG43,PIG59,GS
Shipping Condition Cool pack
Available
Specificity Human,Mouse
Manufacturer - Type
Primary Antibodies
Shipping Temperature
Blue Ice
Storage Conditions
Store at -20˚ C. Avoid freeze / thaw cycles.
Molecular Weight
Observed: 40kDa
Manufacturer - Research Area
Neuroscience
Background
The protein encoded by this gene belongs to the glutamine synthetase family. It catalyzes the synthesis of glutamine from glutamate and ammonia in an ATP-dependent reaction. This protein plays a role in ammonia and glutamate detoxification, acid-base homeostasis, cell signaling, and cell proliferation. Glutamine is an abundant amino acid, and is important to the biosynthesis of several amino acids, pyrimidines, and purines. Mutations in this gene are associated with congenital glutamine deficiency, and overexpression of this gene was observed in some primary liver cancer samples. There are six pseudogenes of this gene found on chromosomes 2, 5, 9, 11, and 12. Alternative splicing results in multiple transcript variants.
By Type
Neuroscience
Badges
KO
Modifications
None
Purification
Affinity purification
Validation
Antibody is Knockout validated.
Positive Control 1
K-562
Positive Control 2
U-87MG
Positive Control 3
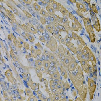
Mouse intestine
Positive Control 4
Mouse kidney
Concentration
batch dependent
Buffer
PBS with 0.02% sodium azide, 50% glycerol, pH7.3.
Application Note
WB: 1:500 - 1:2000
IHC: 1:50 - 1:200
IF: 1:50 - 1:200
Immunogen
Recombinant fusion protein containing a sequence corresponding to amino acids 1-373 of human GLUL (NP_001028228.1).
Clonality
Polyclonal
NCBI Official Name
glutamate-ammonia ligase
NCBI Organism
Homo sapiens
User Note
Optimal dilutions for each application to be determined by the researcher.
Validation
Antibody is Knockout validated.

Note: The presented information and documents (Manual, Product Datasheet, Safety Datasheet and Certificate of Analysis) correspond to our latest update and should serve for orientational purpose only. We do not guarantee the topicality. We would kindly ask you to make a request for specific requirements, if necessary.

All products are intended for research use only (RUO). Not for human, veterinary or therapeutic use.

Amount: 100 uL
Available: In stock
available

Compare

Add to wishlist

Get an offer

Request delivery time

Ask a technical question

Submit a bulk request

Questions about this Product?
 
Close