Comparison

MTX1 Antibody

Item no. PRS-23-275-100uL
Manufacturer ProSci
Amount 100 uL
Quantity options 100 uL
Category
Type Antibody Primary
Format Liquid
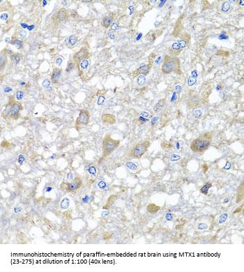
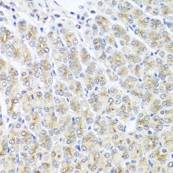
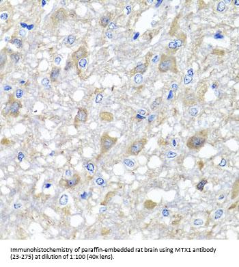
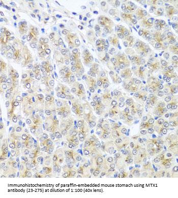
Applications WB, IF, IHC
Specific against Human (Homo sapiens), Mouse (Murine, Mus musculus), Rat (Rattus norvegicus)
Host Rabbit
Isotype IgG
Conjugate/Tag Unconjugated
NCBI MTX1
ECLASS 10.1 32160702
ECLASS 11.0 32160702
UNSPSC 12352203
Alias MTX,MTXN,metaxin-1,mitochondrial outer membrane import complex protein 1
Shipping Condition Cool pack
Available
Specificity Human,Mouse,Rat
Manufacturer - Type
Primary Antibodies
Shipping Temperature
Blue Ice
Storage Conditions
Store at -20˚ C. Avoid freeze / thaw cycles.
Molecular Weight
Observed: 35kDa
Manufacturer - Research Area
Cancer, Signal Transduction
By Type
Cancer, Signal Transduction
Modifications
None
Purification
Affinity purification
Positive Control 1
MCF7
Positive Control 2
Jurkat
Positive Control 3
A-549
Positive Control 4
SKOV3
Positive Control 5
NCI-H460
Positive Control 6
Mouse liver
Concentration
batch dependent
Buffer
PBS with 0.02% sodium azide, 50% glycerol, pH7.3.
Application Note
WB: 1:500 - 1:2000
IHC: 1:50 - 1:200
IF: 1:50 - 1:200
Immunogen
Recombinant fusion protein containing a sequence corresponding to amino acids 186-435 of human MTX1 (NP_942584.2).
Clonality
Polyclonal
NCBI Official Name
metaxin 1
NCBI Organism
Homo sapiens
User Note
Optimal dilutions for each application to be determined by the researcher.

Note: The presented information and documents (Manual, Product Datasheet, Safety Datasheet and Certificate of Analysis) correspond to our latest update and should serve for orientational purpose only. We do not guarantee the topicality. We would kindly ask you to make a request for specific requirements, if necessary.

All products are intended for research use only (RUO). Not for human, veterinary or therapeutic use.

Amount: 100 uL
Available: In stock
available

Delivery expected until 11/6/2025 

Compare

Add to wishlist

Get an offer

Request delivery time

Ask a technical question

Submit a bulk request

Questions about this Product?
 
Close