Comparison

WHSC1 Antibody

Item no. PRS-23-292-100uL
Manufacturer ProSci
Amount 100 uL
Quantity options 100 uL
Category
Type Antibody Primary
Format Liquid
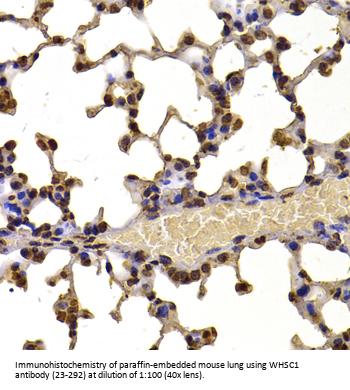
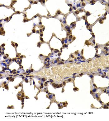
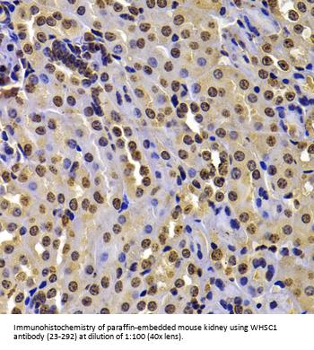
Applications WB, IHC
Specific against Human (Homo sapiens), Mouse (Murine, Mus musculus)
Host Rabbit
Isotype IgG
Conjugate/Tag Unconjugated
NCBI NSD2
ECLASS 10.1 32160702
ECLASS 11.0 32160702
UNSPSC 12352203
Alias WHSC1,WHS,NSD2,TRX5,MMSET,REIIBP
Shipping Condition Cool pack
Available
Specificity Human,Mouse
Manufacturer - Type
Primary Antibodies
Shipping Temperature
Blue Ice
Storage Conditions
Store at -20˚ C. Avoid freeze / thaw cycles.
Molecular Weight
Observed: 80kDa, 152kDa
Manufacturer - Research Area
Transcription
Background
This gene encodes a protein that contains four domains present in other developmental proteins: a PWWP domain, an HMG box, a SET domain, and a PHD-type zinc finger. It is expressed ubiquitously in early development. Wolf-Hirschhorn syndrome (WHS) is a malformation syndrome associated with a hemizygous deletion of the distal short arm of chromosome 4. This gene maps to the 165 kb WHS critical region and has also been involved in the chromosomal translocation t(4; 14)(p16.3; q32.3) in multiple myelomas. Alternative splicing of this gene results in multiple transcript variants encoding different isoforms. Some transcript variants are nonsense-mediated mRNA (NMD) decay candidates, hence not represented as reference sequences.
By Type
Transcription
Modifications
None
Purification
Affinity purification
Positive Control 1
HeLa
Positive Control 2
HepG2
Positive Control 3
SW620
Positive Control 4
Mouse brain
Positive Control 5
Mouse spleen
Concentration
batch dependent
Buffer
PBS with 0.02% sodium azide, 50% glycerol, pH7.3.
Application Note
WB: 1:500 - 1:2000
IHC: 1:50 - 1:200
Immunogen
Recombinant fusion protein containing a sequence corresponding to amino acids 1-240 of human WHSC1 (NP_579877.1).
Clonality
Polyclonal
NCBI Official Name
Wolf-Hirschhorn syndrome candidate 1
NCBI Organism
Homo sapiens
User Note
Optimal dilutions for each application to be determined by the researcher.

Note: The presented information and documents (Manual, Product Datasheet, Safety Datasheet and Certificate of Analysis) correspond to our latest update and should serve for orientational purpose only. We do not guarantee the topicality. We would kindly ask you to make a request for specific requirements, if necessary.

All products are intended for research use only (RUO). Not for human, veterinary or therapeutic use.

Amount: 100 uL
Available: In stock
available

Compare

Add to wishlist

Get an offer

Request delivery time

Ask a technical question

Submit a bulk request

Questions about this Product?
 
Close