Comparison

SQSTM1 Antibody

Item no. ABC-ASC11000
Manufacturer Abcepta
Amount 100 ug
Category
Type Antibody Primary
Applications WB, IF, ELISA, IHC-P
Specific against Human (Homo sapiens), Mouse (Murine, Mus musculus), Rat (Rattus norvegicus)
Host Rabbit
Isotype IgG
Citations Seibenhener ML, Babu JR, Geeth T, et al. Sequestosome 1/p62 is a polyubiquitin chain binding protein involved in ubiquitin proteasome degradation. Mol. Cell. Biol.2004; 24:8055-68.
Hocking LJ, Lucas GJ, Daroszewska A, et al. Domain-specific mutations in sequestosome 1 (SQSTM1) cause familial and sporadic Paget’s disease. Hum. Mol. Genet.2002; 11:2735-9.
Rousiere M, Michou L, Cornelis F, et al. Paget’s disease of bone. Best Pract. Res. Clin. Rheumatol.2003; 17:1019-41.
Layfield R, Ciani B, Ralston SH, et al. Structural and functional studies of mutations affecting the UBA domain of SQSTM1 (p62) which cause Paget’s disease of bone. Biochem. Soc. Trans.2004; 32:728-30.
ECLASS 10.1 32160702
ECLASS 11.0 32160702
UNSPSC 12352203
Available
Manufacturer - Category
Primary Antibodies; Antibody Collections; Cardiovascular; Metabolism; Signal Transduction; Immunity; Autophagy; Lysosome
Manufacturer - Targets
SQSTM1;
Storage Conditions
Antibody can be stored at 4°C up to one year. Antibodies should not be exposed to prolonged high temperatures.
Bio Background
SQSTM1 Antibody: SQSTM1/p62 is an adapter protein which binds ubiquitin and regulates signaling cascades through ubiquitination. It may regulate the activation of NF-?B by TNF-?, nerve growth factor (NGF) and interleukin-1. SQSTM1/p62, a co-interacting protein of the atypical PKC isoforms, has a UBA domain at its C-terminal end, which binds non-covalently to polyubiquitin chain. SQSTM1's UBA domain is necessary for recruitment of polyubiquitin and aggresome formation. SQSTM1 may play a role in titin/TTN downstream signaling in muscle cells and may be involved in cell differentiation, apoptosis, immune response and regulation of K+ channels. Mutations in the ubiquitin-associated (UBA) domain of SQSTM1 commonly cause Paget's disease of bone since the UBA is necessary for aggregate sequestration and cell survival.
Clonality
Polyclonal
Gene Name
SQSTM1 {ECO:0000303|PubMed:16286508, ECO:0000312|HGNC:HGNC:11280}
Reactivity
H, M, Rat
Calculated Molecular Weight
47687
Antigen Source
Homo sapiens
Purification
SQSTM1 Antibody is affinity chromatography purified via peptide column.
Antibody Form
Liquid
Application Notes
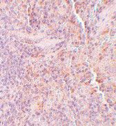
SQSTM1 antibody can be used for detection of SQSTM1 by Western blot at 1 - 2 µg/mL. Antibody can also be used for immunohistochemistry starting at 5 µg/mL. For immunofluorescence start at 20 µg/mL.
Positive Control
Human Spleen Tissue Lysate
Buffer
SQSTM1 Antibody is supplied in PBS containing 0.02% sodium azide.

Note: The presented information and documents (Manual, Product Datasheet, Safety Datasheet and Certificate of Analysis) correspond to our latest update and should serve for orientational purpose only. We do not guarantee the topicality. We would kindly ask you to make a request for specific requirements, if necessary.

All products are intended for research use only (RUO). Not for human, veterinary or therapeutic use.

Amount: 100 ug
Available: In stock
available

Compare

Add to wishlist

Get an offer

Request delivery time

Ask a technical question

Submit a bulk request

Questions about this Product?
 
Close