Comparison

Anti-CBL Antibody Picoband® European Partner

Item no. BOS-A00152-2
Manufacturer Boster
Amount 100 ug/vial
Quantity options 100 ug/vial 10 ug 100 ug/vial 100 ug/vial 100 ug/vial 100 ug 100 ug 100 ug 100 ug/vial 100 ug/vial 100 ug/vial 100 ug/vial
Category
Type Antibody
Format Lyophilized
Applications WB, FC, IHC, ELISA
Specific against Human (Homo sapiens), Mouse (Murine, Mus musculus), Rat (Rattus norvegicus)
Host Rabbit
Isotype IgG
Citations 1. Joazeiro, C. A. P., Wing, S. S., Huang, H., Leverson, J. D., Hunter, T., Liu, Y.-C. The tyrosine kinase negative regulator c-Cbl as a RING-type, E2-dependent ubiquitin-protein ligase. Science 286: 309-312, 1999.
2. Martinelli, S., De Luca, A., Stellacci, E., Rossi, C., Checquolo, S., Lepri, F., Caputo, V., Silvano, M., Buscherini, F., Consoli, F., Ferrara, G., Digilio, M. C., and 14 others.Heterozygous germline mutations in the CBL tumor-suppressor gene cause a Noonan syndrome-like phenotype. Am. J. Hum. Genet. 87: 250-257, 2010.
3. Wei, S., Rocchi, M., Archidiacono, N., Sacchi, N., Romeo, G., Gatti, R. A. Physical mapping of the human chromosome 11q23 region containing the ataxia-telangiectasia locus. Cancer Genet. Cytogenet. 46: 1-8, 1990.
ECLASS 10.1 32160702
ECLASS 11.0 32160702
UNSPSC 12352203
Alias Angiogenin,3.1.27.-,Ribonuclease 5,RNase 5,ANG,RNASE5
Available
Manufacturer - Category
Primary Antibodies
Storage Conditions
At -20°C for one year from date of receipt. After reconstitution, at 4°C for one month. It can also be aliquotted and stored frozen at -20°C for six months. Avoid repeated freezing and thawing.
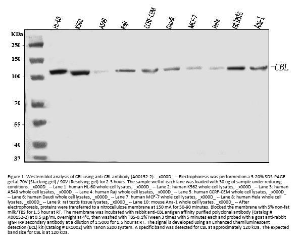
Observed Molecular weight
120 kDa
Calculated Molecular weight
16550 MW
Clonality
Polyclonal
Application Details
Western blot, 0.25-0.5 μg/ml, Human, Mouse, Rat
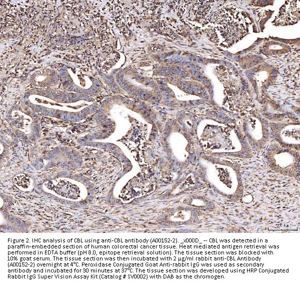
Immunohistochemistry(Paraffin-embedded Section), 2-5 μg/ml, Human
Flow Cytometry (Fixed), 1-3 μg/1x106 cells, Human
ELISA, 0.1-0.5 μg/ml
Gene Name
CBL
Gene Full Name
Angiogenin
Manufacturer - Specificity
No cross-reactivity with other proteins.
Background
CBL(Cbl proto-oncogene) is also known as C-CBL, RNF55, CBL2 and E3 ubiquitin protein ligase. CBL is mapped to chromosome 11q23.3-qter by molecular characterization of the breakpoints in 2 somatic cell hybrids. The encoded protein is one of the enzymes required for targeting substrates for degradation by the proteasome. This protein mediates the transfer of ubiquitin from ubiquitin conjugating enzymes(E2) to specific substrates. This protein also contains an N-terminal phosphotyrosine binding domain that allows it to interact with numerous tyrosine-phosphorylated substrates and target them for proteasome degradation. As such it functions as a negative regulator of many signal transduction pathways. This gene has been found to be mutated or translocated in many cancers including acute myeloid leukaemia. Mutations in this gene are also the cause of Noonan syndrome-like disorder.
Immunogen
E.coli-derived human CBL recombinant protein (Position: M470-E766).
Contents
Each vial contains 4 mg Trehalose, 0.9 mg NaCl, 0.2 mg Na2HPO4.
Purification
Immunogen affinity purified.
Reconstitution
Adding 0.2 ml of distilled water will yield a concentration of 500 μg/ml.
Concentration
Adding 0.2 ml of distilled water will yield a concentration of 500 μg/ml.
Manufacturer - Research Category
Actin Binding Proteins, Actin, etc., Angiogenesis, Cancer, Cancer Metabolism, Cardiovascular, Cytoskeleton, Cytoskeleton/ECM, DNA/RNA, Epigenetics and Nuclear Signaling, Hypoxia, Invasion/Microenvironment, Metabolism, Metabolism Processes, Microfilaments, Neurodegenerative Disease, Neurology Process, Neuroscience, Pathways and Processes, Response To Hypoxia, RNA Processing, Signal Transduction, Translation
Protein Name
Angiogenin
Protein Function
Binds to actin on the surface of endothelial cells; once bound, angiogenin is endocytosed and translocated to the nucleus. Stimulates ribosomal RNA synthesis including that containing the initiation site sequences of 45S rRNA. Cleaves tRNA within anticodon loops to produce tRNA-derived stress-induced fragments (tiRNAs) which inhibit protein synthesis and triggers the assembly of stress granules (SGs). Angiogenin induces vascularization of normal and malignant tissues. Angiogenic activity is regulated by interaction with RNH1 in vivo.
Subcellular Localization
Nucleus. Secreted, extracellular space, extracellular matrix, basement membrane. Nucleus, nucleolus. Rapidly endocytosed by target cells and translocated to the nucleus where it accumulates in the nucleolus and binds to DNA.
Description
Boster Bio Anti-CBL Antibody Picoband® catalog # A00152-2. Tested in ELISA, Flow Cytometry, IHC, WB applications. This antibody reacts with Human, Mouse, Rat. The brand Picoband indicates this is a premium antibody that guarantees superior quality, high affinity, and strong signals with minimal background in Western blot applications. Only our best-performing antibodies are designated as Picoband, ensuring unmatched performance.
Tissue Specificity
Expressed predominantly in the liver. Also detected in endothelial cells and spinal cord neurons.
Manufacturer - Cross Reactivity
No cross-reactivity with other proteins.

Note: The presented information and documents (Manual, Product Datasheet, Safety Datasheet and Certificate of Analysis) correspond to our latest update and should serve for orientational purpose only. We do not guarantee the topicality. We would kindly ask you to make a request for specific requirements, if necessary.

All products are intended for research use only (RUO). Not for human, veterinary or therapeutic use.

Amount: 100 ug/vial
Available: In stock
available

Compare

Add to wishlist

Get an offer

Request delivery time

Ask a technical question

Submit a bulk request

Questions about this Product?