Comparison

Anti-IGF2R Antibody Picoband® (monoclonal, 6G2) European Partner

Item no. BOS-M00951-2
Manufacturer Boster
Amount 100 ug/vial
Quantity options 100 ug/vial 10 ug 100 ug 100 ug 100 ug 100 ug 100 ug 100 ug 100 ug 100 ug 100 ug 100 ug
Category
Type Antibody Monoclonal
Format Lyophilized
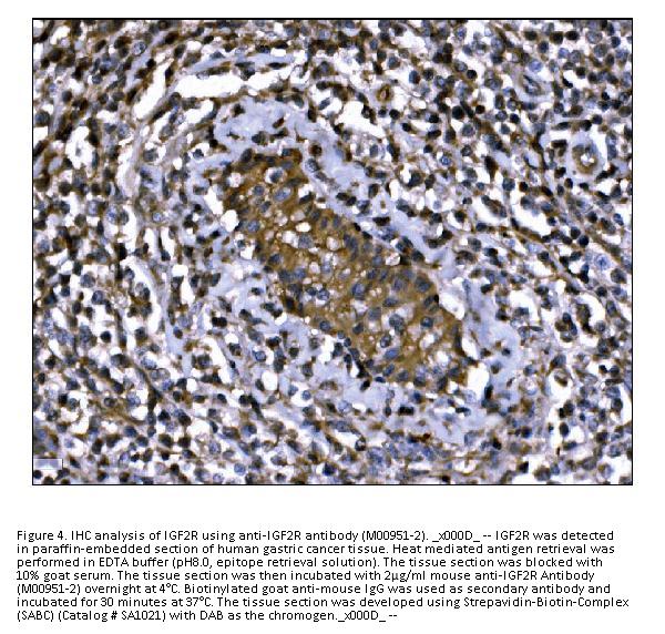
Applications WB, IHC
Clone 6G2
Specific against Human (Homo sapiens)
Host Mouse
Isotype IgG2b
Sensitivity >5000 cells
Citations 1. Killian, J. K., Oka, Y., Jang, H.-S., Fu, X., Waterland, R. A., Sohda, T., Sakaguchi, S., Jirtle, R. L. Mannose 6-phosphate/insulin-like growth factor 2 receptor (M6P/IGF2R) variants in American and Japanese populations. Hum. Mutat. 18: 25-31, 2001.
2. Latos, P. A., Pauler, F. M., Koerner, M. V., Senergin, H. B., Hudson, Q. J., Stocsits, R. R., Allhoff, W., Stricker, S. H., Klement, R. M., Warczok, K. E., Aumayr, K., Pasierbek, P., Barlow, D. P. Airn transcriptional overlap, but not its IncRNA products, induces imprinted Igf2r silencing. Science 338: 1469-1472, 2012.
ECLASS 10.1 42030590
ECLASS 11.0 42030590
UNSPSC 12352203
Alias Heat shock 70 kDa protein 1A,Heat shock 70 kDa protein 1B
Available
Manufacturer - Category
Primary Antibodies
Storage Conditions
Store at -20°C for one year from date of receipt. After reconstitution, at 4°C for one month. It can also be aliquotted and stored frozen at -20°C for six months. Avoid repeated freeze-thaw cycles.
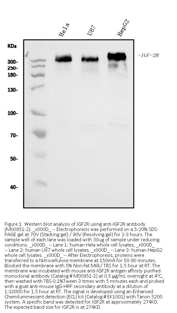
Observed Molecular weight
274 kDa
Clonality
Monoclonal
Application Details
Western blot, 0.25-0.5μg/ml, Human
Immunohistochemistry (Paraffin-embedded Section), 2-5μg/ml, Human
Gene Name
IGF2R
Gene Full Name
heat shock protein family A (Hsp70) member 1A/1B
Manufacturer - Specificity
No cross-reactivity with other proteins.
Background
Insulin-like growth factor 2 receptor, also called IGF2R or I-MPR is a protein that in humans is encoded by the IGF2R gene. This gene is mapped to 6q25.3. This gene encodes a receptor for both insulin-like growth factor 2 and mannose 6-phosphate, although the binding sites for either are located on different segments of the receptor. This receptor functions in the intracellular trafficking of lysosomal enzymes, the activation of transforming growth factor beta, and the degradation of insulin-like growth factor 2. While the related mouse gene shows exclusive expression from the maternal allele, imprinting of the human gene appears to be polymorphic, with only a minority of individuals showing expression from the maternal allele.
Immunogen
E. coli-derived human IGF2R recombinant protein (Position: F424-R529).
Contents
Each vial contains 4mg Trehalose, 0.9mg NaCl and 0.2mg Na2HPO4.
Purification
Immunogen affinity purified.
Reconstitution
Add 0.2ml of distilled water will yield a concentration of 500ug/ml.
Concentration
Adding 0.2 ml of distilled water will yield a concentration of 500 μg/ml.
Manufacturer - Research Category
Cancer, Chaperones, Heat Shock Proteins, Protein Trafficking, Signal Transduction, Tumor Biomarkers
Protein Name
CD59 molecule, complement regulatory protein
Protein Function
Molecular chaperone implicated in a wide variety of cellular processes, including protection of the proteome from stress, folding and transport of newly synthesized polypeptides, activation of proteolysis of misfolded proteins and the formation and dissociation of protein complexes. Plays a pivotal role in the protein quality control system, ensuring the correct folding of proteins, the re-folding of misfolded proteins and controlling the targeting of proteins for subsequent degradation. This is achieved through cycles of ATP binding, ATP hydrolysis and ADP release, mediated by co-chaperones. The co-chaperones have been shown to not only regulate different steps of the ATPase cycle, but they also have an individual specificity such that one co-chaperone may promote folding of a substrate while another may promote degradation. The affinity for polypeptides is regulated by its nucleotide bound state. In the ATP-bound form, it has a low affinity for substrate proteins. However, upon hydrolysis of the ATP to ADP, it undergoes a conformational change that increases its affinity for substrate proteins. It goes through repeated cycles of ATP hydrolysis and nucleotide exchange, which permits cycles of substrate binding and release. The co-chaperones are of three types: J-domain co-chaperones such as HSP40s (stimulate ATPase hydrolysis by HSP70), the nucleotide exchange factors (NEF) such as BAG1/2/3 (facilitate conversion of HSP70 from the ADP- bound to the ATP-bound state thereby promoting substrate release), and the TPR domain chaperones such as HOPX and STUB1 (PubMed:24012426, PubMed:26865365, PubMed:24318877). Maintains protein homeostasis during cellular stress through two opposing mechanisms: protein refolding and degradation. Its acetylation/deacetylation state determines whether it functions in protein refolding or protein degradation by controlling the competitive binding of co-chaperones HOPX and STUB1. During the early stress response, the acetylated form binds to HOPX which assists in chaperone-mediated protein refolding, thereafter, it is deacetylated and binds to ubiquitin ligase STUB1 that promotes ubiquitin-mediated protein degradation (PubMed:27708256). Regulates centrosome integrity during mitosis, and is required for the maintenance of a functional mitotic centrosome that supports the assembly of a bipolar mitotic spindle (PubMed:27137183). Enhances STUB1-mediated SMAD3 ubiquitination and degradation and facilitates STUB1-mediated inhibition of TGF-beta signaling (PubMed:24613385). Essential for STUB1-mediated ubiquitination and degradation of FOXP3 in regulatory T-cells (Treg) during inflammation (PubMed:23973223). Negatively regulates heat shock- induced HSF1 transcriptional activity during the attenuation and recovery phase period of the heat shock response (PubMed:9499401).
Subcellular Localization
Cytoplasm
Description
Boster Bio Anti-IGF2R Antibody Picoband® (monoclonal, 6G2) catalog # M00951-2. Tested in IHC, WB applications. This antibody reacts with Human. The brand Picoband indicates this is a premium antibody that guarantees superior quality, high affinity, and strong signals with minimal background in Western blot applications. Only our best-performing antibodies are designated as Picoband, ensuring unmatched performance.
Tissue Specificity
Ubiquitous.
Manufacturer - Cross Reactivity
No cross-reactivity with other proteins.

Note: The presented information and documents (Manual, Product Datasheet, Safety Datasheet and Certificate of Analysis) correspond to our latest update and should serve for orientational purpose only. We do not guarantee the topicality. We would kindly ask you to make a request for specific requirements, if necessary.

All products are intended for research use only (RUO). Not for human, veterinary or therapeutic use.

Amount: 100 ug/vial
Available: In stock
available

Compare

Add to wishlist

Get an offer

Request delivery time

Ask a technical question

Submit a bulk request

Questions about this Product?