Comparison

Anti-PGP9.5 Antibody Picoband® (monoclonal, 3E4) European Partner

Item no. BOS-M01018-6
Manufacturer Boster
Amount 100 ug/vial
Quantity options 100 ug/vial 10 ug 100 ug 100 ug 100 ug 100 ug 100 ug 100 ug 100 ug 100 ug 100 ug 100 ug
Category
Type Antibody Monoclonal
Format Lyophilized
Applications WB, FC, IHC
Clone 3E4
Specific against Human (Homo sapiens), Mouse (Murine, Mus musculus), Rat (Rattus norvegicus)
Host Mouse
Isotype IgG1
Sensitivity >5000 cells
Citations 1. Entrez Gene: UCHL1 ubiquitin carboxyl-terminal esterase L1 (ubiquitin thiolesterase).
2. Das C, Hoang QQ, Kreinbring CA, Luchansky SJ, Meray RK, Ray SS, Lansbury PT, Ringe D, Petsko GA (Mar 2006). Structural basis for conformational plasticity of the Parkinson's disease-associated ubiquitin hydrolase UCH-L1. Proceedings of the National Academy of Sciences of the United States of America 103 (12): 4675–80.
3. Doran JF, Jackson P, Kynoch PA, Thompson RJ (Jun 1983). Isolation of PGP 9.5, a new human neurone-specific protein detected by high-resolution two-dimensional electrophoresis. Journal of Neurochemistry 40 (6): 1542–7.
ECLASS 10.1 42030590
ECLASS 11.0 42030590
UNSPSC 12352203
Alias ATP-dependent Clp protease ATP-binding subunit clpX-like,mitochondrial,CLPX
Available
Manufacturer - Category
Primary Antibodies
Storage Conditions
Store at -20°C for one year from date of receipt. After reconstitution, at 4°C for one month. It can also be aliquotted and stored frozen at -20°C for six months. Avoid repeated freeze-thaw cycles.
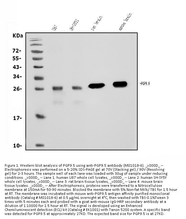
Observed Molecular weight
27 kDa
Clonality
Monoclonal
Application Details
Western blot, 0.25-0.5μg/ml, Human, Mouse, Rat
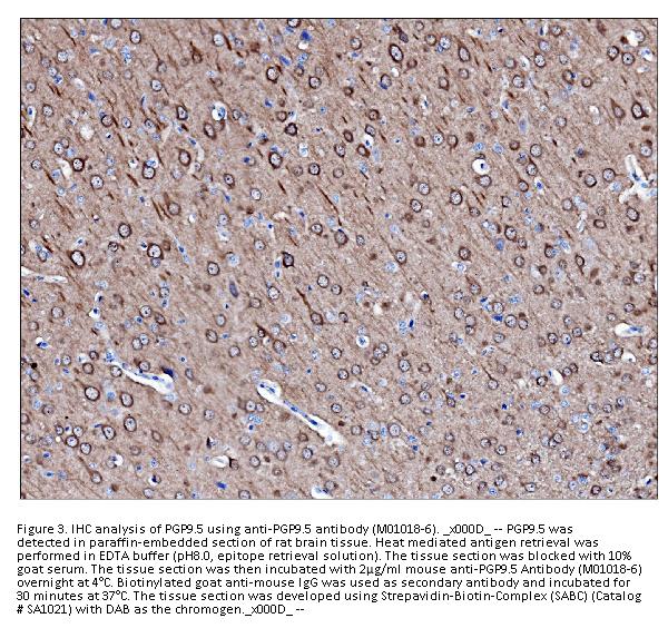
Immunohistochemistry (Paraffin-embedded Section), 2-5μg/ml, Human, Rat
Flow Cytometry (Fixed), 1-3μg/1x106 cells, Human
Gene Name
UCHL1
Gene Full Name
caseinolytic mitochondrial matrix peptidase chaperone subunit
Manufacturer - Specificity
No cross-reactivity with other proteins.
Background
UCH-L1, also known as PGP9.5, is a member of a gene family whose products hydrolyze small C-terminal adducts of ubiquitin to generate the ubiquitin monomer. Expression of UCH-L1 is highly specific to neurons and to cells of the diffuse neuroendocrine system and their tumors. It is abundantly present in all neurons (accounts for 1-2% of total brain protein), expressed specifically in neurons and testis/ovary. The catalytic triad of UCH-L1 contains a cysteine at position 90, an aspartate at position 176, and a histidine at position 161 that are responsible for its hydrolase activity.
Immunogen
A synthetic peptide corresponding to a sequence at the C-terminus of human PGP9.5, different from the related mouse and rat sequences by two amino acids.
Contents
Each vial contains 4mg Trehalose, 0.9mg NaCl and 0.2mg Na2HPO4.
Purification
Immunogen affinity purified.
Reconstitution
Add 0.2ml of distilled water will yield a concentration of 500ug/ml.
Concentration
Adding 0.2 ml of distilled water will yield a concentration of 500 μg/ml.
Manufacturer - Research Category
Adapters, Cytokines, Immunology, Innate Immunity, Interleukins, Macrophage/Inflammation, Signal Transduction, Transmembrane
Protein Function
ATP-dependent specificity component of the Clp protease complex. Hydrolyzes ATP (PubMed:28874591). Targets specific substrates for degradation by the Clp complex (PubMed:11923310, PubMed:22710082). Can perform chaperone functions in the absence of CLPP. Enhances the DNA-binding activity of TFAM and is required for maintaining a normal mitochondrial nucleoid structure (PubMed:22841477). ATP-dependent unfoldase that stimulates the incorporation of the pyridoxal phosphate cofactor into 5-aminolevulinate synthase, thereby activating 5-aminolevulinate (ALA) synthesis, the first step in heme biosynthesis (PubMed:28874591). Important for efficient erythropoiesis through upregulation of heme biosynthesis (PubMed:25957689, PubMed:28874591).
Subcellular Localization
Mitochondrion; mitochondrion nucleoid
Description
Boster Bio Anti-PGP9.5 Antibody Picoband® (monoclonal, 3E4) catalog # M01018-6. Tested in Flow Cytometry, IHC, WB applications. This antibody reacts with Human, Mouse, Rat. The brand Picoband indicates this is a premium antibody that guarantees superior quality, high affinity, and strong signals with minimal background in Western blot applications. Only our best-performing antibodies are designated as Picoband, ensuring unmatched performance.
Tissue Specificity
Higher expression in skeletal muscle and heart and to a lesser extent in liver, brain, placenta, lung, kidney and pancreas.
Manufacturer - Cross Reactivity
No cross-reactivity with other proteins.

Note: The presented information and documents (Manual, Product Datasheet, Safety Datasheet and Certificate of Analysis) correspond to our latest update and should serve for orientational purpose only. We do not guarantee the topicality. We would kindly ask you to make a request for specific requirements, if necessary.

All products are intended for research use only (RUO). Not for human, veterinary or therapeutic use.

Amount: 100 ug/vial
Available: In stock
available

Compare

Add to wishlist

Get an offer

Request delivery time

Ask a technical question

Submit a bulk request

Questions about this Product?