Comparison

COL1A1 Monoclonal Antibody

Item no. CSB-MA955908-50ug
Manufacturer Cusabio
Amount 50 ug
Quantity options 100 ug 50 ug
Category
Type Antibody Monoclonal
Format Liquid
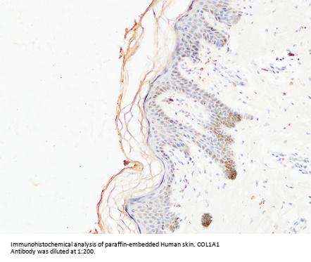
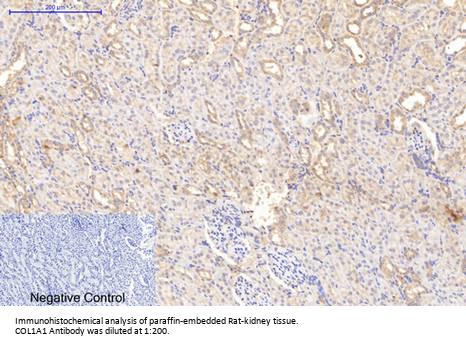
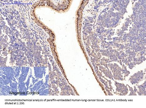
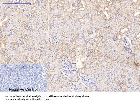
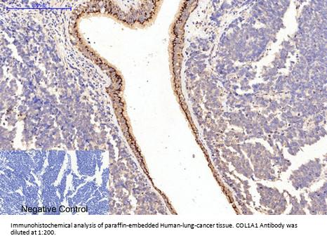
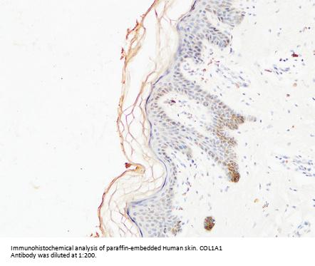
Applications IHC, ELISA
Clone 6B7
Specific against Human (Homo sapiens), Mouse (Murine, Mus musculus), Rat (Rattus norvegicus)
Host Mouse
Isotype IgG
Conjugate/Tag Unconjugated
ECLASS 10.1 42030590
ECLASS 11.0 42030590
UNSPSC 12352203
Alias Collagen alpha-1(I) chain (Alpha-1 type I collagen)
Available
Manufacturer - Type
Monoclonal Antibody
Manufacturer - Category
List of Stock Antibodies / 2024 List of Stock Antibodies
Manufacturer - Applications
ELISA, IHC; Recommended dilution: IHC:1:50-1:200
Manufacturer - Targets
COL1A1
Manufacturer - Conjugate / Tag
Non-conjugated
Storage Conditions
Upon receipt, store at -20°C or -80°C. Avoid repeated freeze.
Buffer
Liquid in PBS containing 50% glycerol, 0.5% BSA and 0.02% sodium azide.
Purification Method
The antibody was affinity-purified from mouse ascites by affinity-chromatography using specific immunogen.
General Research Areas
Signal Transduction
Antigen Species
Human
Antigen
Synthetic Peptide of Collagen I
Clonality
Monoclonal

Note: The presented information and documents (Manual, Product Datasheet, Safety Datasheet and Certificate of Analysis) correspond to our latest update and should serve for orientational purpose only. We do not guarantee the topicality. We would kindly ask you to make a request for specific requirements, if necessary.

All products are intended for research use only (RUO). Not for human, veterinary or therapeutic use.

Amount: 50 ug
Available: In stock
available

Compare

Add to wishlist

Get an offer

Request delivery time

Ask a technical question

Submit a bulk request

Questions about this Product?
 
Close