Comparison

CAPN1 Antibody

Item no. CSB-PA004490EA01HU-100ug
Manufacturer Cusabio
Amount 100 ug
Quantity options 100 ug 20 ug 50 ug
Category
Type Antibody Polyclonal
Format Liquid
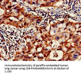
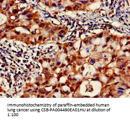
Applications WB, IHC, ELISA
Specific against Human (Homo sapiens)
Host Rabbit
Isotype IgG
Conjugate/Tag Unconjugated
ECLASS 10.1 32160702
ECLASS 11.0 32160702
UNSPSC 12352203
Alias Ca2 activated neutral protease antibody,Calcium activated neutral proteinase antibody,Calcium activated neutral proteinase small subunit antibody,Calcium dependent protease small subunit 1 antibody,Calcium dependent protease small subunit antibody,Calcium-activated neutral proteinase 1 antibody,Calpain 1 antibody,Calpain 1 large subunit antibody,Calpain 1,(mu/I) large subunit antibody,Calpain mu type antibody,Calpain mu-type antibody,Calpain regulatory subunit antibody,Calpain small subunit 1 antibody,Calpain,large polypeptide L1 antibody,Calpain-1 catalytic subunit antibody,Calpain-1 large subunit antibody,CAN1_HUMAN antibody,CANP 1 antibody,CANP antibody,CANP small subunit antibody,CANP1 antibody,CANPL 1 antibody,CANPL1 antibody,CAPN 1 antibody,CAPN1 antibody,Cell proliferation inducing protein 30 antibody,Cell proliferation-inducing gene 30 protein antibody,Micromolar Calpain antibody,Micromolar-calpain antibody,Mu Calpain antibody,muCANP antibody,muCL antibody
Available
Manufacturer - Type
Polyclonal Antibody
Manufacturer - Category
List of Stock Antibodies / 2024 List of Stock Antibodies
Manufacturer - Applications
ELISA, WB, IHC; Recommended dilution: WB:1:500-1:5000, IHC:1:20-1:200
Manufacturer - Targets
CAPN1
Manufacturer - Conjugate / Tag
Non-conjugated
Storage Conditions
Upon receipt, store at -20°C or -80°C. Avoid repeated freeze.
Manufacturer - Alias
Ca2 activated neutral protease antibody, Calcium activated neutral proteinase antibody, Calcium activated neutral proteinase small subunit antibody, Calcium dependent protease small subunit 1 antibody, Calcium dependent protease small subunit antibody, Calcium-activated neutral proteinase 1 antibody, Calpain 1 antibody, Calpain 1 large subunit antibody, Calpain 1, (mu/I) large subunit antibody, Calpain mu type antibody, Calpain mu-type antibody, Calpain regulatory subunit antibody, Calpain small subunit 1 antibody, Calpain, large polypeptide L1 antibody, Calpain-1 catalytic subunit antibody, Calpain-1 large subunit antibody, CAN1_HUMAN antibody, CANP 1 antibody, CANP antibody, CANP small subunit antibody, CANP1 antibody, CANPL 1 antibody, CANPL1 antibody, CAPN 1 antibody, CAPN1 antibody, Cell proliferation inducing protein 30 antibody, Cell proliferation-inducing gene 30 protein antibody, Micromolar Calpain antibody, Micromolar-calpain antibody, Mu Calpain antibody, muCANP antibody, muCL antibody
Buffer
Preservative: 0.03% Proclin 300
Constituents: 50% Glycerol, 0.01M PBS, pH 7.4
Purification Method
>95%, Protein G purified
General Research Areas
Signal Transduction
Antigen Species
Human
Antigen
Recombinant Human Calpain-1 catalytic subunit protein (1-714AA)
Clonality
Polyclonal

Note: The presented information and documents (Manual, Product Datasheet, Safety Datasheet and Certificate of Analysis) correspond to our latest update and should serve for orientational purpose only. We do not guarantee the topicality. We would kindly ask you to make a request for specific requirements, if necessary.

All products are intended for research use only (RUO). Not for human, veterinary or therapeutic use.

Amount: 100 ug
Available: In stock
available

Compare

Add to wishlist

Get an offer

Request delivery time

Ask a technical question

Submit a bulk request

Questions about this Product?
 
Close