Comparison

Idh1 Antibody

Item no. CSB-PA010989LA01MO-100ug
Manufacturer Cusabio
Amount 100 ug
Quantity options 100 ug 20 ug 50 ug
Category
Type Antibody Polyclonal
Format Liquid
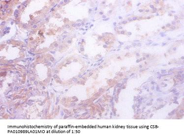
Applications IF, IHC, ELISA
Specific against Mouse (Murine, Mus musculus)
Host Rabbit
Isotype IgG
Conjugate/Tag Unconjugated
ECLASS 10.1 32160702
ECLASS 11.0 32160702
UNSPSC 12352203
Alias Idh1 antibody,Isocitrate dehydrogenase [NADP] cytoplasmic antibody,IDH antibody,EC 1.1.1.42 antibody,Cytosolic NADP-isocitrate dehydrogenase antibody,IDP antibody,NADP(+)-specific ICDH antibody,Oxalosuccinate decarboxylase antibody
Available
Manufacturer - Type
Polyclonal Antibody
Manufacturer - Category
List of Stock Antibodies / 2024 List of Stock Antibodies
Manufacturer - Applications
ELISA, IHC, IF; Recommended dilution: IHC:1:20-1:200, IF:1:50-1:200
Manufacturer - Targets
Idh1
Manufacturer - Conjugate / Tag
Non-conjugated
Storage Conditions
Upon receipt, store at -20°C or -80°C. Avoid repeated freeze.
Buffer
Preservative: 0.03% Proclin 300
Constituents: 50% Glycerol, 0.01M PBS, PH 7.4
Purification Method
>95%, Protein G purified
General Research Areas
Signal Transduction
Antigen Species
Mouse
Antigen
Recombinant Mouse Isocitrate dehydrogenase [NADP] cytoplasmic protein (1-240AA)
Clonality
Polyclonal

Note: The presented information and documents (Manual, Product Datasheet, Safety Datasheet and Certificate of Analysis) correspond to our latest update and should serve for orientational purpose only. We do not guarantee the topicality. We would kindly ask you to make a request for specific requirements, if necessary.

All products are intended for research use only (RUO). Not for human, veterinary or therapeutic use.

Amount: 100 ug
Available: In stock
available

Compare

Add to wishlist

Get an offer

Request delivery time

Ask a technical question

Submit a bulk request

Questions about this Product?
 
Close