Comparison

IDUA Antibody

Item no. CSB-PA011000LA01HU-50ug
Manufacturer Cusabio
Amount 50 ug
Quantity options 100 ug 20 ug 50 ug
Category
Type Antibody Polyclonal
Format Liquid
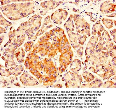
Applications IHC, ELISA
Specific against Human (Homo sapiens)
Host Rabbit
Isotype IgG
Conjugate/Tag Unconjugated
ECLASS 10.1 32160702
ECLASS 11.0 32160702
UNSPSC 12352203
Alias IDUA antibody,Alpha-L-iduronidase antibody,EC 3.2.1.76 antibody
Similar products IDUA, Alpha-L-iduronidase (EC 3.2.1.76)
Available
Manufacturer - Type
Polyclonal Antibody
Manufacturer - Applications
ELISA, IHC; Recommended dilution: IHC:1:200-1:500
Manufacturer - Targets
IDUA
Storage Conditions
Upon receipt, store at -20°C or -80°C. Avoid repeated freeze.
Immunogen Species
Human
Immunogen
Recombinant Human Alpha-L-iduronidase protein (28-653AA)
Dilution
ELISA:1:2000-1:10000
IHC:1:200-1:500
Buffer
Preservative: 0.03% Proclin 300
Constituents: 50% Glycerol, 0.01M PBS, PH 7.4
Purification Method
>95%, Protein G purified
General Research Areas
Tags & Cell Markers
Initial Research Areas
Tags & Cell Markers
Antigen Species
Human
Antigen
Recombinant Human Alpha-L-iduronidase protein (28-653AA)
Clonality
Polyclonal

Note: The presented information and documents (Manual, Product Datasheet, Safety Datasheet and Certificate of Analysis) correspond to our latest update and should serve for orientational purpose only. We do not guarantee the topicality. We would kindly ask you to make a request for specific requirements, if necessary.

All products are intended for research use only (RUO). Not for human, veterinary or therapeutic use.

Amount: 50 ug
Available: In stock
available

Compare

Add to wishlist

Get an offer

Request delivery time

Ask a technical question

Submit a bulk request

Questions about this Product?
 
Close