Comparison

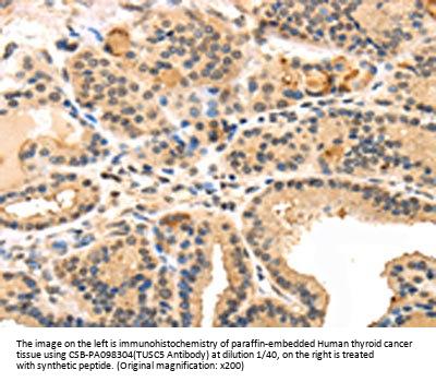
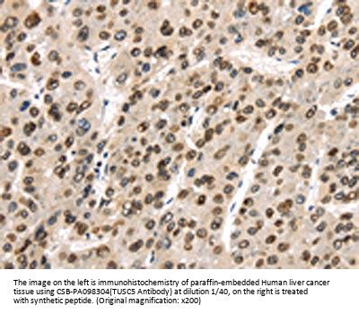
TUSC5 Antibody

Item no. CSB-PA098304-100ul
Manufacturer Cusabio
Amount 100 ul
Quantity options 100 ul 50 ul
Category
Type Antibody Polyclonal
Format Liquid
Applications WB, IHC, ELISA
Specific against Human (Homo sapiens), Mouse (Murine, Mus musculus), Rat (Rattus norvegicus)
Host Rabbit
Isotype IgG
Conjugate/Tag Unconjugated
ECLASS 10.1 32160702
ECLASS 11.0 32160702
UNSPSC 12352203
Alias Dispanin subfamily B member 1 antibody,DSPB1 antibody,Interferon-induced transmembrane domain-containing protein D3 antibody,LOST1 antibody,Protein located at seventeen p thirteen point three 1 antibody,Protein located at seventeen-p-thirteen point three 1 antibody,Tumor suppressor candidate 5 antibody,Tusc5 antibody,TUSC5_HUMAN antibody
Available
Manufacturer - Type
Polyclonal Antibody
Manufacturer - Category
List of Stock Antibodies / 2024 List of Stock Antibodies
Manufacturer - Applications
ELISA, WB, IHC; ELISA:1:2000-1:5000, WB:1:500-1:2000, IHC:1:30-1:150
Manufacturer - Targets
TUSC5
Manufacturer - Conjugate / Tag
Non-conjugated
Storage Conditions
Upon receipt, store at -20°C or -80°C. Avoid repeated freeze.
Manufacturer - Alias
Dispanin subfamily B member 1 antibody, DSPB1 antibody, Interferon-induced transmembrane domain-containing protein D3 antibody, LOST1 antibody, Protein located at seventeen p thirteen point three 1 antibody, Protein located at seventeen-p-thirteen point three 1 antibody, Tumor suppressor candidate 5 antibody, Tusc5 antibody, TUSC5_HUMAN antibody
Buffer
pH7.4 of PBS, 0.05% NaN3, 40% Glycerol.
Purification Method
Antigen Affinity Purified
General Research Areas
Signal Transduction
Antigen Species
Human
Antigen
Synthetic peptide of Human TUSC5
Clonality
Polyclonal

Note: The presented information and documents (Manual, Product Datasheet, Safety Datasheet and Certificate of Analysis) correspond to our latest update and should serve for orientational purpose only. We do not guarantee the topicality. We would kindly ask you to make a request for specific requirements, if necessary.

All products are intended for research use only (RUO). Not for human, veterinary or therapeutic use.

Amount: 100 ul
Available: In stock
available

Compare

Add to wishlist

Get an offer

Request delivery time

Ask a technical question

Submit a bulk request

Questions about this Product?
 
Close