Comparison

ITGB5 Antibody

Item no. CSB-PA197500-50ul
Manufacturer Cusabio
Amount 50 ul
Quantity options 100 ul 50 ul
Category
Type Antibody Polyclonal
Format Liquid
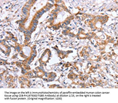
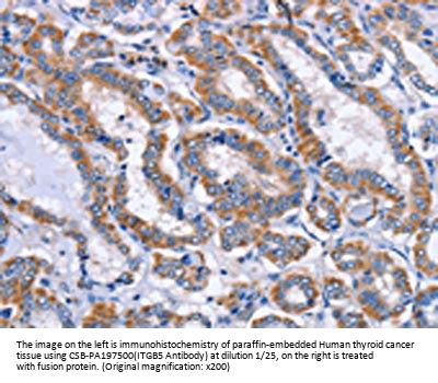
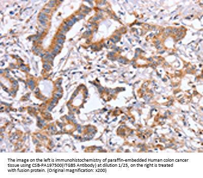
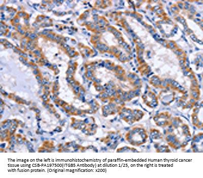
Applications IHC, ELISA
Specific against Human (Homo sapiens), Mouse (Murine, Mus musculus)
Host Rabbit
Isotype IgG
Conjugate/Tag Unconjugated
ECLASS 10.1 32160702
ECLASS 11.0 32160702
UNSPSC 12352203
Alias FLJ26658 antibody; Integrin beta-5 antibody; Integrin subunit beta 5 antibody; integrin, beta 5 antibody; ITB5_HUMAN antibody; Itgb5 antibody; Testis secretory sperm-binding protein Li 217p antibody
Similar products beta 5, integrin
Available
Manufacturer - Type
Polyclonal Antibody
Manufacturer - Targets
ITGB5
Storage Conditions
Upon receipt, store at -20°C or -80°C. Avoid repeated freeze.
Immunogen Species
Human
Immunogen
Fusion protein of human ITGB5
Dilution
ELISA:1:1000-1:5000
IHC:1:25-1:100
Background
Integrins are heterodimers composed of noncovalently associated transmembrane a and b subunits. The 16 a and 8 b subunits heterodimerize to produce more than 20 different receptors. Most integrin receptors bind ligands that are components of the extracellular matrix, including Fibronectin, Collagen and Vitronectin. Certain integrins can also bind to soluble ligands such as Fibrinogen, or to counterreceptors on adjacent cells such as the intracellular adhesion molecules (ICAMs), leading to aggregation of cells. Ligands serve to cross-link or cluster integrins by binding to adjacent integrin receptors, both receptor clustering and ligand occupancy are necessary for the activation of integrin-mediated responses. In addition to mediating cell adhesion and cytoskeletal organization, integrins function as signaling receptors.
Buffer
-20°C, pH7.4 PBS, 0.05% NaN3, 40% Glycerol
Purification Method
Antigen affinity purification
General Research Areas
Signal Transduction
Initial Research Areas
Signal Transduction
Antigen Species
Human
Antigen
Fusion protein of Human ITGB5
Clonality
Polyclonal

Note: The presented information and documents (Manual, Product Datasheet, Safety Datasheet and Certificate of Analysis) correspond to our latest update and should serve for orientational purpose only. We do not guarantee the topicality. We would kindly ask you to make a request for specific requirements, if necessary.

All products are intended for research use only (RUO). Not for human, veterinary or therapeutic use.

Amount: 50 ul
Available: In stock
available

Compare

Add to wishlist

Get an offer

Request delivery time

Ask a technical question

Submit a bulk request

Questions about this Product?
 
Close