Comparison

APLP1 Antibody

Item no. CSB-PA828204-50ul
Manufacturer Cusabio
Amount 50 ul
Quantity options 100 ul 50 ul
Category
Type Antibody Polyclonal
Format Liquid
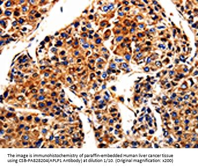
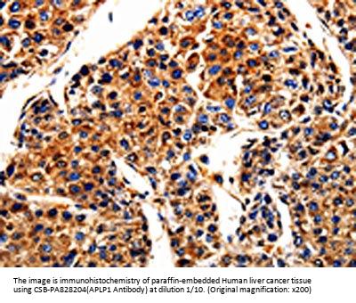
Applications WB, IHC, ELISA
Specific against Human (Homo sapiens), Mouse (Murine, Mus musculus)
Host Rabbit
Isotype IgG
Conjugate/Tag Unconjugated
ECLASS 10.1 32160702
ECLASS 11.0 32160702
UNSPSC 12352203
Alias AMYLOID BETA A4 PRECURSOR-LIKE PROTEIN 1 antibody,AMYLOID PRECURSOR-LIKE PROTEIN antibody,Amyloid-like protein 1 precursor antibody,APLP 1 antibody,APLP antibody,APLP-1 antibody,Aplp1 antibody,APLP1_HUMAN antibody,C30 antibody
Similar products Amyloid beta (A4) precursor-like protein 1
Available
Manufacturer - Type
Polyclonal Antibody
Manufacturer - Applications
ELISA, WB, IHC; ELISA:1:500-1:5000, WB:1:500-1:2000, IHC:1:10-1:50
Manufacturer - Targets
APLP1
Storage Conditions
Upon receipt, store at -20°C or -80°C. Avoid repeated freeze.
Immunogen Species
Human
Immunogen
Fusion protein of human APLP1
Dilution
ELISA:1:500-1:5000
WB:1:500-1:2000
IHC:1:10-1:50
Background
This gene encodes a member of the highly conserved amyloid precursor protein gene family. The encoded protein is a membrane-associated glycoprotein that is cleaved by secretases in a manner similar to amyloid beta A4 precursor protein cleavage. This cleavage liberates an intracellular cytoplasmic fragment that may act as a transcriptional activator. The encoded protein may also play a role in synaptic maturation during cortical development. Alternatively spliced transcript variants encoding different isoforms have been described.
Buffer
pH7.4 of PBS, 0.05% NaN3, 40% Glycerol.
Purification Method
Antigen Affinity Purified
General Research Areas
Neuroscience
Initial Research Areas
Neuroscience
Antigen Species
Human
Antigen
Fusion protein of Human APLP1
Clonality
Polyclonal

Note: The presented information and documents (Manual, Product Datasheet, Safety Datasheet and Certificate of Analysis) correspond to our latest update and should serve for orientational purpose only. We do not guarantee the topicality. We would kindly ask you to make a request for specific requirements, if necessary.

All products are intended for research use only (RUO). Not for human, veterinary or therapeutic use.

Amount: 50 ul
Available: In stock
available

Delivery expected until 12/4/2025 

Compare

Add to wishlist

Get an offer

Request delivery time

Ask a technical question

Submit a bulk request

Questions about this Product?
 
Close