Comparison

VLDLR Antibody

Item no. CSB-PA830584-50ul
Manufacturer Cusabio
Amount 50 ul
Quantity options 100 ul 50 ul
Category
Type Antibody Polyclonal
Format Liquid
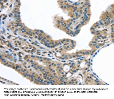
Applications IHC, ELISA
Specific against Human (Homo sapiens), Mouse (Murine, Mus musculus), Rat (Rattus norvegicus)
Host Rabbit
Isotype IgG
Conjugate/Tag Unconjugated
ECLASS 10.1 32160702
ECLASS 11.0 32160702
UNSPSC 12352203
Alias very low density lipoprotein receptor
Similar products very low density lipoprotein receptor
Available
Manufacturer - Type
Polyclonal Antibody
Manufacturer - Applications
ELISA, IHC; ELISA:1:2000-1:10000, IHC:1:30-1:150
Manufacturer - Targets
VLDLR
Storage Conditions
Upon receipt, store at -20°C or -80°C. Avoid repeated freeze.
Immunogen Species
Human
Immunogen
Synthetic peptide of human VLDLR
Dilution
ELISA:1:2000-1:10000
IHC:1:30-1:150
Background
The low density lipoprotein receptor (LDLR) gene family consists of cell surface proteins involved in receptor-mediated endocytosis of specific ligands. This gene encodes a lipoprotein receptor that is a member of the LDLR family and plays important roles in VLDL-triglyceride metabolism and the reelin signaling pathway. Mutations in this gene cause VLDLR-associated cerebellar hypoplasia. Alternative splicing generates multiple transcript variants encoding distinct isoforms for this gene.
Buffer
pH7.4 of PBS, 0.05% NaN3, 40% Glycerol.
Purification Method
Antigen Affinity Purified
General Research Areas
Cardiovascular
Initial Research Areas
Cardiovascular
Antigen Species
Human
Antigen
Synthetic peptide of Human VLDLR
Clonality
Polyclonal

Note: The presented information and documents (Manual, Product Datasheet, Safety Datasheet and Certificate of Analysis) correspond to our latest update and should serve for orientational purpose only. We do not guarantee the topicality. We would kindly ask you to make a request for specific requirements, if necessary.

All products are intended for research use only (RUO). Not for human, veterinary or therapeutic use.

Amount: 50 ul
Available: In stock
available

Compare

Add to wishlist

Get an offer

Request delivery time

Ask a technical question

Submit a bulk request

Questions about this Product?
 
Close