Comparison

ARFGAP1 Antibody

Item no. CSB-PA843284ESR2HU-50ul
Manufacturer Cusabio
Amount 50 ul
Quantity options 100 ul 50 ul
Category
Type Antibody Polyclonal
Format Liquid
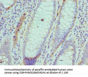
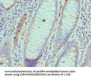
Applications WB, IHC, ELISA
Specific against Human (Homo sapiens), Mouse (Murine, Mus musculus)
Host Rabbit
Isotype IgG
Conjugate/Tag Unconjugated
ECLASS 10.1 32160702
ECLASS 11.0 32160702
UNSPSC 12352203
Alias ADP ribosylation factor 1 GTPase activating protein antibody,ADP ribosylation factor GTPase activating protein 1 antibody,ADP-ribosylation factor 1 GTPase-activating protein antibody,ADP-ribosylation factor GTPase-activating protein 1 antibody,ARF GAP 1 antibody,ARF1 directed GTPase activating protein antibody,ARF1 GAP antibody,ARF1-directed GTPase-activating protein antibody,ARF1GAP antibody,ARFG1_HUMAN antibody,Arfgap1 antibody,GAP protein antibody,HRIHFB2281 antibody
Similar products ARFGAP1, ARF1GAP, ADP-ribosylation factor GTPase-activating protein 1 (ARF GAP 1) (ADP-ribosylation factor 1 GTPase-activating protein) (ARF1 GAP) (ARF1-directed GTPase-activating protein)
Available
Manufacturer - Type
Polyclonal Antibody
Manufacturer - Applications
ELISA, WB, IHC; Recommended dilution: WB:1:500-1:2000, IHC:1:20-1:200
Manufacturer - Targets
ARFGAP1
Storage Conditions
Upon receipt, store at -20°C or -80°C. Avoid repeated freeze.
Manufacturer - Alias
ADP ribosylation factor 1 GTPase activating protein antibody, ADP ribosylation factor GTPase activating protein 1 antibody, ADP-ribosylation factor 1 GTPase-activating protein antibody, ADP-ribosylation factor GTPase-activating protein 1 antibody, ARF GAP 1 antibody, ARF1 directed GTPase activating protein antibody, ARF1 GAP antibody, ARF1-directed GTPase-activating protein antibody, ARF1GAP antibody, ARFG1_HUMAN antibody, Arfgap1 antibody, GAP protein antibody, HRIHFB2281 antibody
Immunogen Species
Human
Immunogen
Recombinant Human ADP-ribosylation factor GTPase-activating protein 1 protein (1-220AA)
Dilution
ELISA:1:2000-1:10000
WB:1:500-1:2000
IHC:1:20-1:200
Background
GTPase-activating protein (GAP) for the ADP ribosylation factor 1 (ARF1). Involved in membrane trafficking and /or vesicle transport. Promotes hydrolysis of the ARF1-bound GTP and thus, is required for the dissociation of coat proteins from Golgi-derived membranes and vesicles, a prerequisite for vesicle's fusion with target compartment. Probably regulates ARF1-mediated transport via its interaction with the KDELR proteins and TMED2. Overexpression induces the redistribution of the entire Golgi complex to the endoplasmic reticulum, as when ARF1 is deactivated. Its activity is stimulated by phosphoinosides and inhibited by phosphatidylcholine .
Buffer
PBS with 0.02% sodium azide, 50% glycerol, pH7.3.
Purification Method
Antigen Affinity Purified
General Research Areas
Signal Transduction
Initial Research Areas
Signal Transduction
Antigen Species
Human
Antigen
Recombinant Human ADP-ribosylation factor GTPase-activating protein 1 protein (1-220AA)
Clonality
Polyclonal

Note: The presented information and documents (Manual, Product Datasheet, Safety Datasheet and Certificate of Analysis) correspond to our latest update and should serve for orientational purpose only. We do not guarantee the topicality. We would kindly ask you to make a request for specific requirements, if necessary.

All products are intended for research use only (RUO). Not for human, veterinary or therapeutic use.

Amount: 50 ul
Available: In stock
available

Compare

Add to wishlist

Get an offer

Request delivery time

Ask a technical question

Submit a bulk request

Questions about this Product?
 
Close