Comparison

HECW2 Antibody

Item no. CSB-PA889188LA01HU-100ug
Manufacturer Cusabio
Amount 100 ug
Quantity options 100 ug 20 ug 50 ug
Category
Type Antibody Polyclonal
Format Liquid
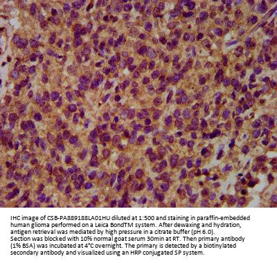
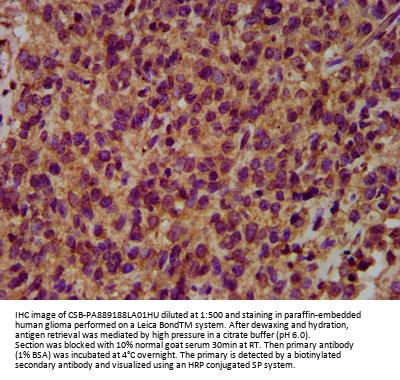
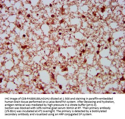
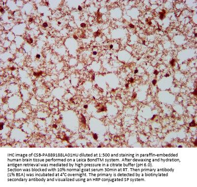
Applications WB, IF, IHC, ELISA
Specific against Human (Homo sapiens)
Host Rabbit
Isotype IgG
Conjugate/Tag Unconjugated
ECLASS 10.1 32160702
ECLASS 11.0 32160702
UNSPSC 12352203
Alias C2 and WW domain-containing protein 2 antibody,E3 ubiquitin protein ligase HECW2 antibody,E3 ubiquitin-protein ligase HECW2 antibody,HECT antibody,HECT,C2 and WW domain containing E3 ubiquitin protein ligase 2 antibody,Hecw2 antibody,HECW2_HUMAN antibody,KIAA130 antibody,KIAA1301 antibody,NEDD4 like E3 ubiquitin protein ligase 2 antibody,NEDD4 Related E3 Ubiquitin Ligase antibody,NEDD4-like E3 ubiquitin-protein ligase 2 antibody
Available
Manufacturer - Type
Polyclonal Antibody
Manufacturer - Category
List of Stock Antibodies / 2024 List of Stock Antibodies
Manufacturer - Applications
ELISA, WB, IHC, IF; Recommended dilution: WB:1:500-1:5000, IHC:1:500-1:1000, IF:1:50-1:200
Manufacturer - Targets
HECW2
Manufacturer - Conjugate / Tag
Non-conjugated
Storage Conditions
Upon receipt, store at -20°C or -80°C. Avoid repeated freeze.
Manufacturer - Alias
C2 and WW domain-containing protein 2 antibody, E3 ubiquitin protein ligase HECW2 antibody, E3 ubiquitin-protein ligase HECW2 antibody, HECT antibody, HECT, C2 and WW domain containing E3 ubiquitin protein ligase 2 antibody, Hecw2 antibody, HECW2_HUMAN antibody, KIAA130 antibody, KIAA1301 antibody, NEDD4 like E3 ubiquitin protein ligase 2 antibody, NEDD4 Related E3 Ubiquitin Ligase antibody, NEDD4-like E3 ubiquitin-protein ligase 2 antibody
Buffer
Preservative: 0.03% Proclin 300
Constituents: 50% Glycerol, 0.01M PBS, pH 7.4
Purification Method
>95%, Protein G purified
General Research Areas
Cell Biology
Antigen Species
Human
Antigen
Recombinant Human E3 ubiquitin-protein ligase HECW2 protein (495-641AA)
Clonality
Polyclonal

Note: The presented information and documents (Manual, Product Datasheet, Safety Datasheet and Certificate of Analysis) correspond to our latest update and should serve for orientational purpose only. We do not guarantee the topicality. We would kindly ask you to make a request for specific requirements, if necessary.

All products are intended for research use only (RUO). Not for human, veterinary or therapeutic use.

Amount: 100 ug
Available: In stock
available

Compare

Add to wishlist

Get an offer

Request delivery time

Ask a technical question

Submit a bulk request

Questions about this Product?
 
Close