Comparison

MAOA Recombinant Monoclonal Antibody

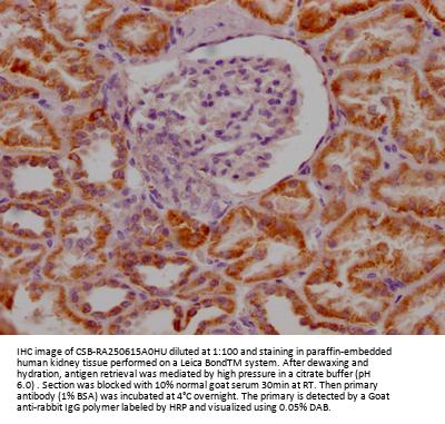
Item no. CSB-RA250615A0HU-100ul
Manufacturer Cusabio
Amount 100 ul
Quantity options 100 ul 50 ul
Category
Type Antibody Monoclonal
Format Liquid
Applications IF, IHC, ELISA
Clone 4C11
Specific against Human (Homo sapiens)
Host Rabbit
Isotype IgG
Conjugate/Tag Unconjugated
ECLASS 10.1 42030590
ECLASS 11.0 42030590
UNSPSC 12352203
Alias Amine oxidase [flavin-containing] A (EC 1.4.3.4) (Monoamine oxidase type A) (MAO-A),MAOA
Similar products MAOA, Amine oxidase [flavin-containing] A (EC 1.4.3.4) (Monoamine oxidase type A) (MAO-A)
Available
Manufacturer - Type
Recombinant Antibody
Manufacturer - Applications
ELISA, IHC, IF; Recommended dilution: IHC:1:50-1:200, IF:1:20-1:200
Manufacturer - Isotype
Rabbit IgG
Manufacturer - Targets
MAOA
Storage Conditions
Upon receipt, store at -20°C or -80°C. Avoid repeated freeze.
Immunogen
A synthesized peptide derived from human Monoamine Oxidase A
Dilution
IHC:1:50-1:200, IF:1:20-1:200
Background
Catalyzes the oxidative deamination of biogenic and xenobiotic amines and has important functions in the metabolism of neuroactive and vasoactive amines in the central nervous system and peripheral tissues. MAOA preferentially oxidizes biogenic amines such as 5-hydroxytryptamine (5-HT), norepinephrine and epinephrine.
Buffer
Rabbit IgG in 10mM phosphate buffered saline , pH 7.4, 150mM sodium chloride, 0.05% BSA, 0.02% sodium azide and 50% glycerol.
Purification Method
Affinity-chromatography
General Research Areas
Neuroscience
Modified
Neuroscience
Antigen Species
Human
Antigen
A synthesized peptide derived from human Monoamine Oxidase A
Clonality
Monoclonal

Note: The presented information and documents (Manual, Product Datasheet, Safety Datasheet and Certificate of Analysis) correspond to our latest update and should serve for orientational purpose only. We do not guarantee the topicality. We would kindly ask you to make a request for specific requirements, if necessary.

All products are intended for research use only (RUO). Not for human, veterinary or therapeutic use.

Amount: 100 ul
Available: In stock
available

Compare

Add to wishlist

Get an offer

Request delivery time

Ask a technical question

Submit a bulk request

Questions about this Product?
 
Close