Comparison

MFN2 Recombinant Monoclonal Antibody

Item no. CSB-RA799368A0HU-50ul
Manufacturer Cusabio
Amount 50 ul
Quantity options 100 ul 50 ul
Category
Type Antibody Monoclonal
Format Liquid
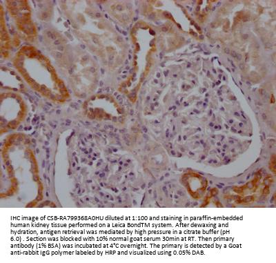
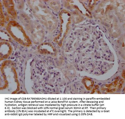
Applications IHC, ELISA
Clone 10F6
Specific against Human (Homo sapiens)
Host Rabbit
Isotype IgG
Conjugate/Tag Unconjugated
ECLASS 10.1 42030590
ECLASS 11.0 42030590
UNSPSC 12352203
Alias Mitofusin-2 (EC 3.6.5.-) (Transmembrane GTPase MFN2),MFN2,CPRP1 KIAA0214
Similar products MFN2, Mitofusin-2 (EC 3.6.5.-) (Transmembrane GTPase MFN2), CPRP1 KIAA0214
Available
Manufacturer - Type
Recombinant Antibody
Manufacturer - Applications
ELISA, IHC; Recommended dilution: IHC:1:50-1:200
Manufacturer - Isotype
Rabbit IgG
Manufacturer - Targets
MFN2
Storage Conditions
Upon receipt, store at -20°C or -80°C. Avoid repeated freeze.
Immunogen
A synthesized peptide derived from human Mitofusin 2
Dilution
IHC:1:50-1:200
Background
Mitochondrial outer membrane GTPase that mediates mitochondrial clustering and fusion (PubMed:11181170, PubMed:11950885, PubMed:28114303). Mitochondria are highly dynamic organelles, and their morphology is determined by the equilibrium between mitochondrial fusion and fission events (PubMed:28114303). Overexpression induces the formation of mitochondrial networks (PubMed:28114303). Membrane clustering requires GTPase activity and may involve a major rearrangement of the coiled coil domains (Probable). Plays a central role in mitochondrial metabolism and may be associated with obesity and/or apoptosis processes (By similarity). Plays an important role in the regulation of vascular smooth muscle cell proliferation (By similarity). Involved in the clearance of damaged mitochondria via selective autophagy (mitophagy) (PubMed:23620051). Is required for PRKN recruitment to dysfunctional mitochondria (PubMed:23620051). Involved in the control of unfolded protein response (UPR) upon ER stress including activation of apoptosis and autophagy during ER stress (By similarity). Acts as an upstream regulator of EIF2AK3 and suppresses EIF2AK3 activation under basal conditions (By similarity).
Buffer
Rabbit IgG in 10mM phosphate buffered saline , pH 7.4, 150mM sodium chloride, 0.05% BSA, 0.02% sodium azide and 50% glycerol.
Purification Method
Affinity-chromatography
General Research Areas
Neuroscience; Cancer; Cell biology; Tags & Cell Markers; Metabolism; Signal transduction
Modified
Neuroscience; Cancer; Cell biology; Tags & Cell Markers; Metabolism; Signal transduction
Manufacturer - Format
Liquid
Antigen Species
Human
Antigen
A synthesized peptide derived from human Mitofusin 2
Clonality
Monoclonal

Note: The presented information and documents (Manual, Product Datasheet, Safety Datasheet and Certificate of Analysis) correspond to our latest update and should serve for orientational purpose only. We do not guarantee the topicality. We would kindly ask you to make a request for specific requirements, if necessary.

All products are intended for research use only (RUO). Not for human, veterinary or therapeutic use.

Amount: 50 ul
Available: In stock
available

Compare

Add to wishlist

Get an offer

Request delivery time

Ask a technical question

Submit a bulk request

Questions about this Product?
 
Close