Comparison

CD46 Recombinant Monoclonal Antibody

Item no. CSB-RA908548A0HU-50ul
Manufacturer Cusabio
Amount 50 ul
Quantity options 100 ul 50 ul
Category
Type Antibody Monoclonal
Format Liquid
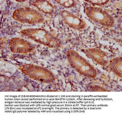
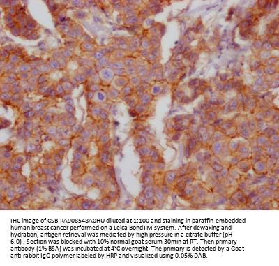
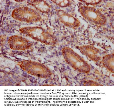
Applications WB, IHC, ELISA
Clone 7D12
Specific against Human (Homo sapiens)
Host Rabbit
Isotype IgG
Conjugate/Tag Unconjugated
ECLASS 10.1 42030590
ECLASS 11.0 42030590
UNSPSC 12352203
Alias Membrane cofactor protein (TLX) (Trophoblast leukocyte common antigen) (CD antigen CD46),CD46,MCP MIC10
Similar products CD46, Membrane cofactor protein (TLX) (Trophoblast leukocyte common antigen) (CD antigen CD46), MCP MIC10
Available
Manufacturer - Type
Recombinant Antibody
Manufacturer - Applications
ELISA, WB, IHC; Recommended dilution: WB:1:500-1:5000, IHC:1:50-1:200
Manufacturer - Isotype
Rabbit IgG
Manufacturer - Targets
CD46
Storage Conditions
Upon receipt, store at -20°C or -80°C. Avoid repeated freeze.
Immunogen
A synthesized peptide derived from human CD46
Dilution
WB:1:500-1:5000, IHC:1:50-1:200
Background
Acts as a cofactor for complement factor I, a serine protease which protects autologous cells against complement-mediated injury by cleaving C3b and C4b deposited on host tissue. May be involved in the fusion of the spermatozoa with the oocyte during fertilization. Also acts as a costimulatory factor for T-cells which induces the differentiation of CD4+ into T-regulatory 1 cells. T-regulatory 1 cells suppress immune responses by secreting interleukin-10, and therefore are thought to prevent autoimmunity.
Buffer
Rabbit IgG in 10mM phosphate buffered saline , pH 7.4, 150mM sodium chloride, 0.05% BSA, 0.02% sodium azide and 50% glycerol.
Purification Method
Affinity-chromatography
General Research Areas
Immunology
Modified
Immunology
Manufacturer - Format
Liquid
Antigen Species
Human
Antigen
A synthesized peptide derived from human CD46
Clonality
Monoclonal

Note: The presented information and documents (Manual, Product Datasheet, Safety Datasheet and Certificate of Analysis) correspond to our latest update and should serve for orientational purpose only. We do not guarantee the topicality. We would kindly ask you to make a request for specific requirements, if necessary.

All products are intended for research use only (RUO). Not for human, veterinary or therapeutic use.

Amount: 50 ul
Available: In stock
available

Compare

Add to wishlist

Get an offer

Request delivery time

Ask a technical question

Submit a bulk request

Questions about this Product?
 
Close