Comparison

Phospho-MDM2 (S166) Recombinant Monoclonal Antibody

Item no. CSB-RA980583A0HU-50ul
Manufacturer Cusabio
Amount 50 ul
Quantity options 100 ul 50 ul
Category
Type Antibody Monoclonal, recombinant
Format Liquid
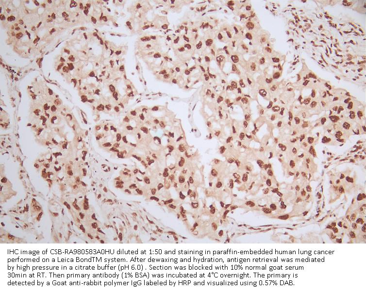
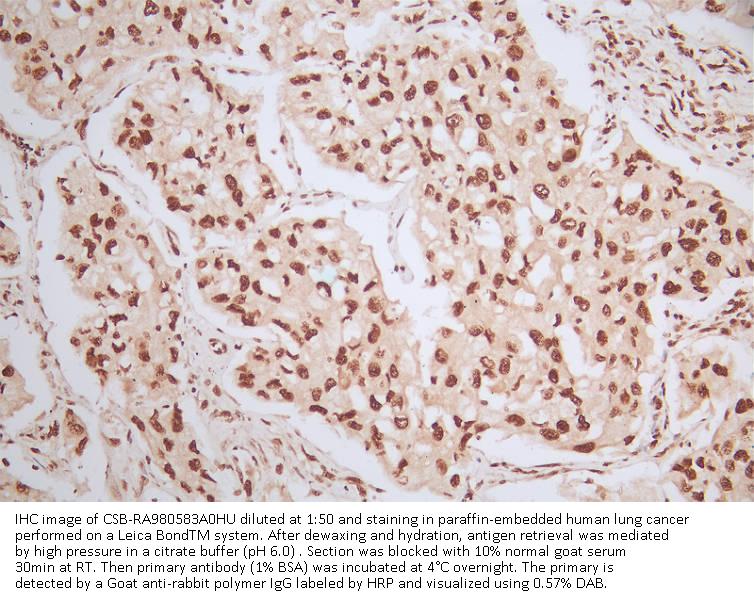
Applications FC, IF, IHC, ELISA
Clone 14F8
Specific against Human (Homo sapiens)
Host Rabbit
Isotype IgG
Conjugate/Tag Unconjugated
ECLASS 10.1 42030590
ECLASS 11.0 42030590
UNSPSC 12352203
Alias E3 ubiquitin-protein ligase Mdm2 (EC 2.3.2.27) (Double minute 2 protein) (Hdm2) (Oncoprotein Mdm2) (RING-type E3 ubiquitin transferase Mdm2) (p53-binding protein Mdm2),MDM2
Available
Manufacturer - Type
Recombinant Antibody
Manufacturer - Category
List of Stock Antibodies / 2024 List of Stock Antibodies
Manufacturer - Applications
ELISA, IHC, IF, FC; Recommended dilution: IHC:1:50-1:200, IF:1:50-1:200, FC:1:50-1:200
Manufacturer - Isotype
Rabbit IgG
Manufacturer - Targets
MDM2
Manufacturer - Conjugate / Tag
Non-conjugated
Storage Conditions
Upon receipt, store at -20°C or -80°C. Avoid repeated freeze.
Dilution
IHC:1:50-1:200, IF:1:50-1:200, FC:1:50-1:200
Buffer
Rabbit IgG in 10mM phosphate buffered saline , pH 7.4, 150mM sodium chloride, 0.05% BSA, 0.02% sodium azide and 50% glycerol.
Purification Method
Affinity-chromatography
General Research Areas
Epigenetics and Nuclear Signaling; Cancer; Cell biology
Antigen Species
Human
Antigen
A synthesized peptide derived from Human MDM2
Clonality
Monoclonal

Note: The presented information and documents (Manual, Product Datasheet, Safety Datasheet and Certificate of Analysis) correspond to our latest update and should serve for orientational purpose only. We do not guarantee the topicality. We would kindly ask you to make a request for specific requirements, if necessary.

All products are intended for research use only (RUO). Not for human, veterinary or therapeutic use.

Amount: 50 ul
Available: In stock
available

Compare

Add to wishlist

Get an offer

Request delivery time

Ask a technical question

Submit a bulk request

Questions about this Product?
 
Close